Go back
        Liver metastasis – Free breathing
        
            Kumamoto Chuo Hospital, Japan        
     
            
            
                
Patient information
                Patient with liver metastasis. ExamCard includes Compressed SENSE to shorten the breath hold time, VitalEye for touchless respiratory sensing, mDIXON Quant for non-invasive liver fat fraction quantification and 4D FreeBreathing to perform multi-phase contrast-enhanced MRI studies.            
        
    
    
    
        Gallery
        
    
        - 
      
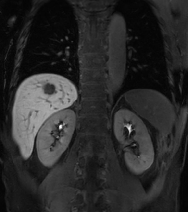
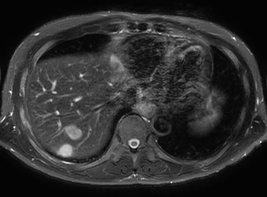
         T2w SPAIR - Breath hold
- 
      
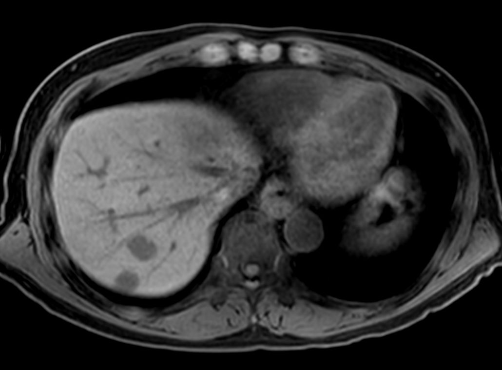
         T1w FFE mDIXON XD - Breath hold Compressed SENSE
- 
      
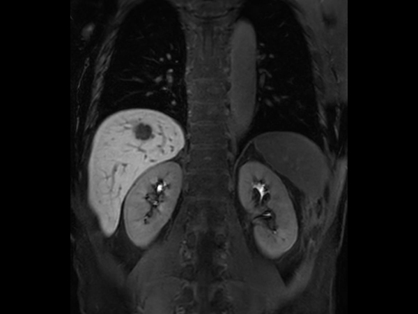
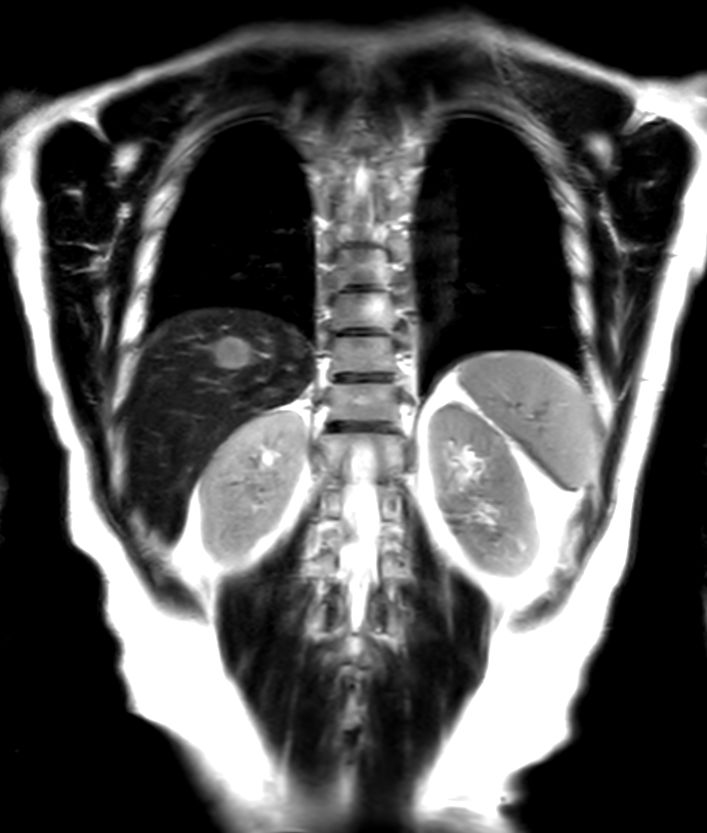
         T2w TSE - Breath hold Compressed SENSE
- 
      
         Diffusion b1000 - Free Breathing (VitalEye)
- 
      
         Diffusion b1000 (ADC) - Free Breathing (VitalEye)
- 
      
         mDIXON Quant (fat percentage) - Breath hold
- 
      
         4D Free Breathing
                    
             
- 
      
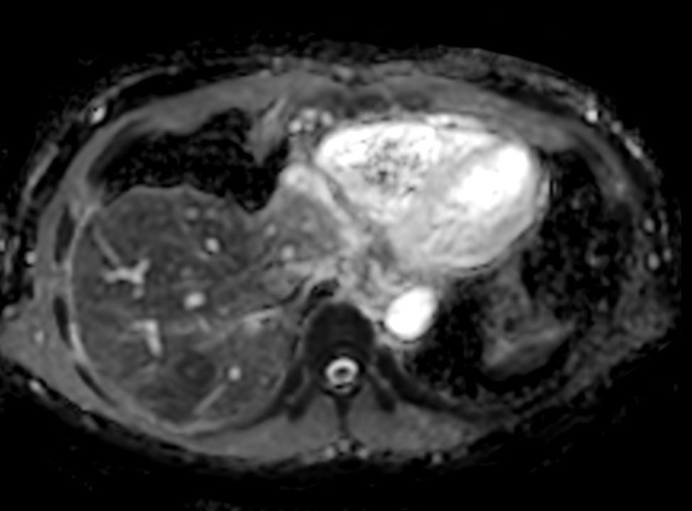
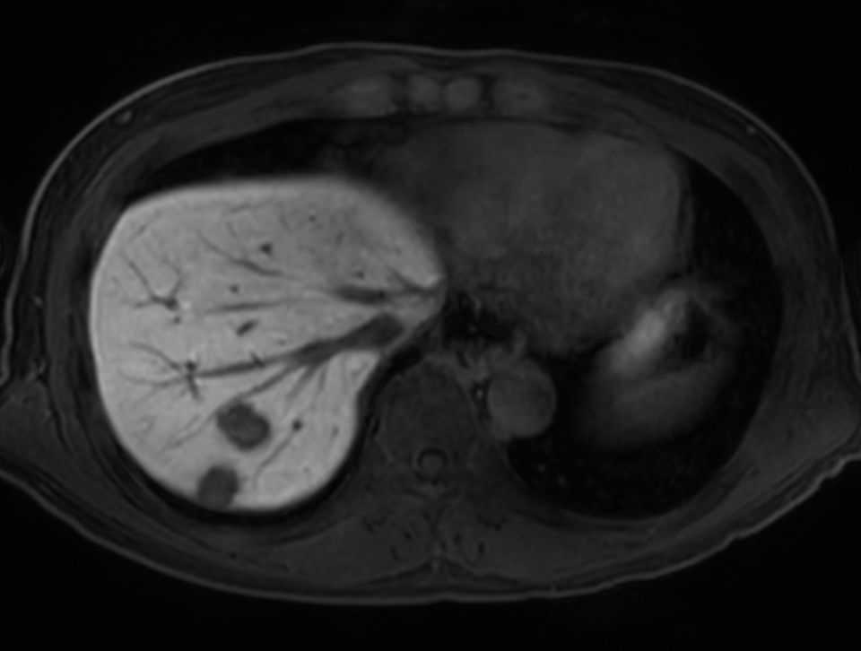
         T1w FFE mDIXON XD - Breath hold (15 min. post-gado) Compressed SENSE
- 
      
         T1w FFE mDIXON XD - Breath hold (15 min. post-gado) Compressed SENSE
Previous
    Next         
    
    Close
    
    
        
        Resolution
ScantimeObjective
    
     
             
    
        
            *Results from case studies are not predictive of results in other cases. Results in other cases may vary.