Go back
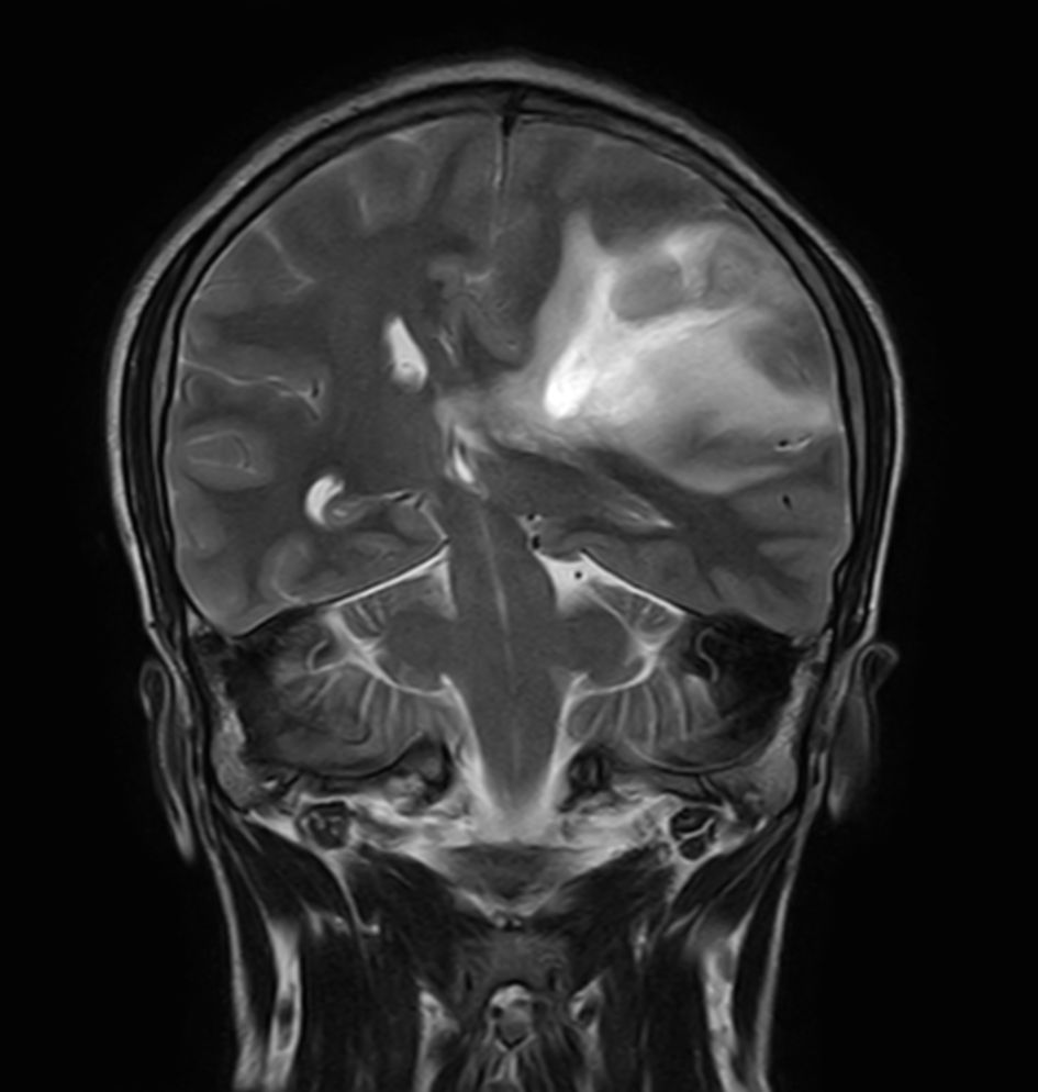
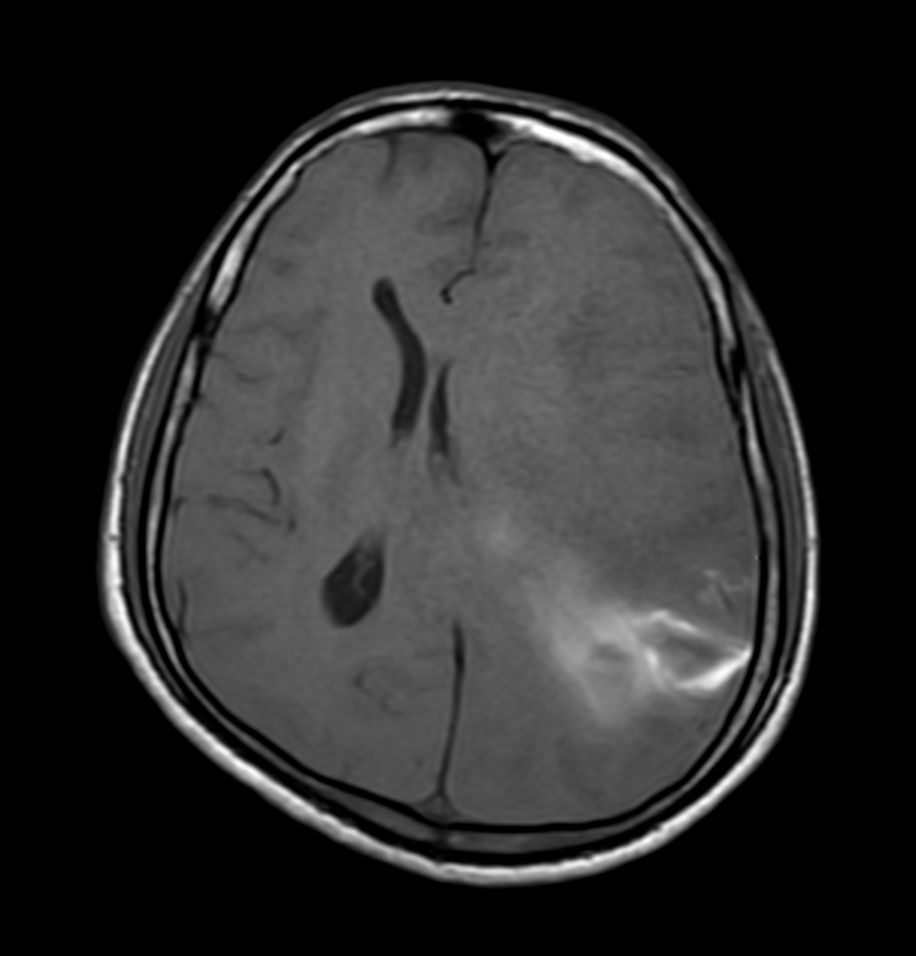
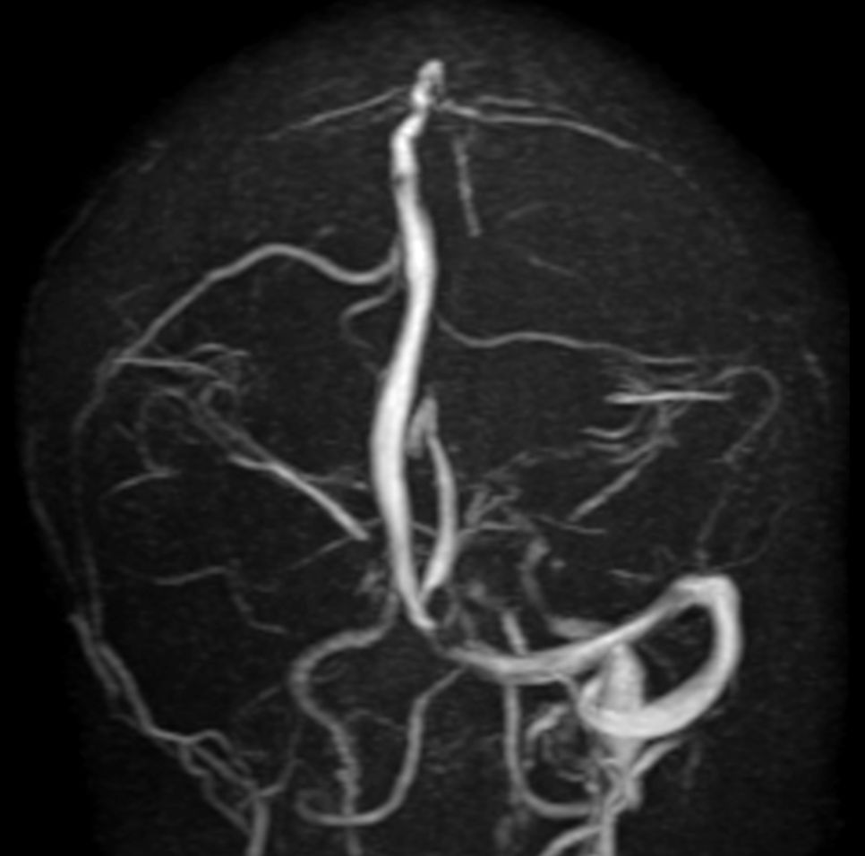
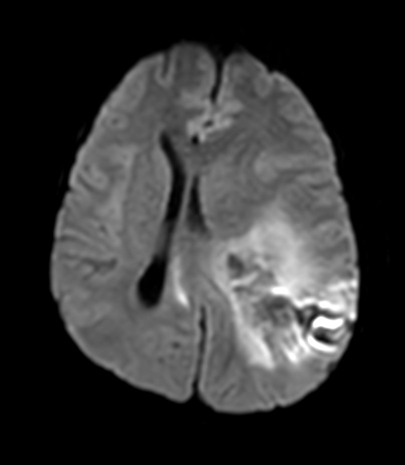
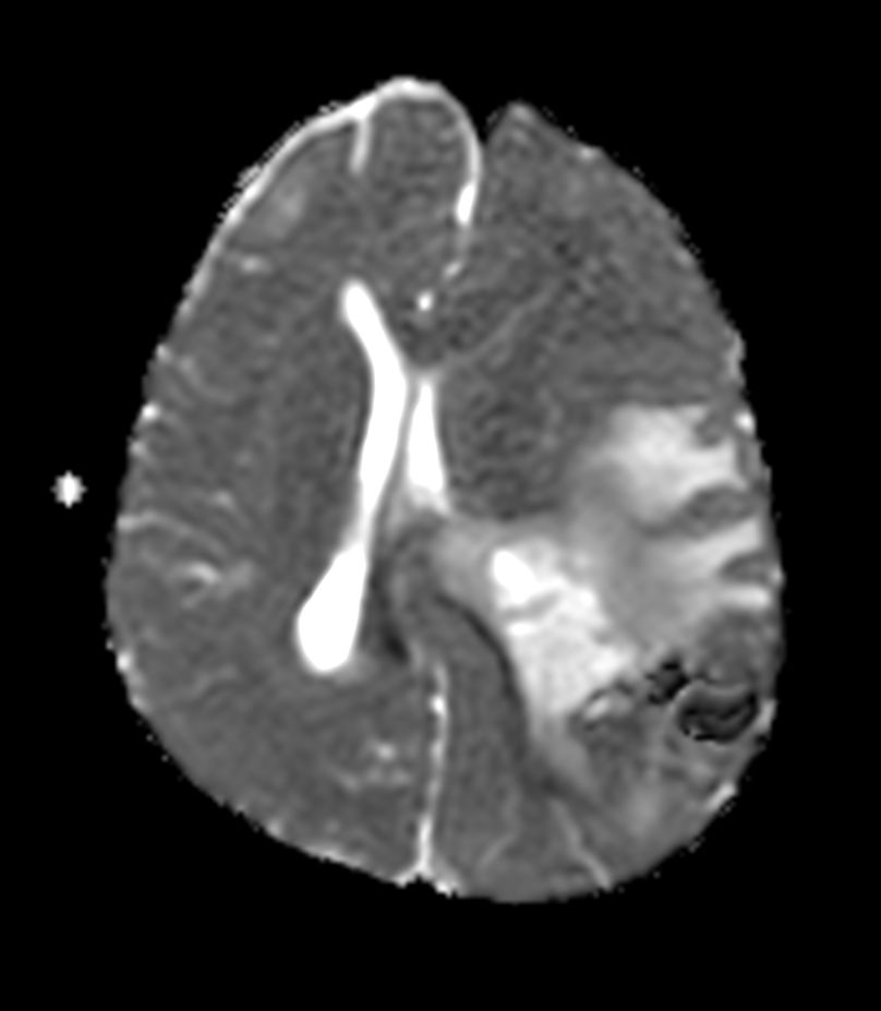
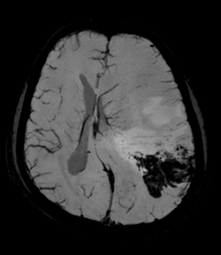
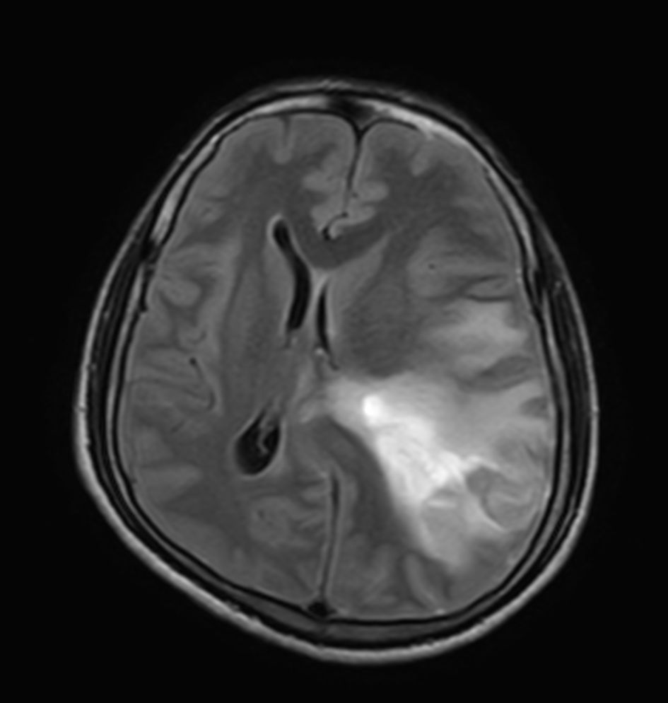
        Pediatric Brain with hemorrhagic mass
        
            MyCure Hospital Viashakapatinam, India        
     
            
            
                
Patient information
                Pediatric patient with a hemorrhagic mass in the brain            
        
    
    
    
        Gallery
                
    
    Close
    
    
        
        Resolution
ScantimeObjective
    
     
             
    
        
            *Results from case studies are not predictive of results in other cases. Results in other cases may vary.
Ingenia Prodiva is not available for sale in the USA.