Go back
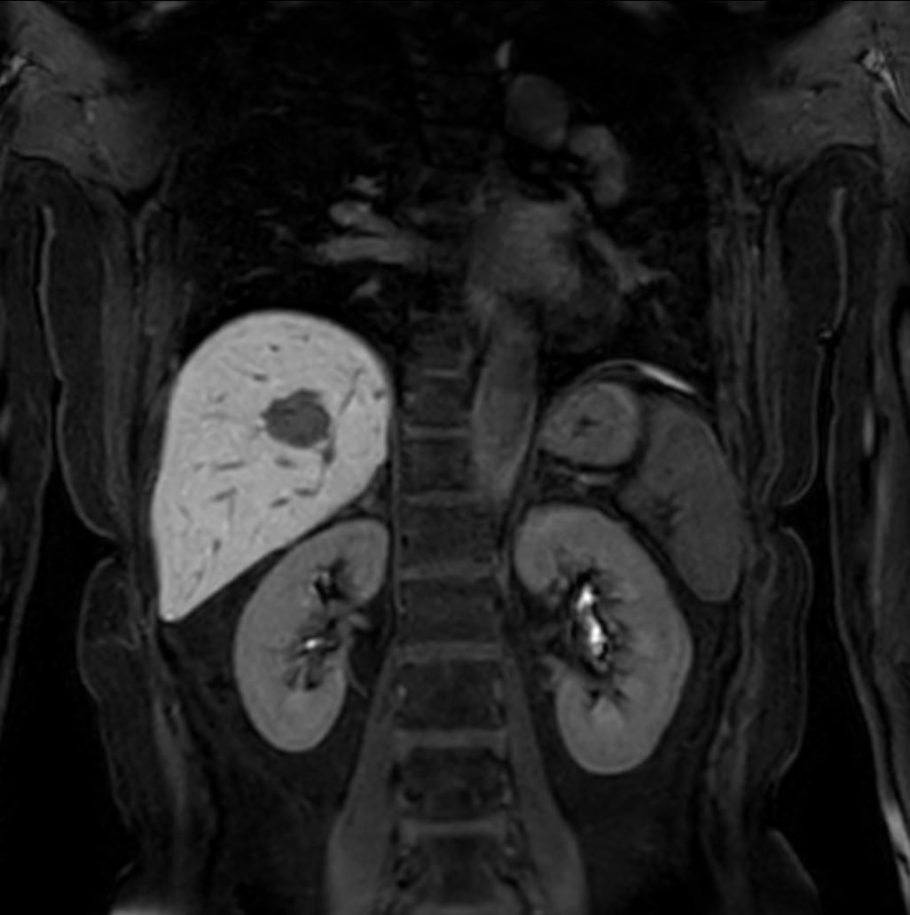
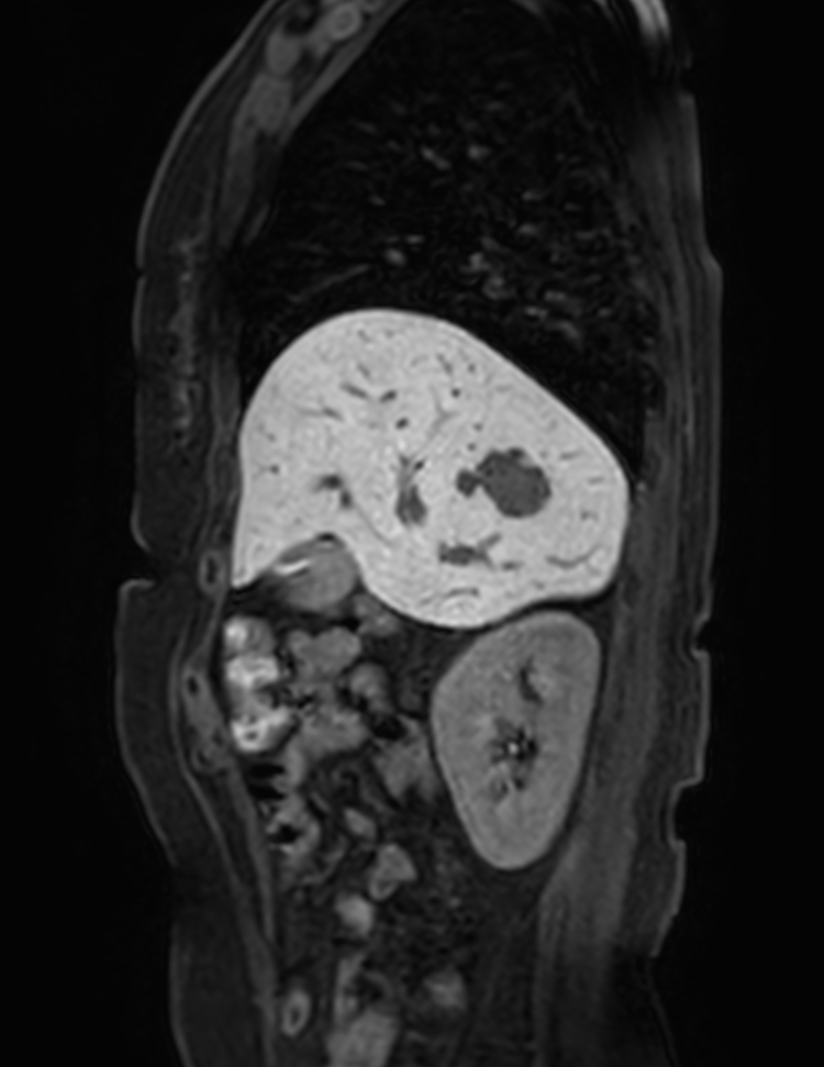
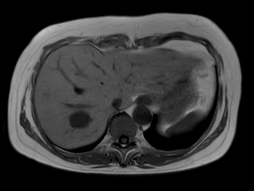
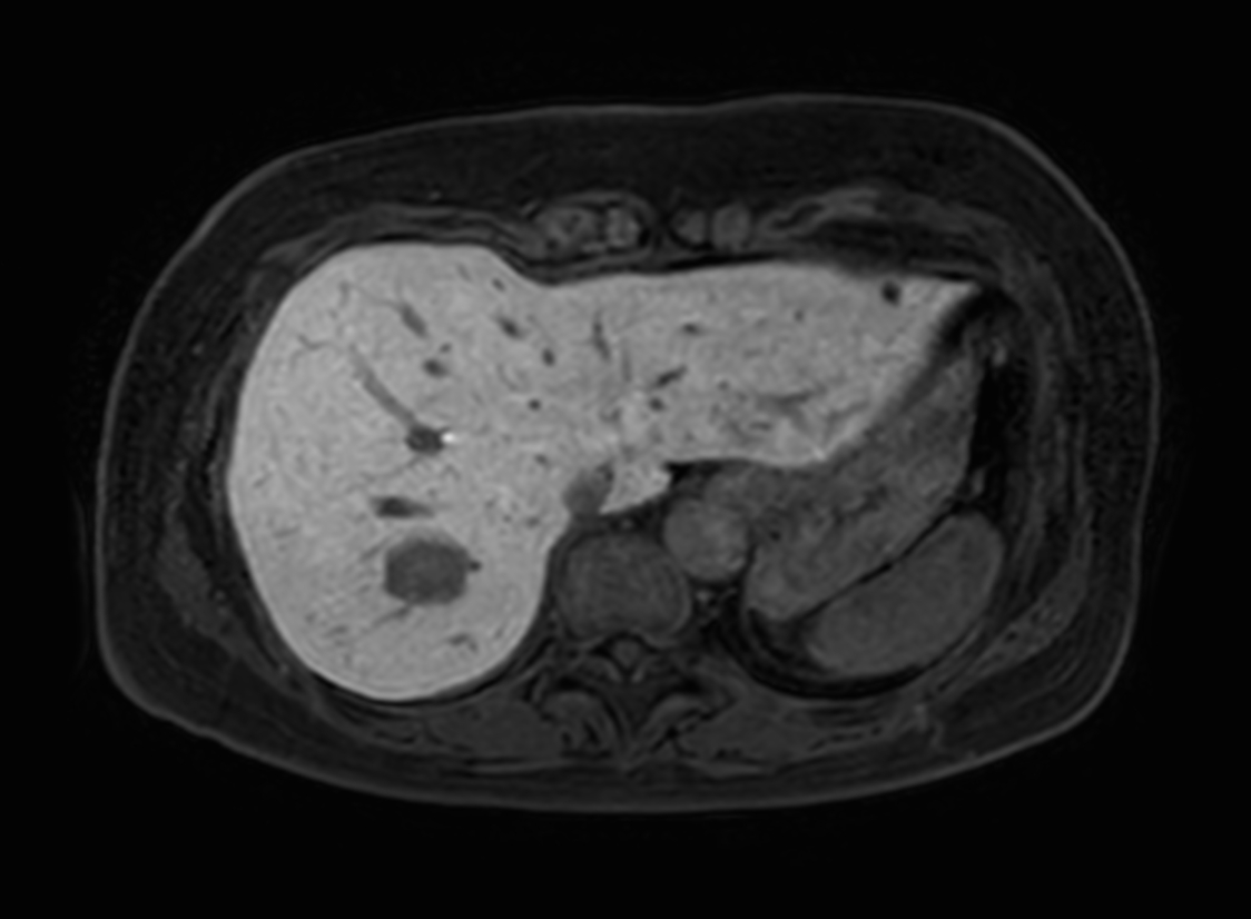
        Liver hemangioma with Compressed SENSE
        
            Kurashiki Central Hospital, Okayama, Japan        
     
    
    
    
        Gallery
        
    
        - 
      
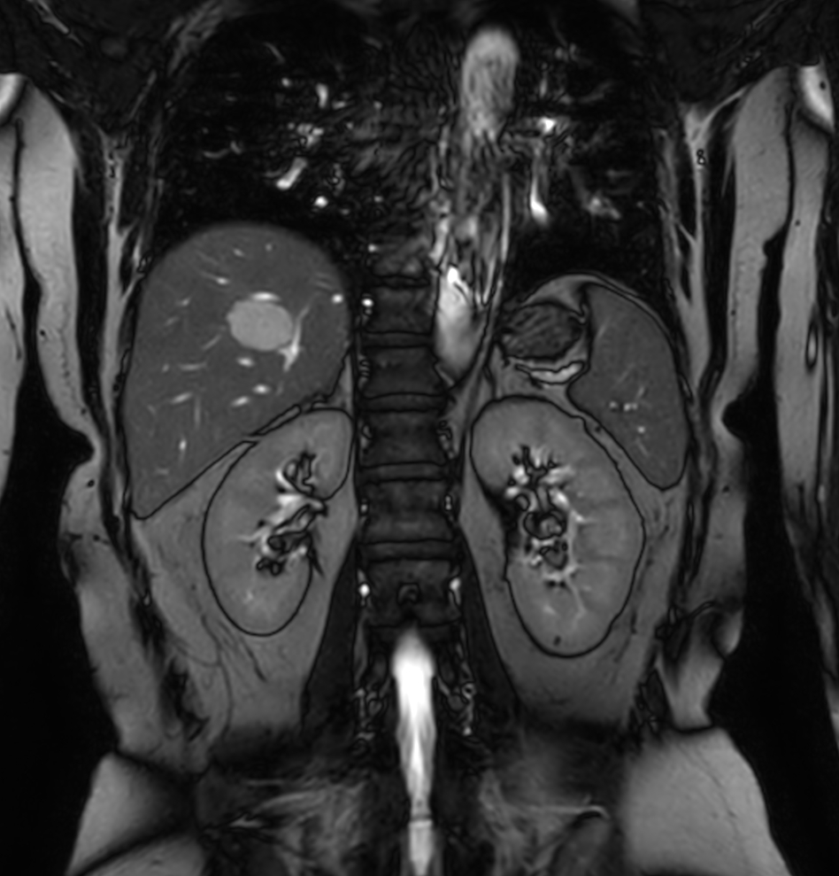
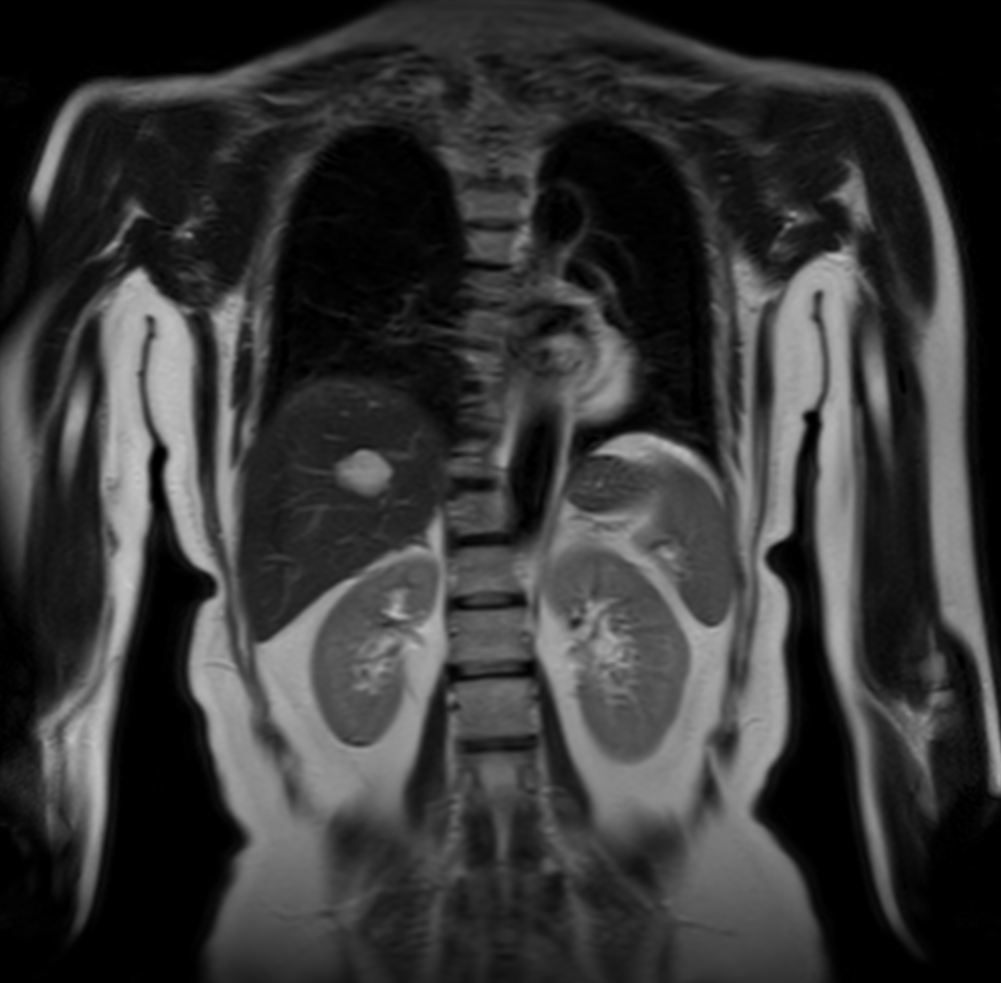
         Coronal T2w SSh
- 
      
         Coronal bTFE
- 
      
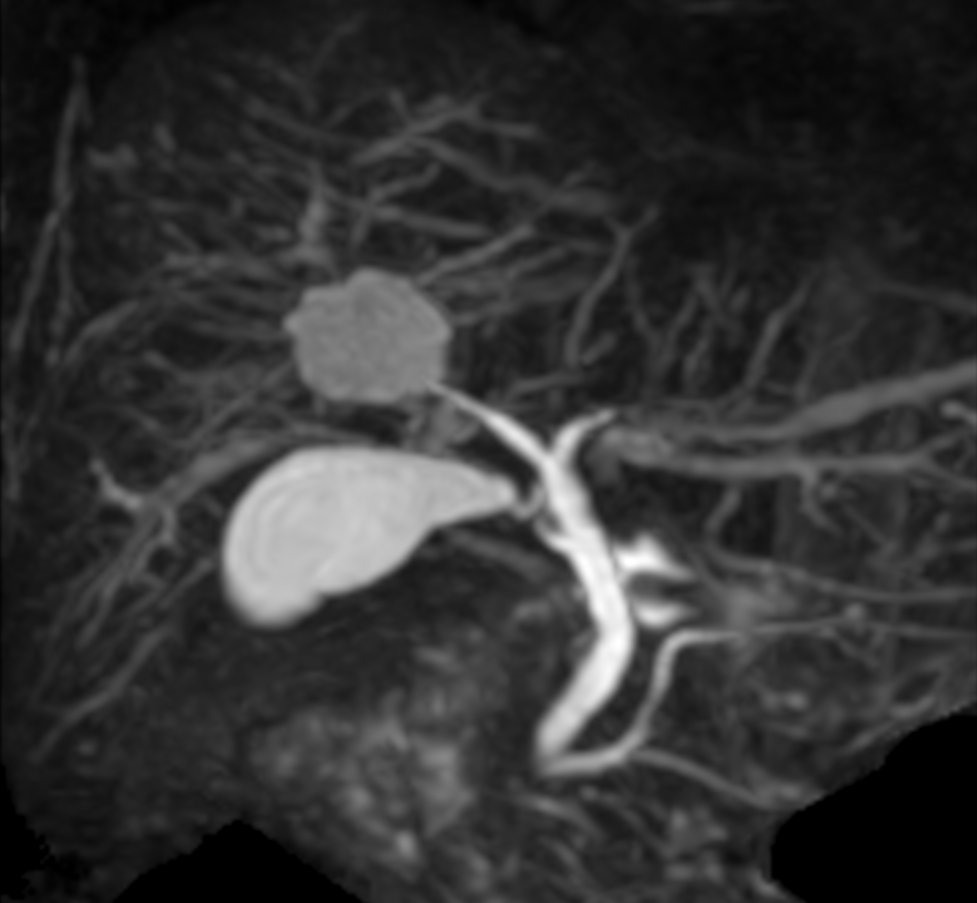
         Coronal bTFE (MIP)
- 
      
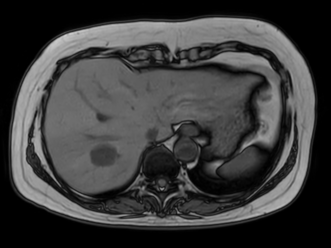
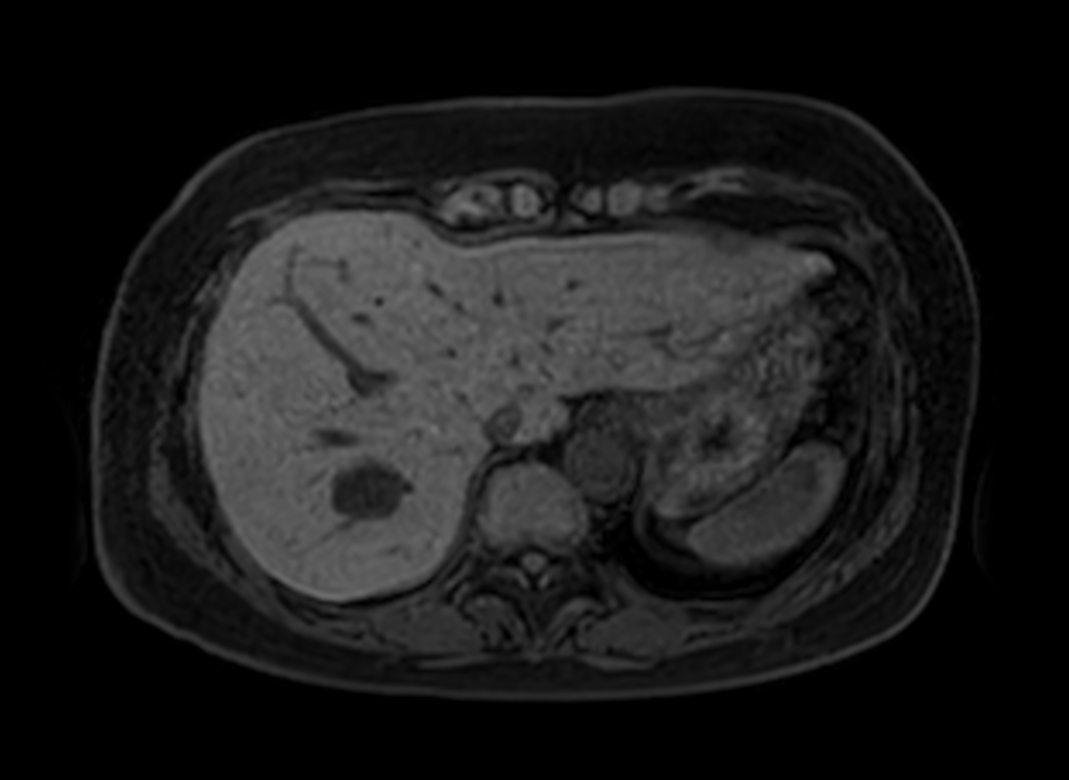
         Axial mDIXON XD FFE (In Phase)
- 
      
         Axial mDIXON XD FFE (Out Phase)
- 
      
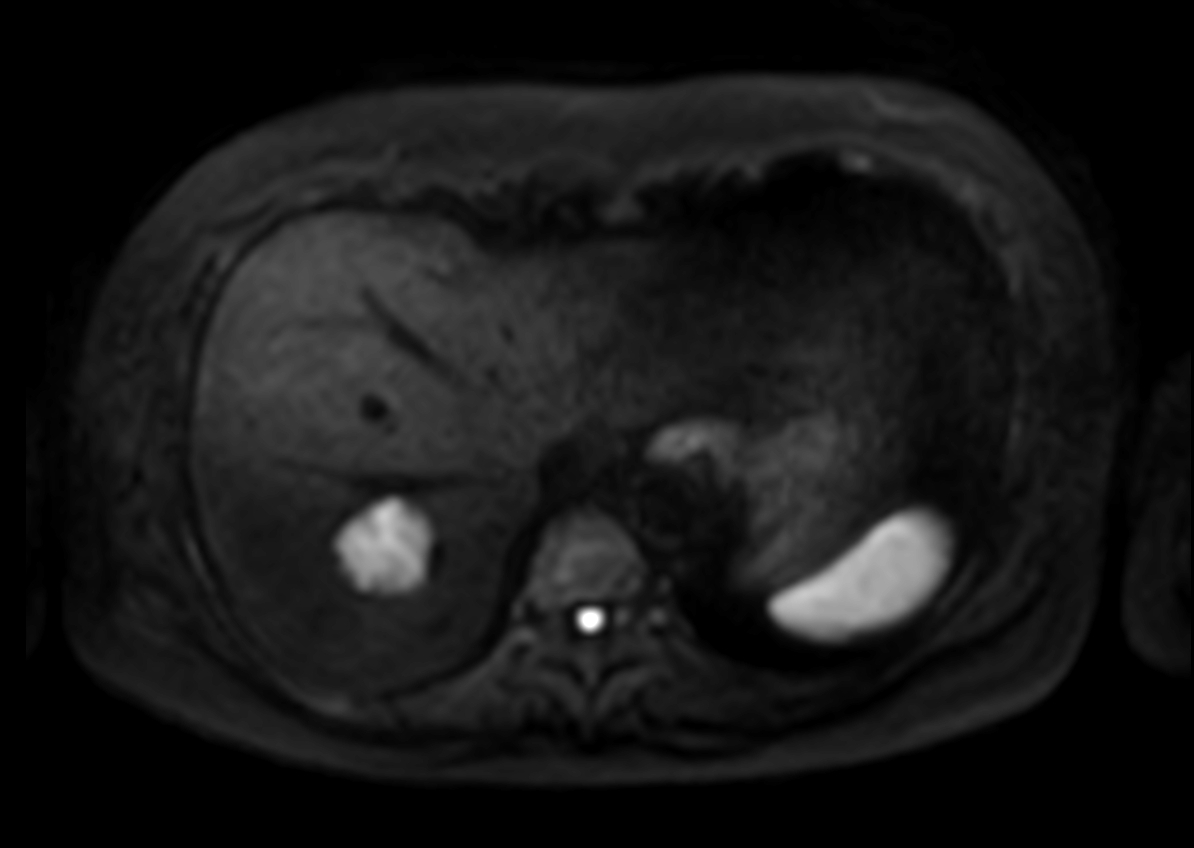
         Axial DWI (b8, Black Blood)
- 
      
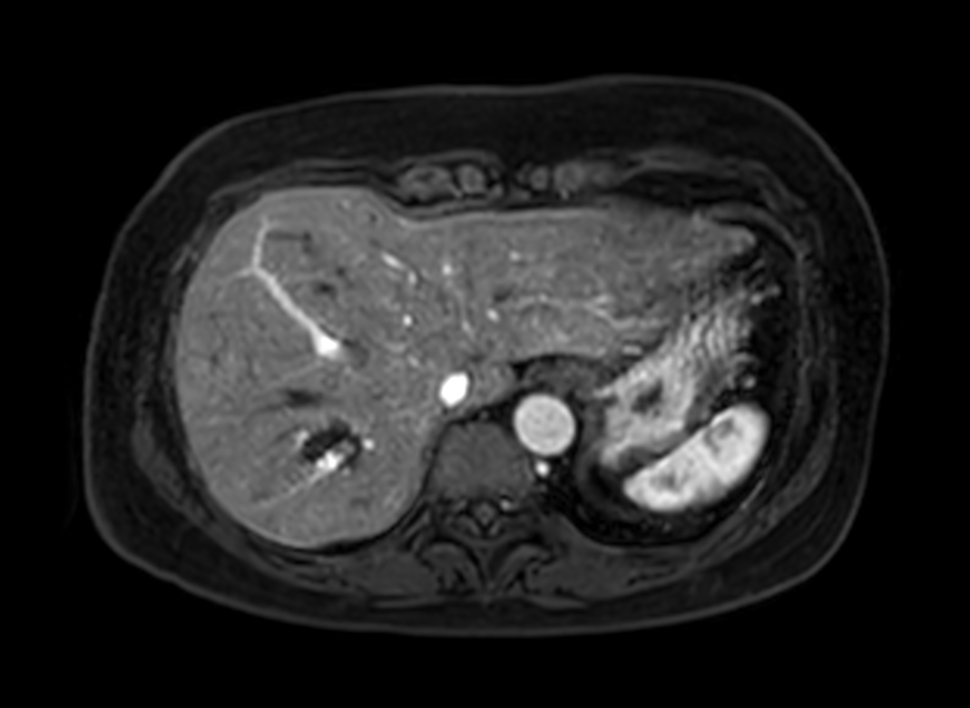
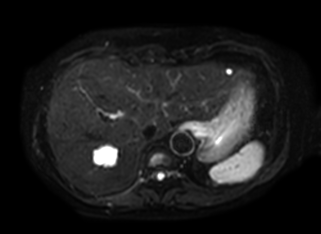
         Axial eTHRIVE (1st dynamic)
- 
      
         Axial eTHRIVE (2nd dynamic)
- 
      
         Axial eTHRIVE (4th dynamic)
- 
      
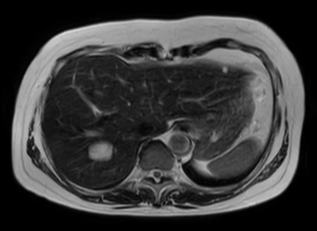
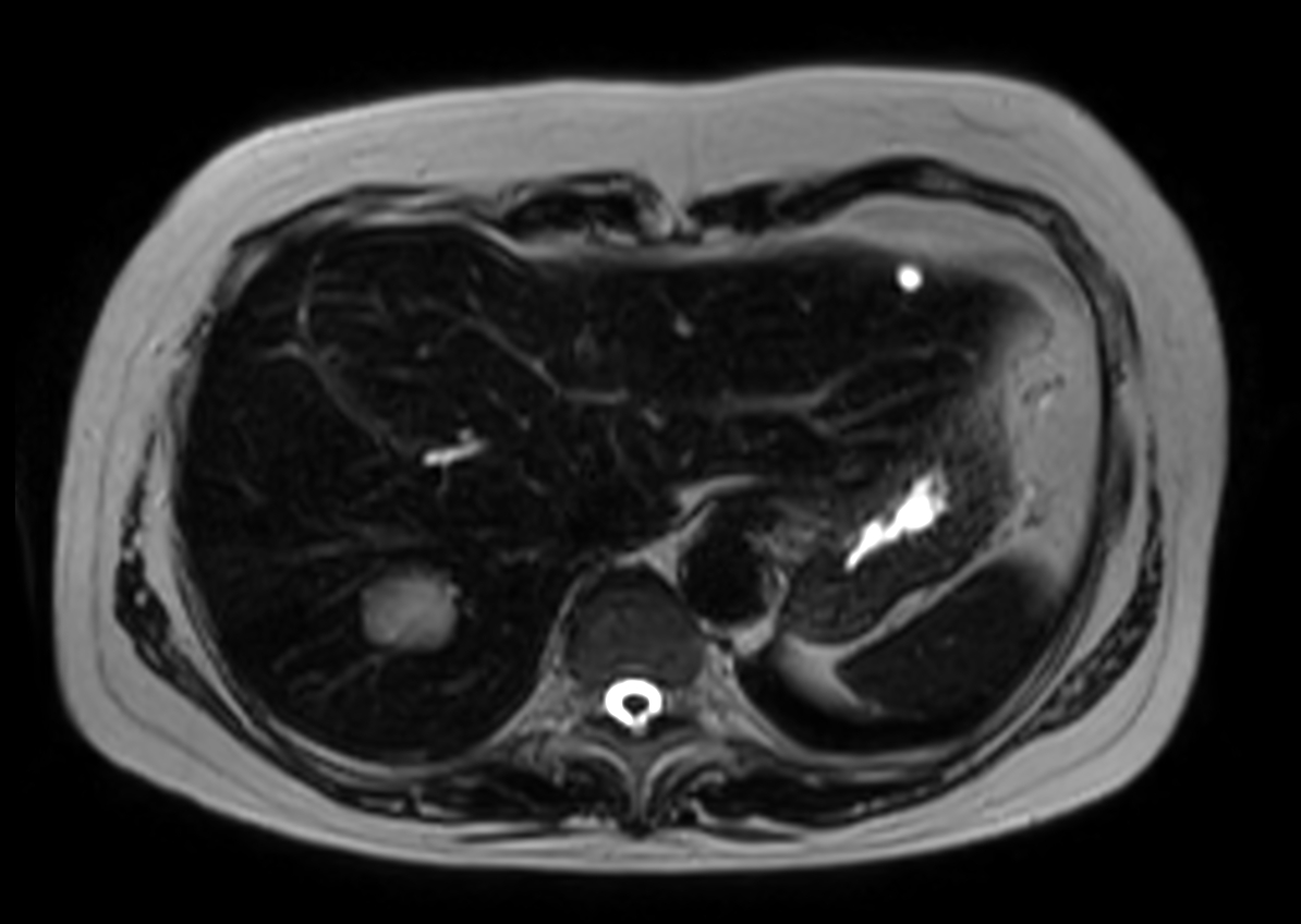
         Axial T2w TSE
- 
      
         Axial T2w TSE (heavy)
- 
      
         Axial DWI (b1000)
- 
      
         Axial eTHRIVE 
- 
      
         Coronal eTHRIVE 
- 
      
         Sagittal eTHRIVE 
- 
      
         Coronal MRCP (GRASE, MIP)
Previous
    Next         
    
    Close
    
    
        
        Resolution
ScantimeObjective
    
     
             
    
        
            *Results from case studies are not predictive of results in other cases. Results in other cases may vary.
 1Compared to scans without Compressed SENSE
Results from case studies are not predictive of results in other cases. Results in other cases may vary.