Go back
Multi Nuclei - Brain imaging (23Na)
Patient information
Make multi-nuclei imaging and spectroscopy become part of your clinical operations via a seamless integrated workflow for multi-nuclei image acquisition, spectroscopy, reconstruction, and viewing. The nucleus is just a scan parameter like any other sequence parameter. A single ExamCard can be used to run both proton and non-proton imaging. Reconstruction and viewing of non-proton images or spectra, as well as the process for sending the data to PACS is fully integrated, so workflow does not differ from proton imaging. The dual tuned head coil from Rapid biomedical is immediately recognized by the ExamCard interface and your full brain exam, including acquisition of proton and other nuclei, can be completed without switching coils.
Gallery
-
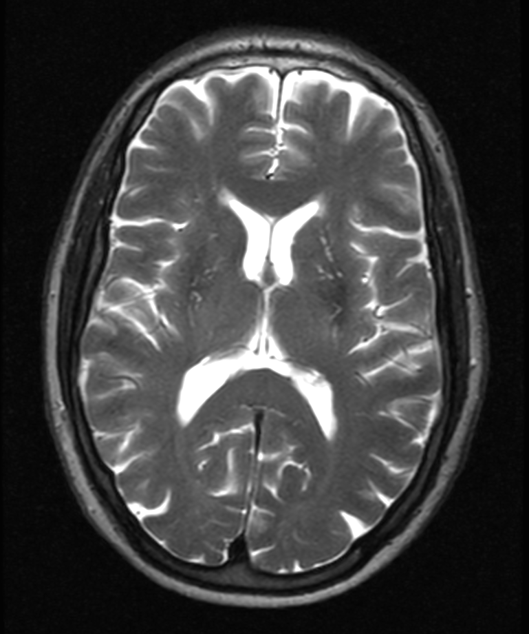
Axial T2w TSE
-
Axial T2w FLAIR
-
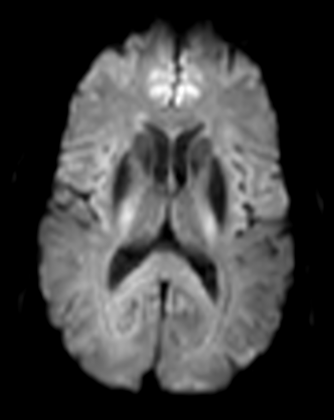
Axial DWI b1000
-
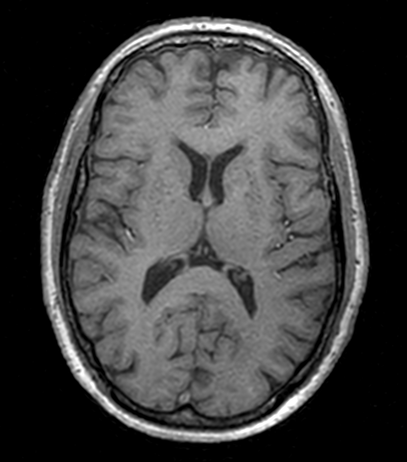
Axial 3D T1w TFE
-
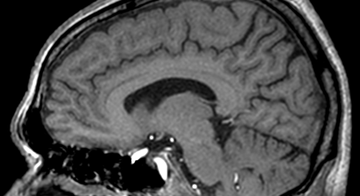
3D T1w TFE (sagittal reformat)
-
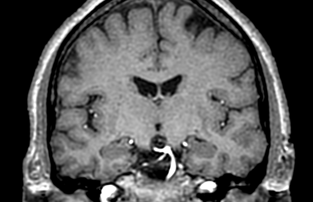
3D T1w TFE (coronal reformat)
-
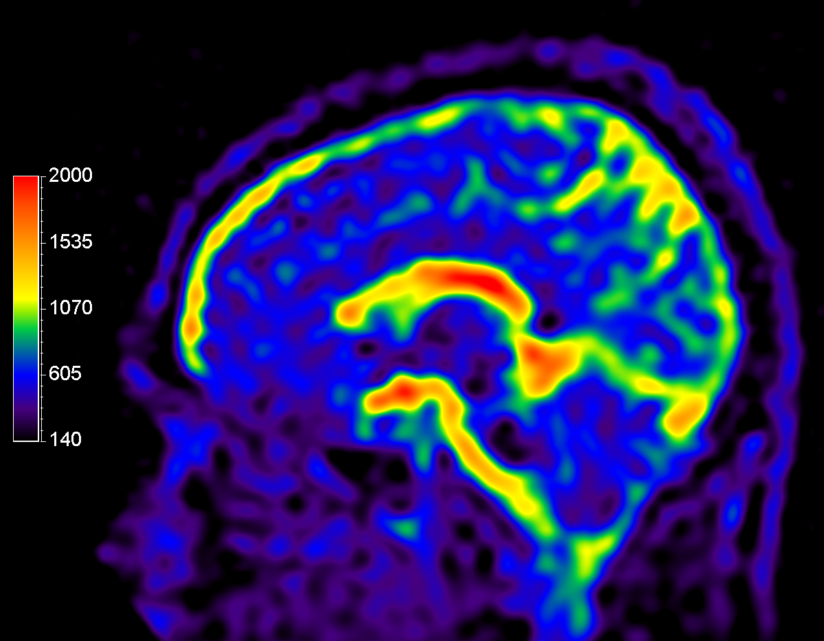
Sagittal 23Na bFFE
-
23Na bFFE (axial reformat)
-
23Na bFFE (coronal reformat)
Previous
Next
Close
Resolution
ScantimeObjective
*Results from case studies are not predictive of results in other cases. Results in other cases may vary.