Go back
        Bladder cancer
        
            Kumamoto Chuo Hospital, Japan        
     
            
            
                
Patient information
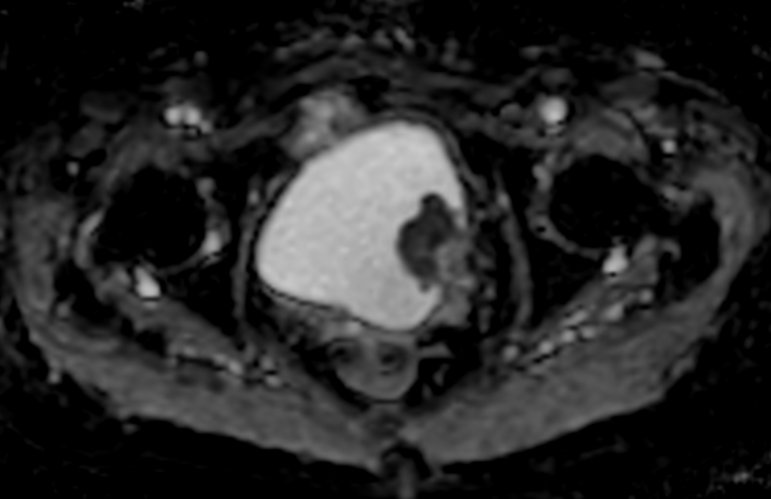
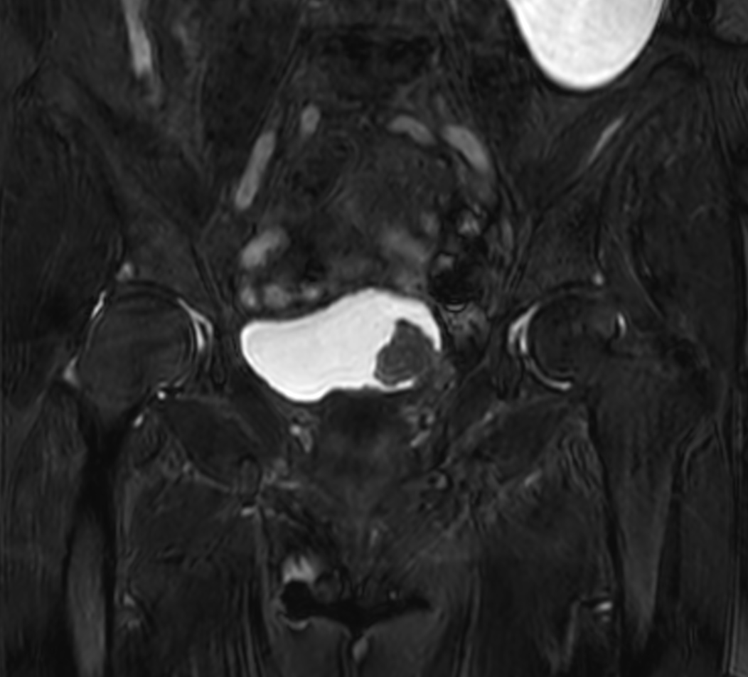
                Patient with bladder cancer. The ExamCard includes techniques for motion reduced imaging (MultiVane XD), 3D TSE imaging (PelvisVIEW) allowing for multiple image directions in one single scan, a multi-phase contrast-enhanced sequence (4D FreeBreathing) to improve imaging confidence and Compressed SENSE to accelerate the entire exam.            
        
    
    
    
        Gallery
        
    
        - 
      
         T2w TSE MultiVane XD
- 
      
         T2w TSE MultiVane XD
- 
      
         T1w TSE MultiVane XD
- 
      
         3D bTFE Compressed SENSE
- 
      
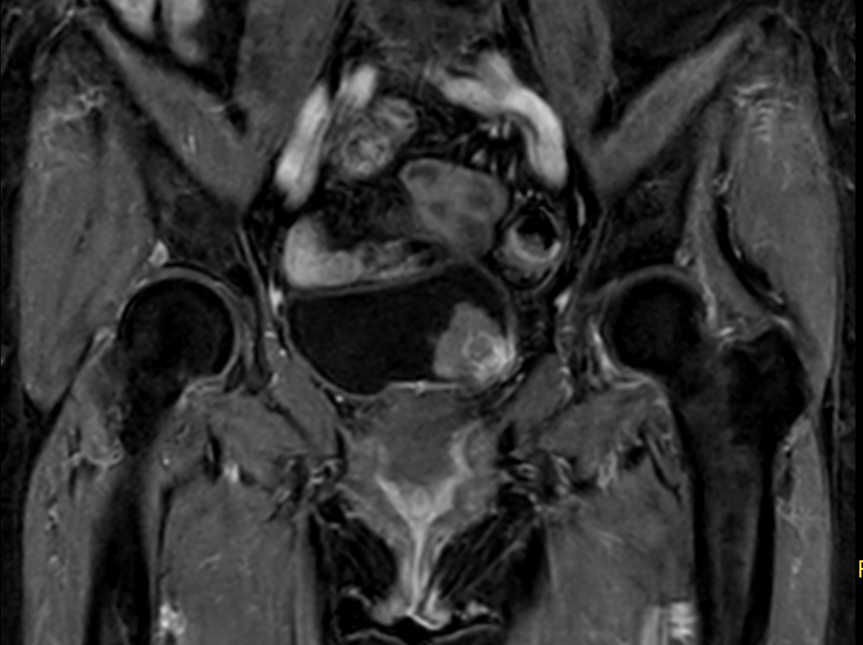
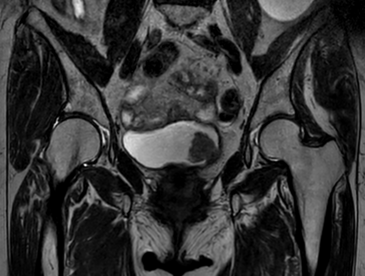
         3D T2w TSE PelvisVIEW Compressed SENSE
- 
      
         3D T2w TSE PelvisVIEW (reformat) Compressed SENSE
- 
      
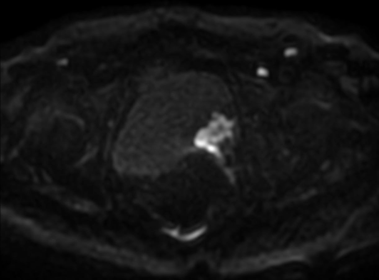
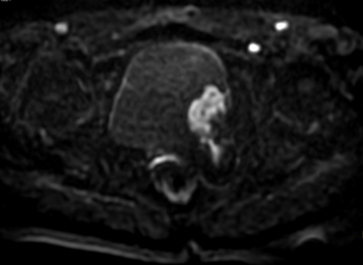
         DWI b1000
- 
      
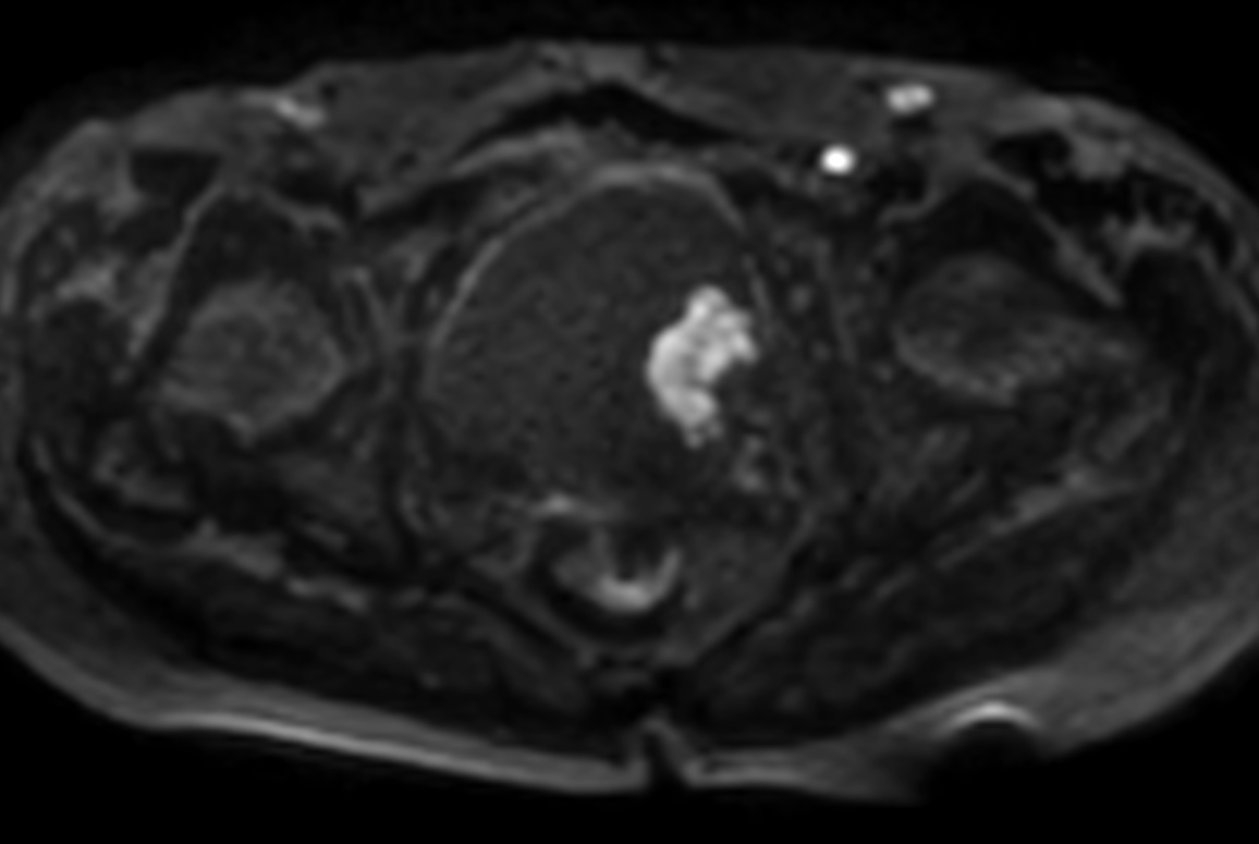
         DWI b1000 (ADC)
- 
      
         DWI b1200
- 
      
         DWI b1200 (ADC)
- 
      
         4D FreeBreathing
                    
             
- 
      
         4D FreeBreathing (MIP)
                    
             
- 
      
         DWI b1000 with gado
- 
      
         DWI b1000 with gado (ADC)
- 
      
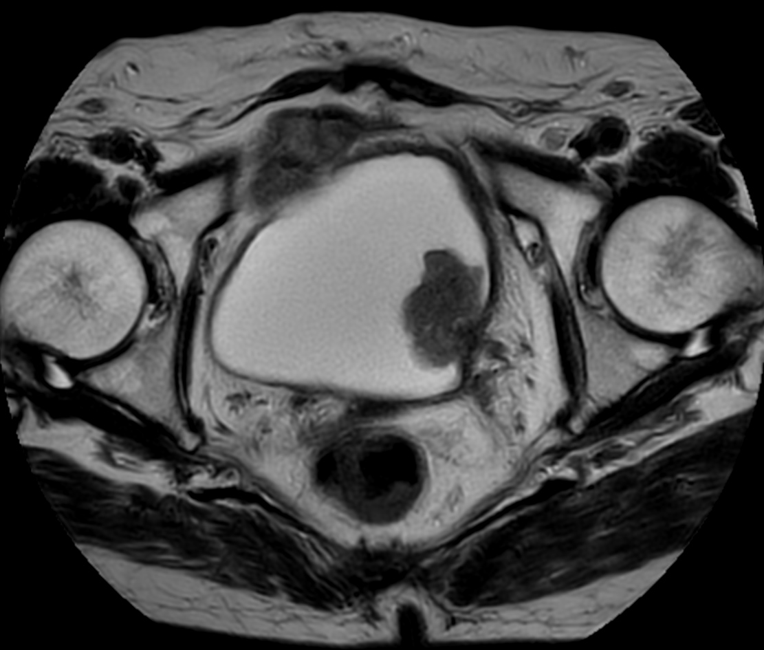
         3D eTHRIVE with gado
Previous
    Next         
    
    Close
    
    
        
        Resolution
ScantimeObjective
    
     
             
    
        
            *Results from case studies are not predictive of results in other cases. Results in other cases may vary.