Go back
        Fat-free elbow imaging
        
            Academic Medical Center, Amsterdam, Netherlands        
     
    
    
    
        Gallery
        
    
        - 
      
         Coronal T1w mDIXON XD TSE (Water only)
- 
      
         Coronal T1w mDIXON XD TSE (In Phase)
- 
      
         Coronal T1w mDIXON XD TSE (Partial FatSat)
- 
      
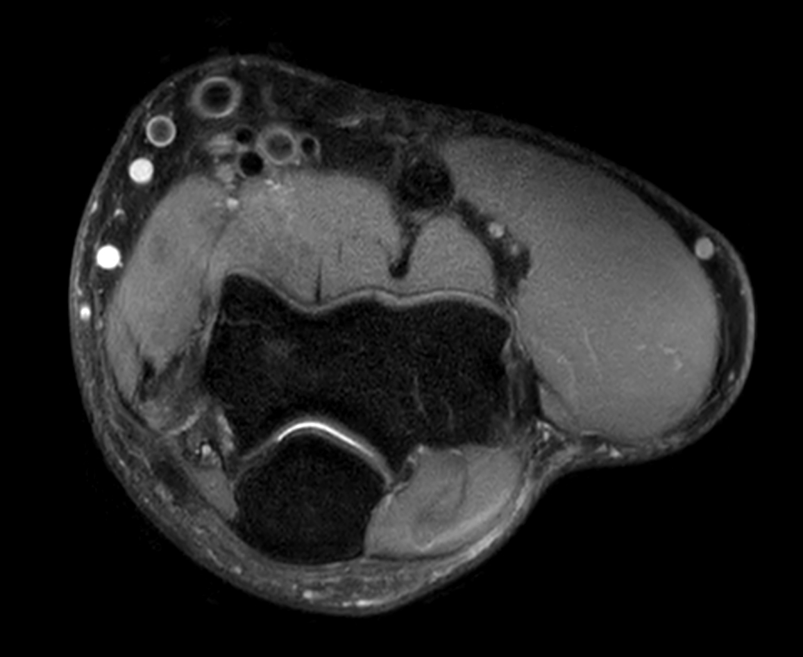
         Axial T2w TSE
- 
      
         Axial PDw mDIXON XD TSE (Water only)
- 
      
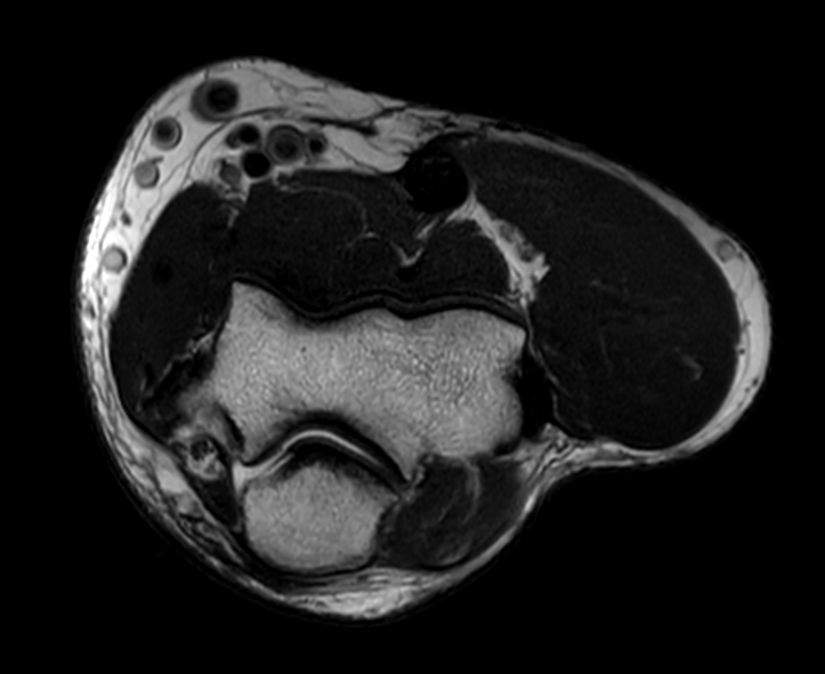
         Axial PDw mDIXON XD TSE (In Phase)
- 
      
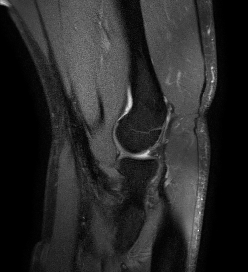
         Sagittal PDw SPAIR
- 
      
         Sagittal PDw mDIXON XD TSE (Water only)
- 
      
         Sagittal PDw mDIXON XD TSE (In Phase)
Previous
    Next         
    
    Close
    
    
        
        Resolution
ScantimeObjective
    
     
             
    
        
            *Results from case studies are not predictive of results in other cases. Results in other cases may vary.