Go back
High quality orbit imaging
Hôpital de la Cavale Blanche, Brest, France
Patient information
High quality 3.0T imaging for orbits on the uniquely designed Philips MR 7700 imaging system. Advanced 3D TSE imaging technique is used for T2w, FLAIR and T1w (pre- and post-gado injection), to acquire high resolution data in multiple directions in only one single scan. mDIXON XD TSE is added for uniform, complete and consistent fat-free imaging with multiple contrasts in one single scan. Up to 35% higher SNR is achieved for echo-planar (EPI) diffusion imaging thanks to the added power of the XP gradients. SWIp is added to provide high resolution 3D susceptibility weighted brain imaging including phase maps to support advanced diagnosis.
Gallery
-
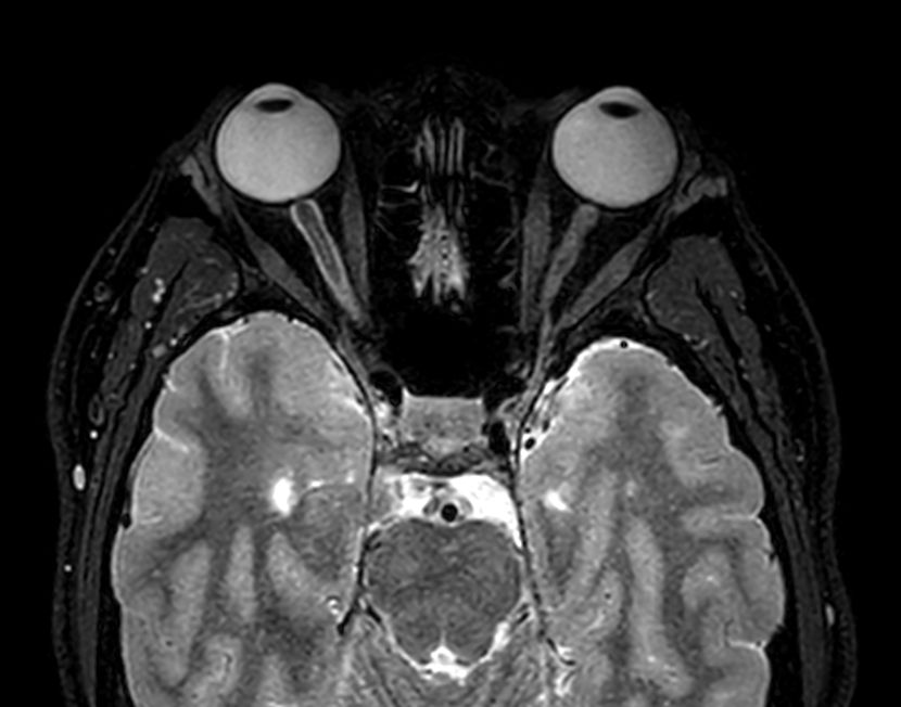
Axial 3D VIEW - T2w FatSat
-
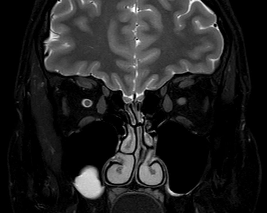
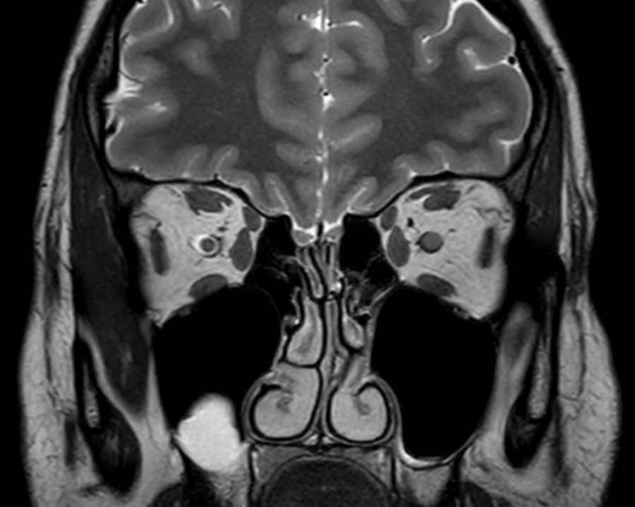
3D VIEW - T2w FatSat (coronal reformat)
-
3D VIEW - T2w FatSat (sagittal reformat)
-
Axial 3D VIEW - T2w FLAIR
-
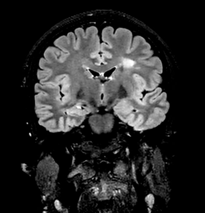
3D VIEW - T2w FLAIR (coronal reformat)
-
3D VIEW - T2w FLAIR (sagittal reformat)
-
3D VIEW - T1w TSE (axial reformat)
Pre-Gado
-
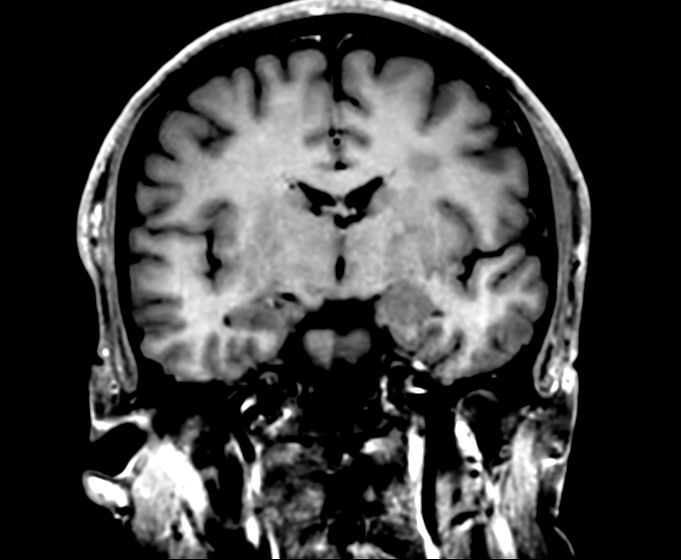
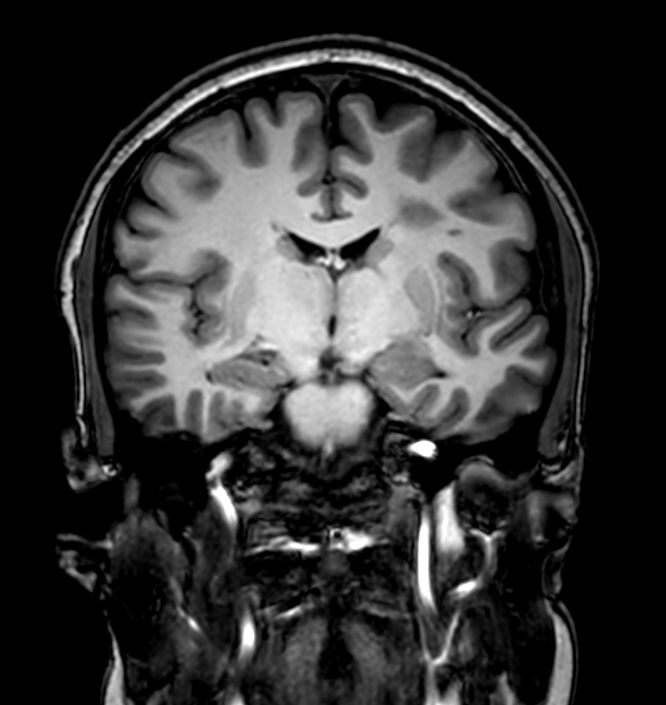
3D VIEW - T1w TSE (coronal reformat)
Pre-Gado
-
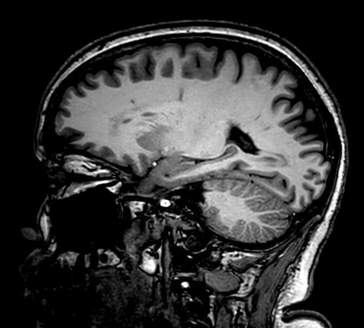
Sagittal 3D VIEW - T1w TSE
Pre-Gado
-
Axial 3D VIEW - T1w TSE
Post-Gado
-
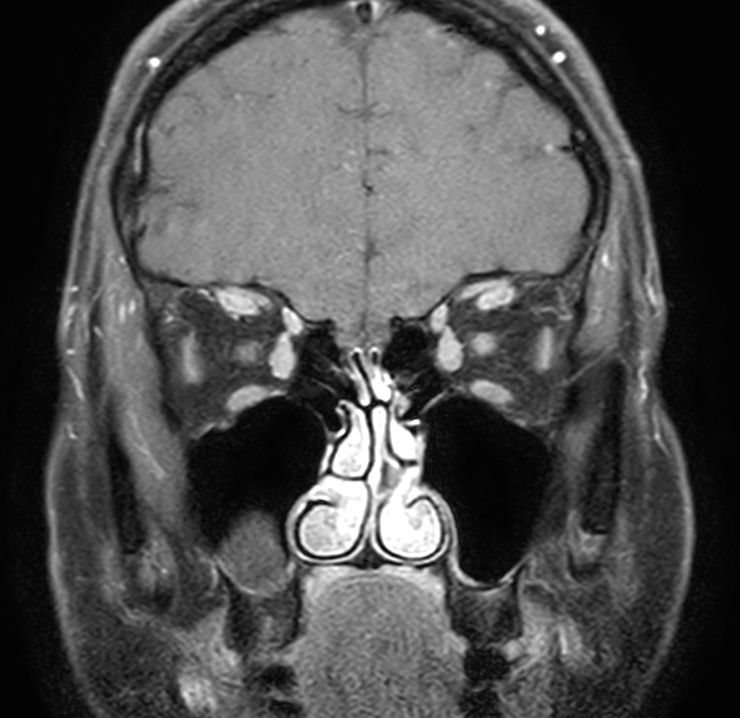
3D VIEW - T1w TSE (coronal reformat)
Post-Gado
-
3D VIEW - T1w TSE (sagittal reformat)
Post-Gado
-
Coronal T2w TSE mDIXON (In-Phase)
-
Coronal T2w TSE mDIXON (Water only)
-
Coronal T1w TSE mDIXON (In Phase)
Pre-Gado
-
Coronal T1w TSE mDIXON (Water only)
Pre-Gado
-
Coronal T1w TSE mDIXON (In Phase)
Post-Gado
-
Coronal T1w TSE mDIXON (Water only)
Post-Gado
-
Axial Diffusion (b1000)
-
Axial Diffusion (ADC)
-
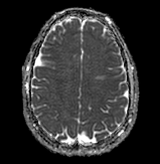
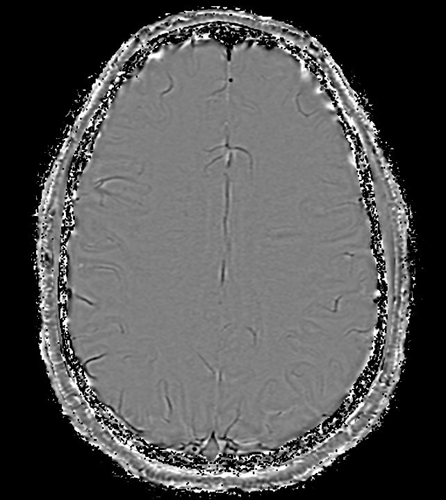
Axial SWIp (Modulus)
-
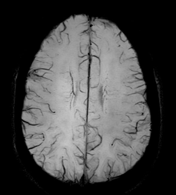
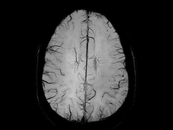
Axial SWIp (minIP)
-
Axial SWIp (Phase)
Previous
Next
Close
Resolution
ScantimeObjective
*Results from case studies are not predictive of results in other cases. Results in other cases may vary.