Go back
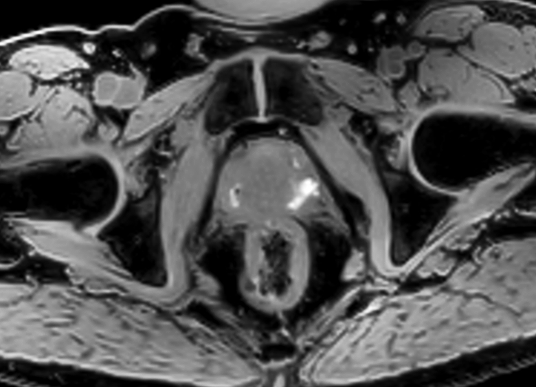
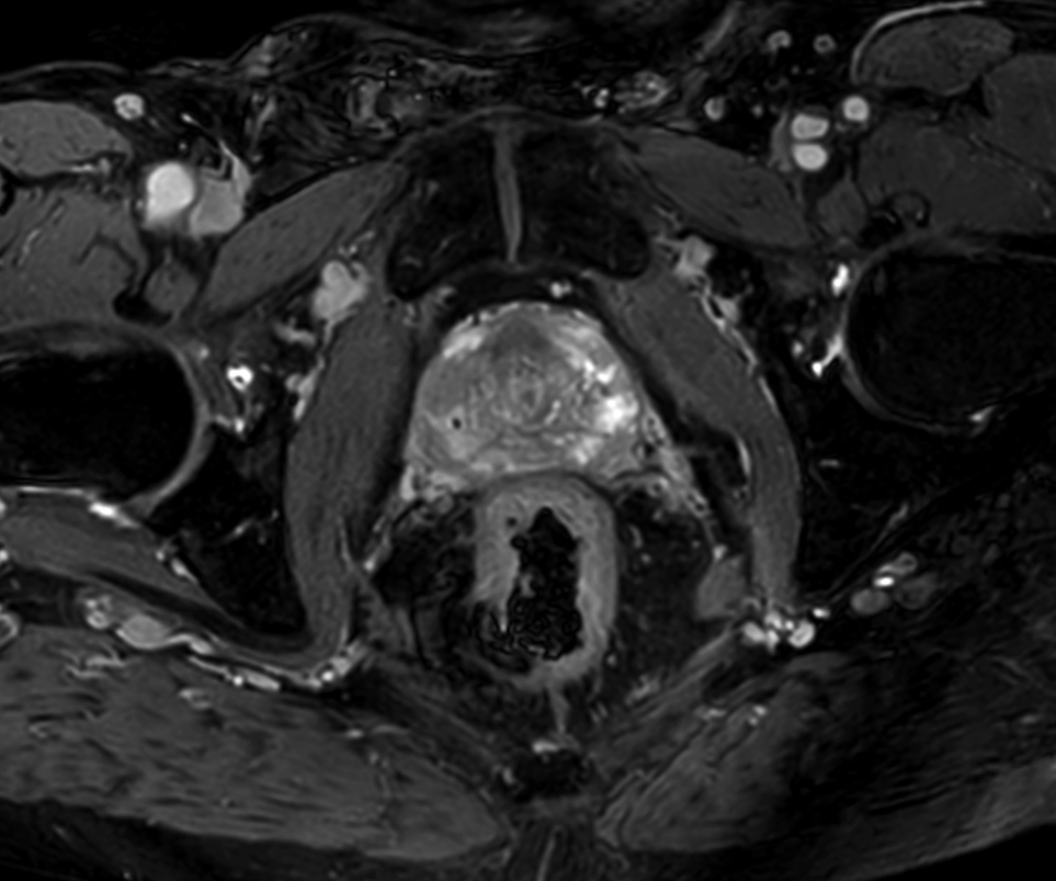
        MRI simulation for prostate cancer treatment
        
            University Medical Center Utrecht, The Netherlands        
     
            
            
                
Patient information
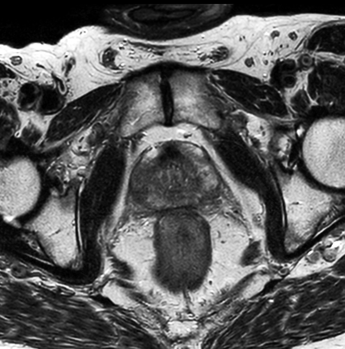
                70-year-old male with prostate cancer, cT3bNxM, Gleason 6, PSA 7.9 mg/L, underwent MRI on Ingenia 3.0T MR-RT before radiation therapy, next to CT simulation. Patient was imaged at Ingenia MR-RT 3.0T using FlexCoverage Anterior Coil in combination with the integrated Posterior Coil.             
        
    
    
    
        Gallery
                
    
    Close
    
    
        
        Resolution
ScantimeObjective
    
     
             
    
        
            *Results from case studies are not predictive of results in other cases. Results in other cases may vary.