Go back
        Free breathing abdominal imaging
        
            Kumamoto Chuo Hospital, Japan        
     
    
    
    
        Gallery
        
    
        - 
      
         Coronal T2w TSE 
- 
      
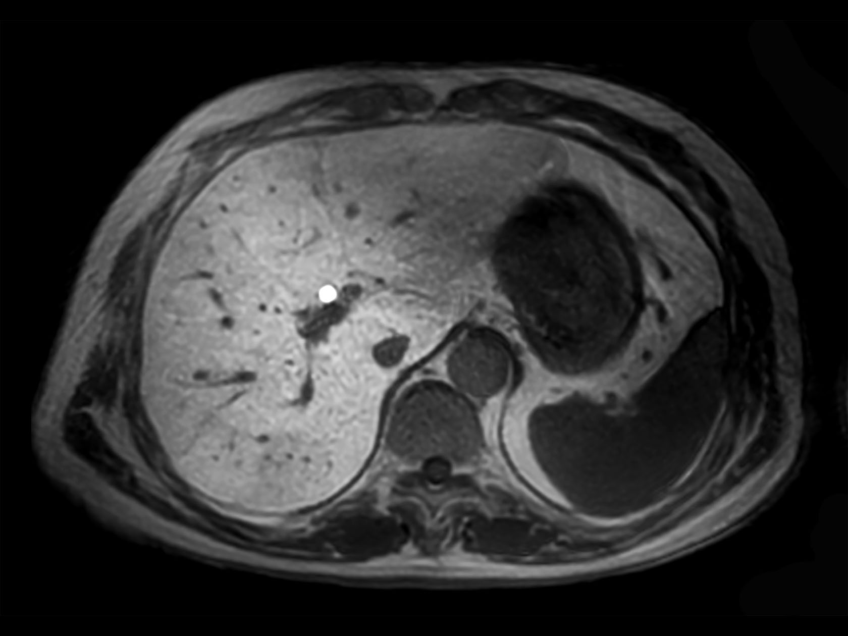
         Axial mDIXON XD FFE (Water only)
- 
      
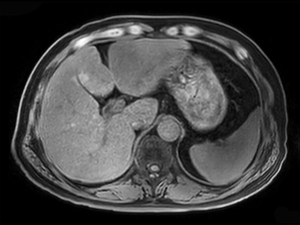
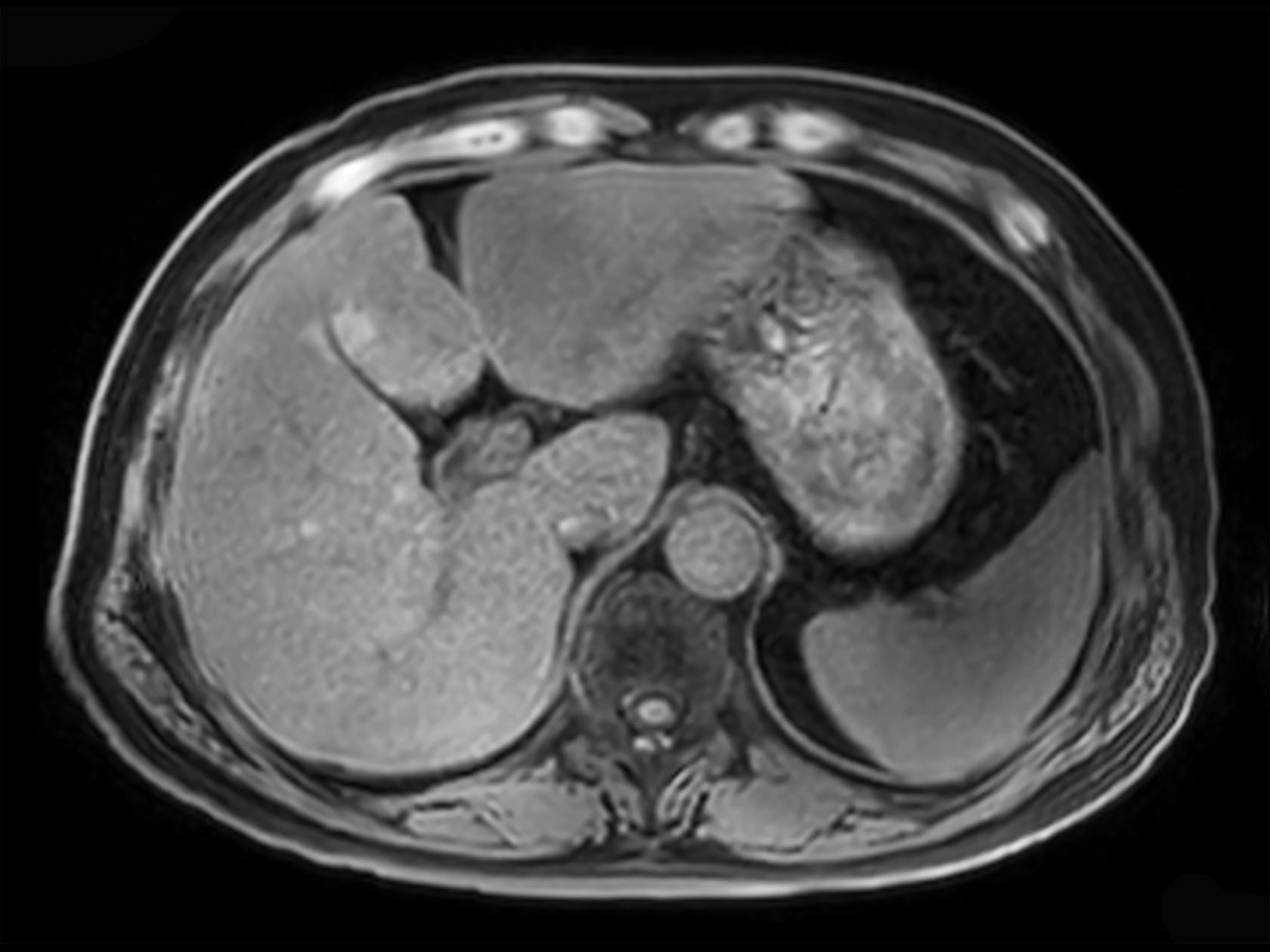
         Axial mDIXON XD FFE (In Phase)
- 
      
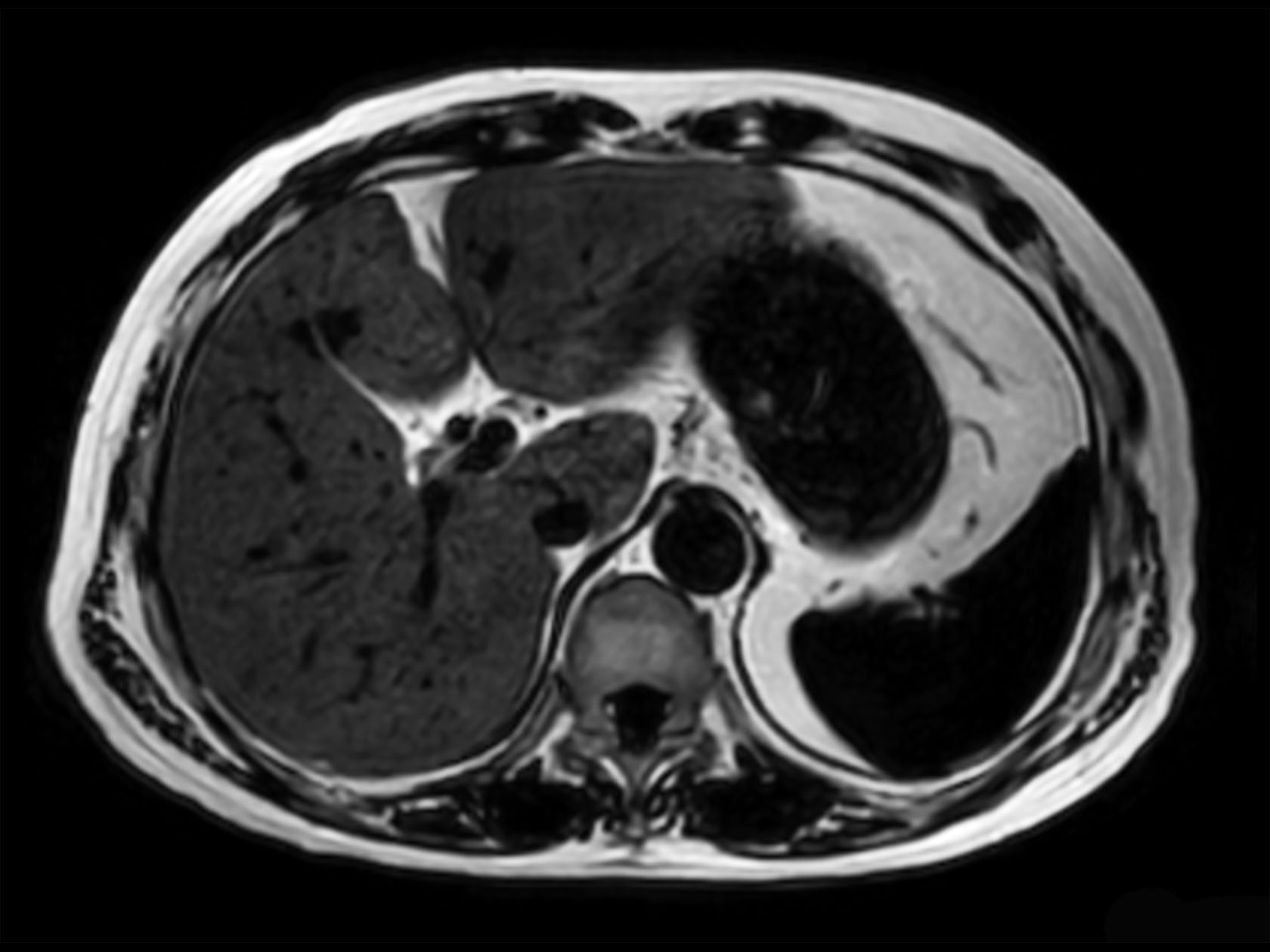
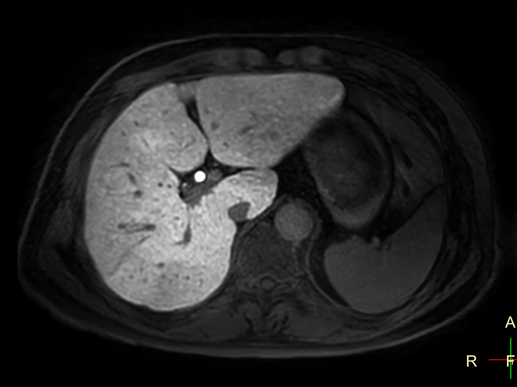
         Axial mDIXON XD FFE (Out Phase)
- 
      
         Axial mDIXON XD FFE (Fat only)
- 
      
         mDIXON Quant (fat fraction)
- 
      
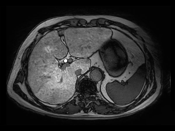
         dyn mDIXON XD FFE (pre gado)
- 
      
         dyn mDIXON XD FFE  (post gado, arterial phase)
- 
      
         dyn mDIXON XD FFE  (post gado, venous phase)
- 
      
         Diffusion (b0)
- 
      
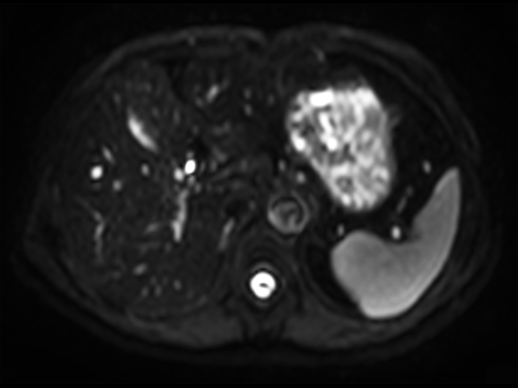
         Diffusion (b1000)
- 
      
         Diffusion (ADC)
- 
      
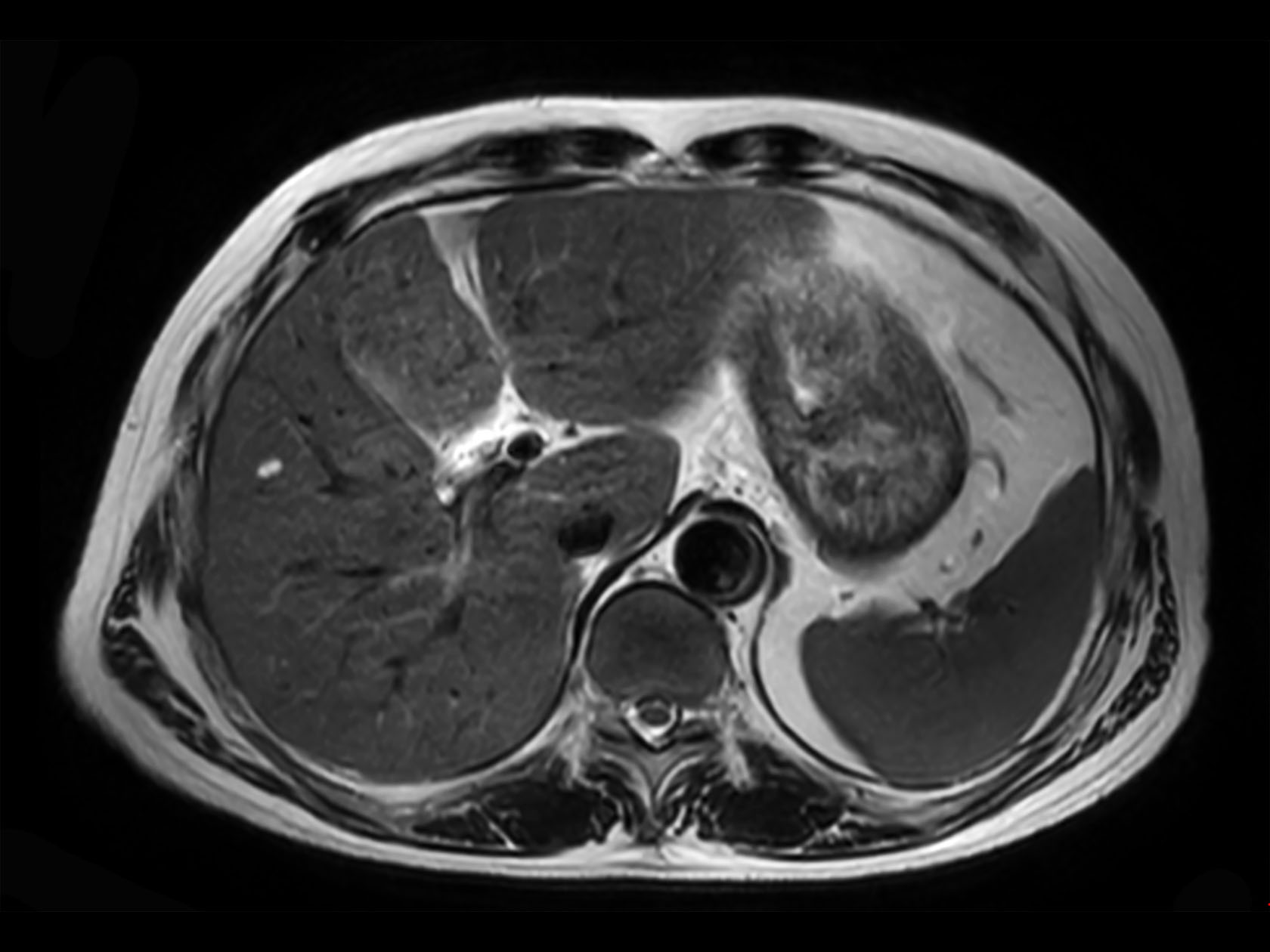
         Axial T2w TSE (breath hold)
- 
      
         Coronal eTHRIVE
- 
      
         Axial eTHRIVE
- 
      
         Axial eTHRIVE (failed breath hold)
- 
      
         Axial 3D VANE XD (Water only)
- 
      
         Axial 3D VANE XD (In Phase)
- 
      
         Axial 3D VANE XD (Out Phase)
- 
      
         Axial 3D VANE XD (Fat only)
- 
      
         DWIBS (MIP)
Previous
    Next         
    
    Close
    
    
        
        Resolution
ScantimeObjective
    
     
             
    
        
            *Results from case studies are not predictive of results in other cases. Results in other cases may vary.