All cases
-
World Federation of Pediatric Imaging protocols – 3.0T
-
World Federation of Pediatric Imaging protocols – 1.5T
-
High quality Shoulder imaging with SmartSpeed Precise
-
Fast bilateral hips, with SmartSpeed Precise
-
High quality Cervical Spine imaging with SmartSpeed Precise
-
Comprehensive Cardiac with SmartSpeed Precise
-
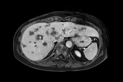
Liver metastasis with SmartSpeed Precise
-
High quality Breast imaging with SmartSpeed Precise
-
Fast Prostate imaging with SmartSpeed Precise
-
Lumbar Spine fracture with SmartSpeed Precise
-
Fast Knee imaging with SmartSpeed Precise
-
SmartSpeed Precise imaging for brain with glioblastoma
-
Pediatric Brain imaging for glioma
-
Alzheimer’s Disease Anti-Amyloid Immunotherapies (ARIA) 3.0T
-
Dynamic Breast imaging with SmartSpeed AI
-
Alzheimer’s Disease Anti-Amyloid Immunotherapies (ARIA) 1.5T
-
Breast biopsy with dS Sentinelle Breast coil
-
Breast 3D and 4D imaging
-
SmartSpeed Forefoot imaging
-
SmartSpeed 2 min Knee imaging
-
SmartSpeed Traumatic Knee imaging
-
Large lesion brain imaging with synthetic MRI
-
Brain - White matter lesions
-
Fast 3D Brain and IAC imaging
-
High quality imaging for brain, hippocampus and IAC
-
High quality, fast brain aneurysm imaging
-
High quality orbit imaging
-
SmartSpeed Liver
-
SmartSpeed Unilateral Hip
-
SmartSpeed Wrist
-
Multi Nuclei - Liver imaging (13C)
-
Multi Nuclei - Dynamic calf muscle imaging (31P)
-
Multi Nuclei - Brain imaging (23Na)
-
Finger imaging
-
Abdomen large FOV imaging
-
Prostate with dual coil set-up
-
Foot with plantar fascitis
-
Knee ACL repair
-
Whole Spine with scoliosis ( 2 stations )
-
Wrist imaging with micro coil
-
Finger with ganglion
-
Orbit with melanoma
-
Pediatric pelvis with fistula
-
Pediatric forearm with lesion
-
Pediatric brain with AVM
-
Fetal Arachnoid Cyst
-
Fetal Brain and Spine
-
Fetal Cardiac with smart-sync
-
Finger with giant cell tumor
-
Penile carcinoma
-
Brain lesion - Advanced imaging
-
Liver quantification
-
NeuroQuant
-
Myocardial infarction with T1/T2 Mapping
-
Breast Ca with T1 perfusion
-
Wrist off-center imaging
-
Soft Tissue of the neck
-
Routine Elbow
-
Brain and IAC
-
FLAIR* protocol for Multiple Sclerosis
-
Brain Multiple Sclerosis
-
Multiple Sclerosis versus TIA
-
Brain lesions with computed DWI
-
Total Torso with SmartShim
-
Comprehensive Brain with MultiBand SENSE DTI
-
Fatty liver with MR Elastography
-
Multi-phase, contrast-enhanced renal imaging
-
Multi-phase, contrast-enhanced prostate imaging
-
Lung cancer
-
Liver metastasis
-
Bladder cancer
-
Dynamic contrast-enhanced MR Angiography
-
Contrast-free renal imaging
-
Thumb imaging
-
Kidney imaging – Free breathing
-
Thorax soft tissue lesion – Free breathing
-
Pancreas nodule – Free breathing
-
Liver metastasis – Free breathing
-
Neck stenosis
-
Liver cyst
-
Brain infarction
-
Knee with lesion
-
Prostate cancer
-
Push-button Shoulder exam, under 5 minutes
-
Push-button Lumbar Spine exam, under 5 minutes
-
Push-button Knee exam, under 5 minutes
-
Brain lesion with MultiBand SENSE
-
IAC lesion with Compressed SENSE
-
Comprehensive Brain exam in 8 minutes
-
High quality Knee imaging in short scan times
-
High resolution Ankle imaging in short scan times
-
High quality Elbow imaging with Compressed SENSE
-
Subtraction-less mDIXON MRA
-
Wrist Fracture (2D vs 3D)
-
Total Spine metastasis
-
Shoulder with oncologic mass
-
Knee imaging with Compressed SENSE
-
Brain small infarction
-
Pancreas with Vega HP gradients
-
Lumbar Spine in under 10 minutes total exam time
-
Cervical spine imaging with robust fatsat
-
Prostate with Vega HP gradients
-
Knee exam with/without Compressed SENSE
-
Shorten exam time with Compressed SENSE in cervical spine
-
Shorter brain exam time due to 2D and 3D Compressed SENSE imaging
-
Compressed SENSE for lumbar spine MRI of patient with MR Conditional implant
-
Whole Body imaging under 30 minutes on BlueSeal magnet
-
Breast with Compressed SENSE on BlueSeal magnet
-
Shorten breath holds in Cardiac imaging on BlueSeal magnet
-
High resolution Prostate imaging with Compressed SENSE
-
Prostate lesion with fat-free mDIXON XD imaging
-
Prostate with Compressed SENSE on BlueSeal magnet
-
Prostate with dS ZOOM imaging
-
Compressed SENSE Prostate imaging
-
Prostate lesion with high b-value DWI
-
Prostate imaging with motion reduction techniques
-
Cervical Spine on BlueSeal magnet
-
Female Pelvis on BlueSeal magnet
-
Comprehensive shoulder on BlueSeal magnet
-
Brain with Compressed SENSE on BlueSeal magnet
-
Total Spine on BlueSeal magnet
-
Liver on BlueSeal magnet
-
Pediatric knee (8 year old) on BlueSeal magnet
-
Wrist/Hand on BlueSeal magnet
-
Imaging with the dS 16ch HandWrist coil and Compressed SENSE
-
Ankle imaging with the dS 16ch FootAnkle coil
-
Imaging with the dS 16ch Small Extremity coil
-
High resolution imaging with the dS 16ch Shoulder coil and Compressed SENSE
-
Imaging with the dS 16ch FootAnkle coil
-
Large FOV imaging with the dS 16ch Small Extremity coil
-
Pediatric Brain with hemorrhagic mass
-
Pediatric Total Spine with spina bifida
-
Pediatric Urography
-
Neonatal Brain
-
Total Spine on a 14 year old patient
-
Pediatric Total Torso - Free Breathing
-
Cardiac obese patient
-
Cardiac infarction with Compressed SENSE
-
Cardiac infarction with fat-free mDIXON imaging
-
Liver with MRCP
-
Liver with ascites
-
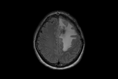
Brain with glioblastoma
-
Brain glioblastoma, post-operative
-
Hand/Wrist with tumor
-
Ankle/Foot imaging post amputation
-
Fat-free elbow imaging
-
Pelvis with fistula
-
HeadNeck post trauma
-
Brachial Plexus with a hemangioma
-
HeadNeck soft tissue lesion
-
Brachial plexus tumor
-
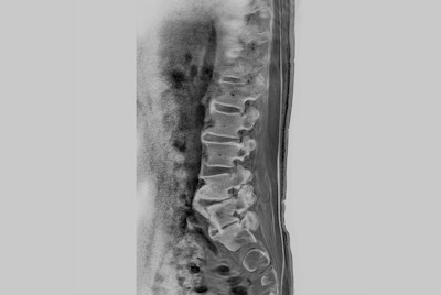
Lumbar Spine with metal suppression
-
Neurography schwannoma (Compressed SENSE)
-
MR-only simulation prostate
-
MRI simulation with DWI TSE and FLAIR
-
Lumbar Spine disc herniation
-
Lumbar Spine bulging disc (Compressed SENSE)
-
3D APT brain imaging for glioblastoma recurrence
-
Brain astrocytoma post radiotherapy, incl. 3D APT
-
Brain lesion with 3D APT
-
Brain with glioblastoma, incl. 3D APT
-
Lumbar Spine stenosis (Compressed SENSE)
-
Ankle with Compressed SENSE
-
Lymph nodes lesions with Compressed SENSE
-
Brain lesion with Compressed SENSE
-
Breast imaging with Compressed SENSE
-
Cardiac imaging with Compressed SENSE
-
Female pelvis with myoma (Compressed SENSE)
-
Liver hemangioma with Compressed SENSE
-
Total Torso overview
-
Brain overview
-
Lumbar Spine with mDIXON XD
-
Liver and Pancreas
-
Elbow overview
-
Chest overview
-
Breast lesion
-
Female Pelvis overview
-
Acute myocardial infarction
-
Brachial Plexus lesion
-
MRI simulation for brain metastases treatment
-
MRI simulation for oropharynx aquamous cell carcinoma treatment
-
MRI simulation for prostate cancer treatment
-
MRI simulation for brachytherapy cervix
-
MRI simulation for brain stereotactics treatment
-
MRI simulation for cervix treatment – variable bladder filling state
-
Chest imaging
-
Routine shoulder imaging
-
High resolution shoulder imaging
-
Shoulder with the dS Shoulder 16ch coil
-
Shoulder imaging
-
Cervical Spine with acoustic noise reduction
-
Lumbar Plexus imaging
-
Cervical Spine with mDIXON XD
-
Cervical Spine - Cord lesion
-
Fast Brain imaging
-
Brain imaging with MultiVane XD
-
Brain imaging with dS Head 32ch
-
Advanced imaging of the Brain
-
Orbit imaging with mDIXON XD
-
Brain imaging with noise reduction
-
Brain imaging with Zoom Diffusion
-
Non-invasive nerve plexus imaging
-
Free breathing abdominal imaging
-
Contrast-free imaging of brain vascular anatomy
-
Brain with multiple lesions
-
Contrast-free brain perfusion
-
Imaging of vessels in brain
-
Black Blood imaging in brain
-
Motion-free MR Arthrogram shoulder imaging
-
Motion-free Shoulder imaging
-
Motion-free Prostate imaging
-
Prostate imaging with dS Endo + dS Torso coil
-
Soft tissue Head/Neck imaging with mDIXON XD
-
High resolution Elbow imaging
-
Sinus imaging with mDIXON XD
-
Non-subtraction MR Angiography
-
Pediatric Head/Neck tumor
-
Hip imaging with metal implant using MARS at 3.0T
-
Hip imaging with metal implant using MARS at 1.5T
-
Hip imaging with metal implant
-
Lumbar Spine with metal implant, routine and fast
-
Comprehensive Lumbar Spine imaging at 3.0T
-
Lumbar Spine in obese patient - Qscan
-
Comprehensive Lumbar Spine imaging at 1.5T
-
Elbow Imaging
-
Hippocampus
-
Comprehensive wrist imaging
-
Foot and Ankle imaging
-
Shoulder imaging using ComforTone
-
Total torso and liver
-
Brain imaging using ComforTone
-
Prostate imaging
-
Breast imaging using SmartExam
-
Posterior Triangle
-
Cervical Spine imaging with mDIXON TSE
-
Comprehensive Cervical Spine imaging at 3.0T
-
Comprehensive ankle exam in 8 minutes
-
Comprehensive Cervical Spine imaging at 1.5T
-
Multi-parametric MR of the prostate
-
Pancreas imaging with dS Zoom
-
Comprehensive Liver exam of focal liver lesions
-
Liver MR imaging
-
Comprehensive Brain imaging at 1.5T
-
Comprehensive Liver imaging at 3.0T
-
30 minute Cardiac Function and Fibrosis at 1.5T
-
30 minute Cardiac Function and Fibrosis at 3.0T
-
Comprehensive Brain imaging at 3.0T
-
dS SENSE in Liver imaging
-
Comprehensive Liver imaging at 1.5T
-
MR Angiography (run-off)
-
SWIp in traumatic brain injury
-
Total Torso imaging - High dS SENSE acceleration
-
Total Torso imaging - MultiVane XD
-
Appendicitis in pregnant patient
-
mDIXON Quant - Steatosis
-
Diffusion TSE
-
Whole Body imaging
-
Total Spine with mDIXON XD TSE
-
Hip imaging with mDIXON XD TSE
-
Cardiac MRI - Arrhythmia patient
-
Advanced Brain imaging
-
SmartBreast - ds Breast 7ch coil
-
Liver imaging - Obese patient
-
Prostate with the dS Torso coil at 1.5T
-
SmartBreast - ds Breast 16ch coil
-
Knee Imaging with Cartilage Assessment
-
Post Surgery Cervical Spine
-
Brain - Acute Stroke
-
Lumbar Spine - Obese patient
-
Total Torso imaging
-
Female Pelvis
-
Prostate Biopsy
-
Pediatric Liver
-
Metal Imaging of the Knee
-
Prostate with the dS Endo coil
-
dS Breast Adaptive 16ch coil
-
Advanced Neuro imaging - pCASL
-
Advanced Liver imaging
-
dS SENSE in Body Imaging
-
Advanced Neuro MR - SWIp
-
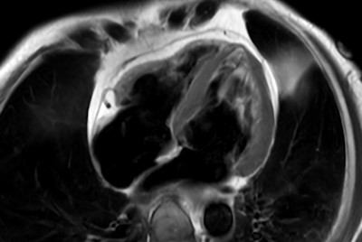
Cardiac MRI at 3.0T
-
Shoulder imaging with dS Flex coil
-
3D Knee imaging with MSK VIEW
-
Wrist imaging
-
Knee imaging
-
Total Body Imaging
-
Orthopedic imaging with mDIXON XD TSE
-
Liver imaging with MultiVane XD
-
Prostate with the dS Torso coil at 3.0T
-
IAC - Acoustic Neuroma
-
dS Head 32ch - Pituitary
-
dS Head 32ch coil - amyloid angiopathy
-
3D imaging with susceptibility contrast
-
Advanced Liver MR - mDIXON Quant
-
dS SENSE in Brain Imaging
-
Comprehensive 3D knee imaging with MSK VIEW
-
Advanced Body imaging - DWIBS
-
Premium Fat-free Pediatric Spine imaging
-
mDIXON XD TSE - Ankle tumor