Go back
MRI simulation with DWI TSE and FLAIR
Odense University Hospital, Odense, Denmark
Patient information
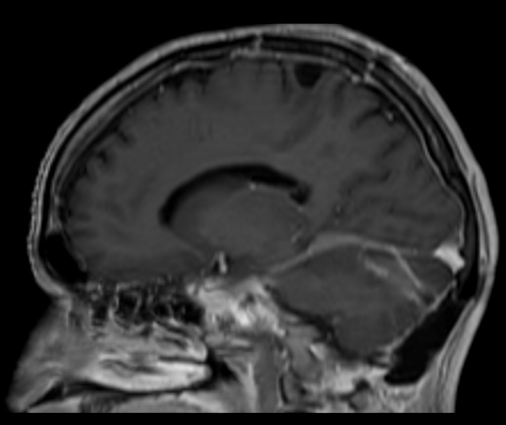
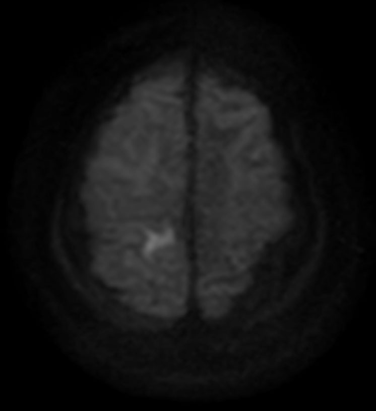
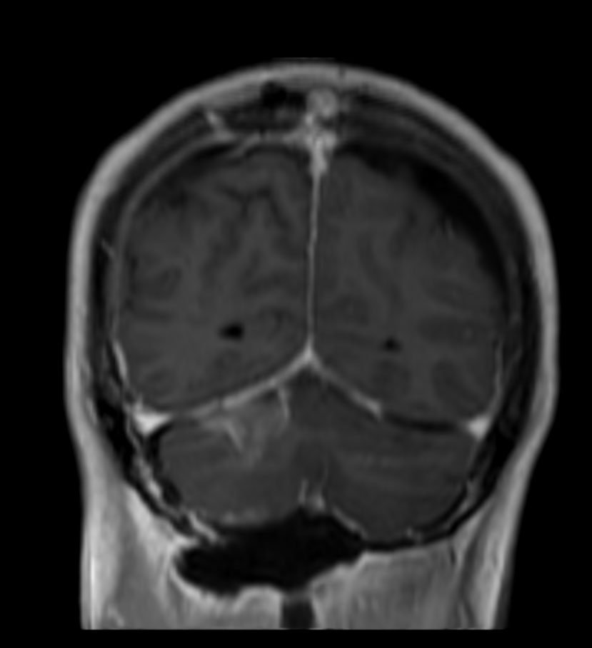
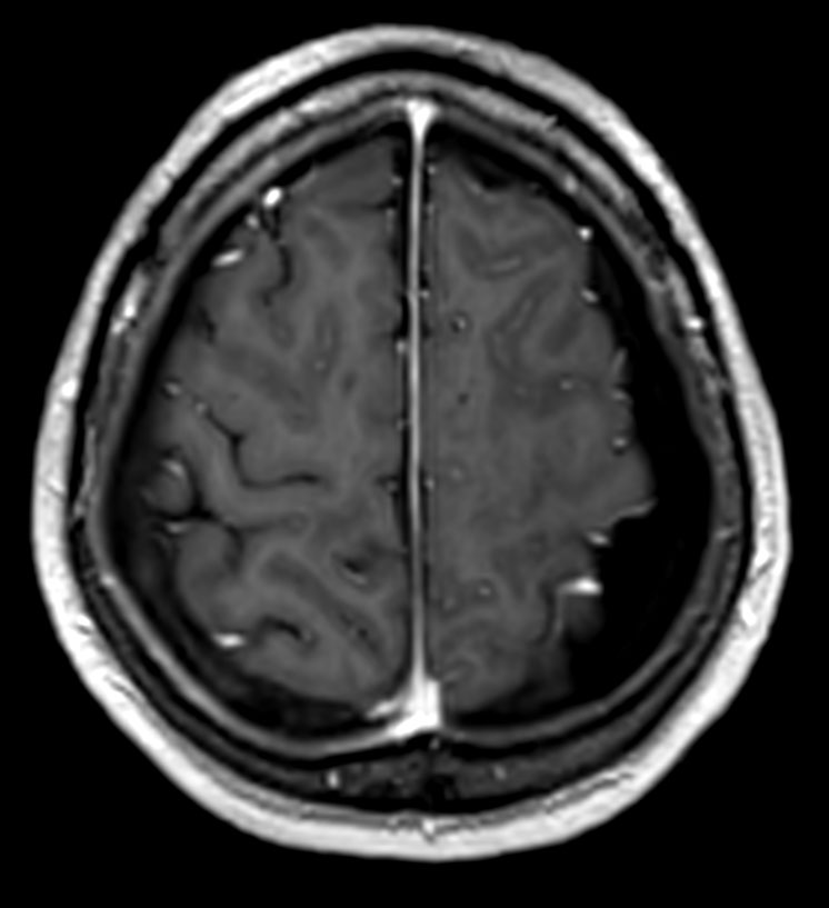
58 year old male with brain metastases, referred for post-op stereotactic radiotherapy of two targets to be irradiated with 27 Gy/3 Fx (Right parietal region) and 30 Gy/5 Fx (cerebellum). Patient underwent MRI simulation in the radiotherapy positioning mask on Ingenia MR-RT 1.5T.
Gallery
-
Axial T2W 3D FLAIR
-
Axial T2W 3D FLAIR
-
DWI TSE
-
DWI TSE
-
Axial 3D T1W FFE post contrast
-
Axial 3D T1W FFE post contrast
-
3D T1W FFE post contrast (sagittal reformat)
-
3D T1W FFE post contrast (coronal reformat)
Previous
Next
Close
Resolution
ScantimeObjective
*Results from case studies are not predictive of results in other cases. Results in other cases may vary.