Go back
        Liver quantification
        
            Sasebo City General Hospital,  Japan        
     
            
            
                
Patient information
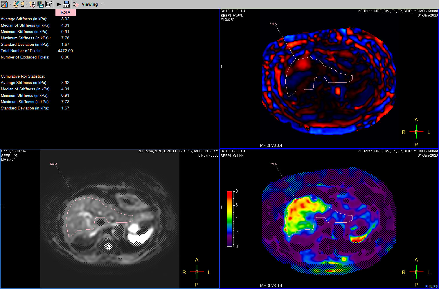
                Liver ExamCard including single breath hold 3D mDIXON Quant for non-invasive liver fat quantification of the whole liver with high accuracy (± 3.5%) and reproducibility (± 1.4%)1. And MR Elastography for a non-invasive assessment of differences in tissue stiffness of the liver. Image processing is fully integrated at the scanner with automated calculation of Elastograms, reflecting tissue stiffness in kPa and statistical confidence map for reliability assessment.            
        
    
    
    
        Gallery
        
    
        - 
      
         T2w TSE (single shot)
- 
      
         T2w TSE FatSat
- 
      
         T2w TSE (single shot)
- 
      
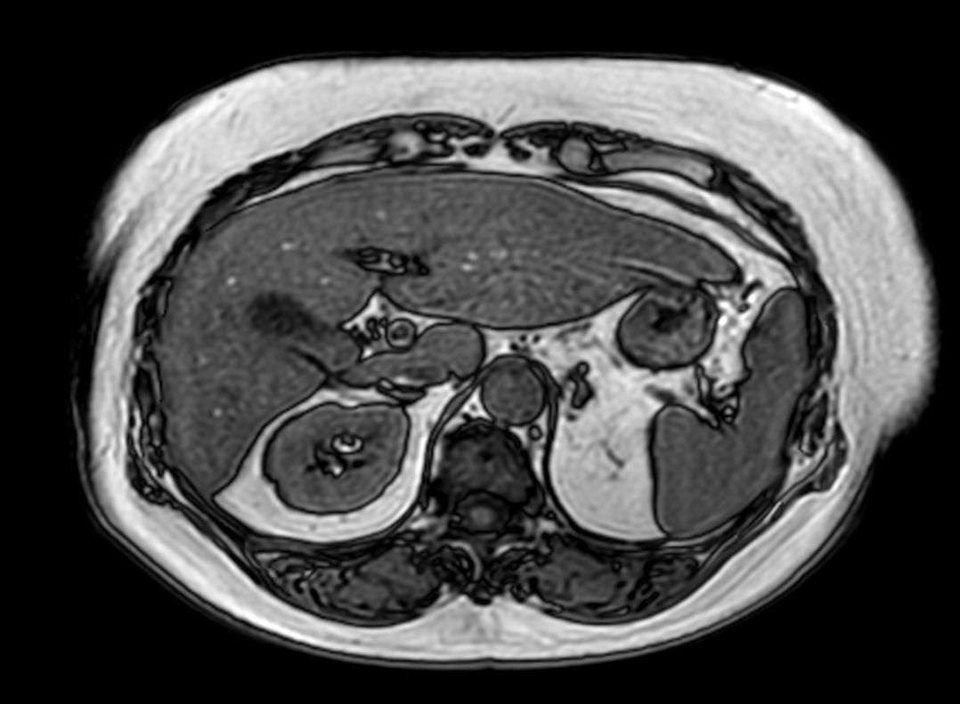
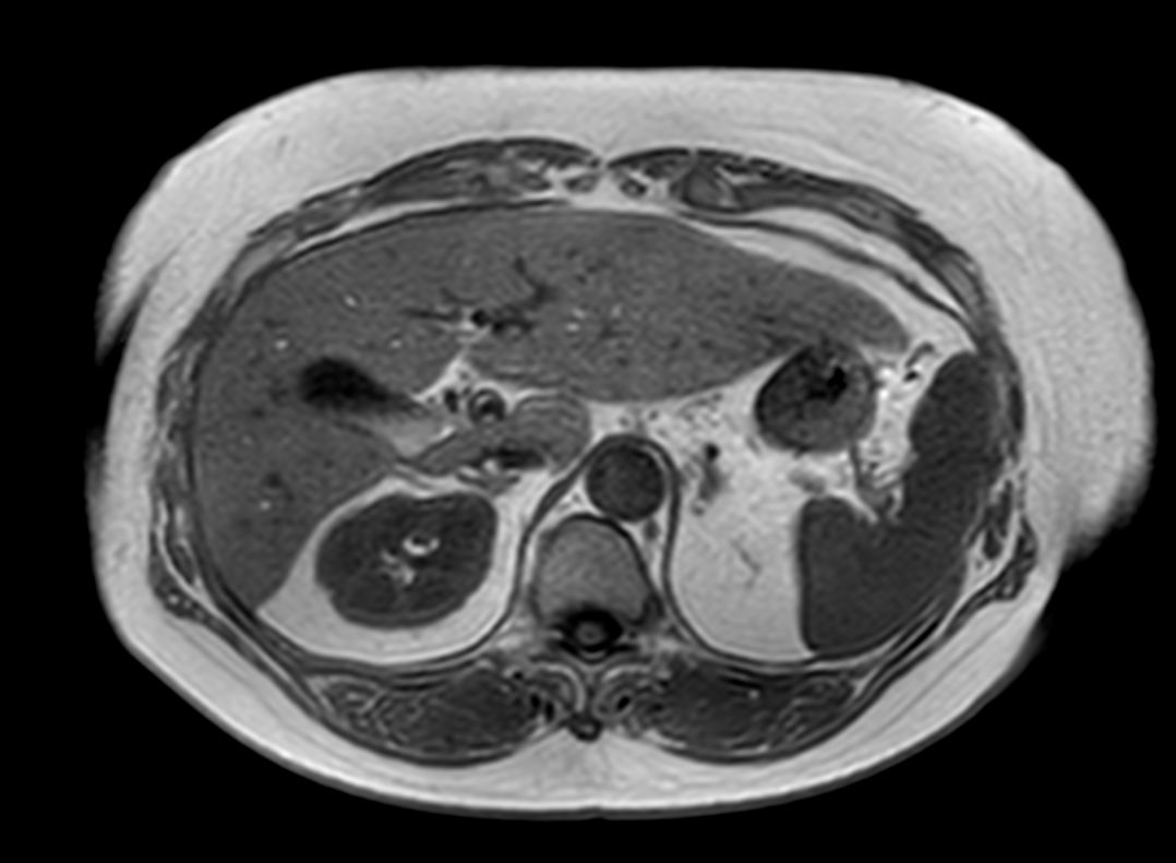
         T1w FFE (In Phase)
- 
      
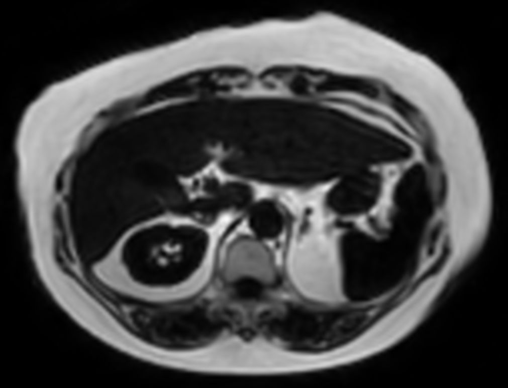
         T1w FFE (Out Phase)
- 
      
         Diffusion (b0)
- 
      
         Diffusion (b1000)
- 
      
         Diffusion (ADC)
- 
      
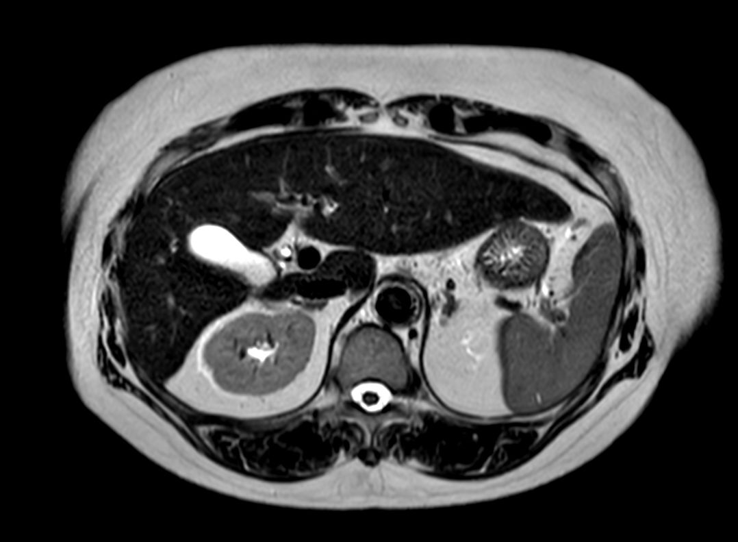
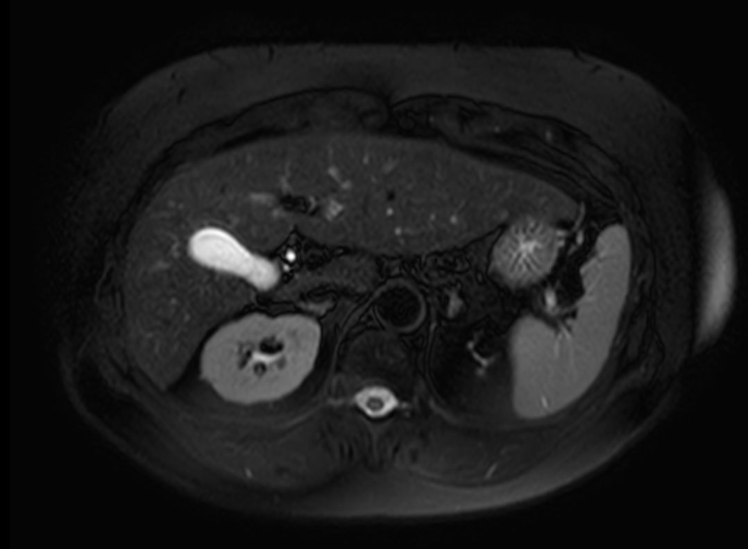
         mDIXON XD Quant (Water only)
- 
      
         mDIXON XD Quant (Fat only)
- 
      
         mDIXON XD Quant (Fat Fraction Map)
- 
      
         mDIXON XD Quant (T2* Map)
- 
      
         MR Elastography (SE-EPI, 4 slices)
                    
             
- 
      
         MR Elastography (SE-EPI, 4 slices) (Stiffness Map)
- 
      
         MR Elastography (SE-EPI, 4 slices) (processing)
Previous
    Next         
    
    Close
    
    
        
        Resolution
ScantimeObjective
    
     
             
    
        
            *Accuracy and reproducibility were assessed using a reference liver protocol, on fat phantoms [range: 0-100%]. Reproducibility assessed over systems.
Results from case studies are not predictive of results in other cases. Results in other cases may vary.