Go back
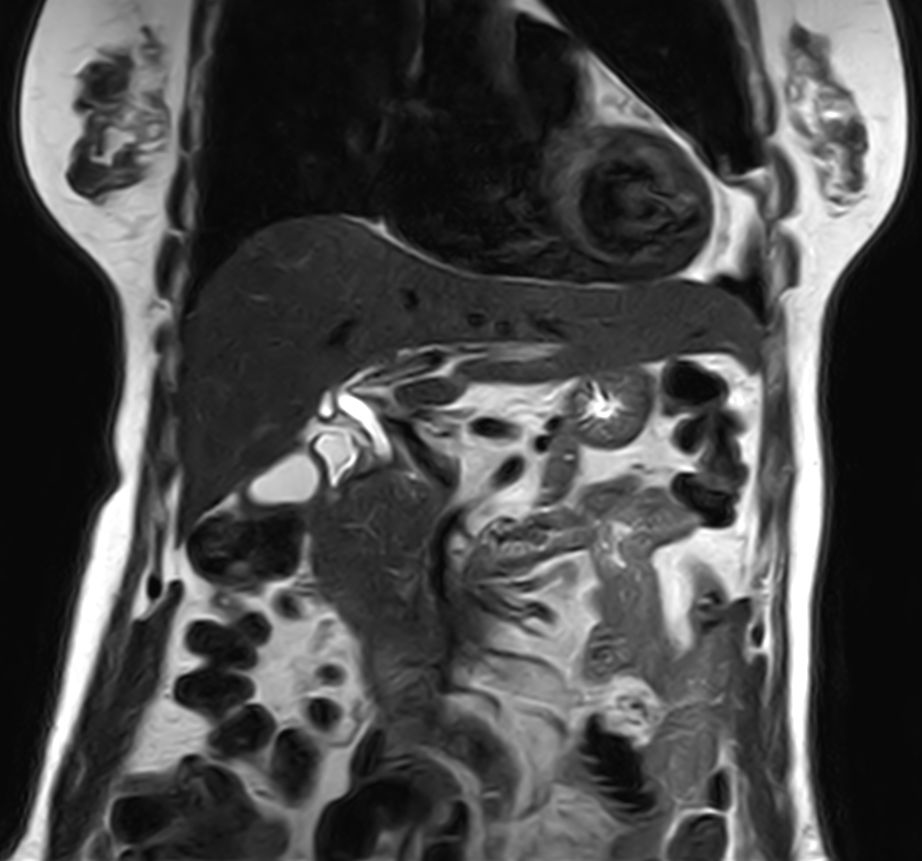
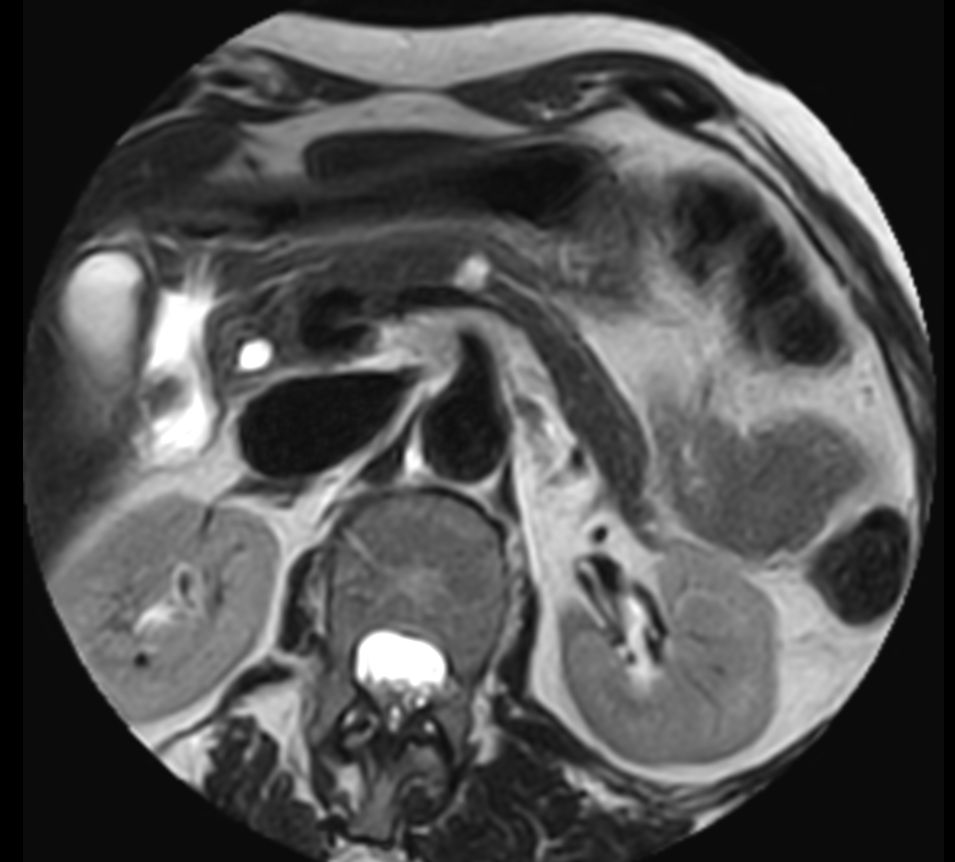
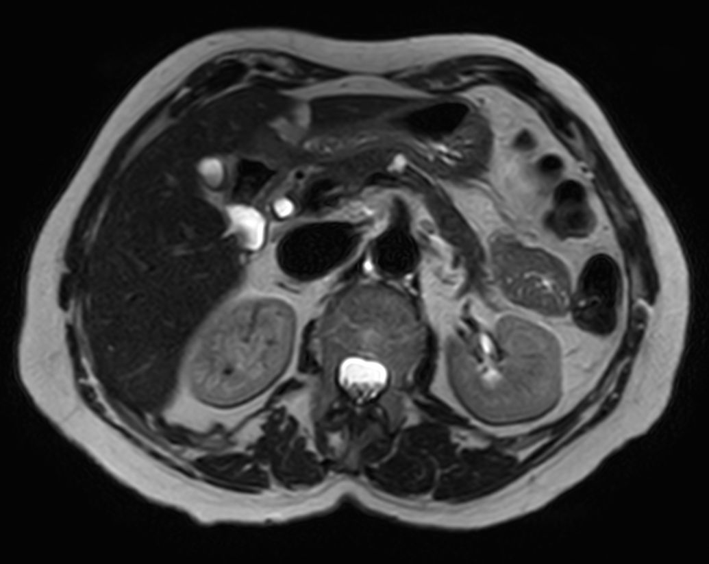
        Pancreas nodule – Free breathing
        
            Centre Hospitalier de Université, Lyon-Sud, France        
     
            
            
                
Patient information
                Patient with a pancreas nodule. ExamCard includes Compressed SENSE to shorten the breath hold time, VitalEye for touchless respiratory sensing, MultiVane XD to acquire motion-free diagnostic images and 4D FreeBreathing to perform multi-phase contrast-enhanced Liver MRI studies.            
        
    
    
    
        Gallery
        
    
        - 
      
         T2w SPAIR - Breath hold
- 
      
         T2w TSE MultiVane XD - Free Breathing (VitalEye)
- 
      
         T2w TSE - Breath hold Compressed SENSE
- 
      
         3D MRCP - Breath hold (MIP) Compressed SENSE
                    
             
- 
      
         4D Free Breathing
                    
             
Previous
    Next         
    
    Close
    
    
        
        Resolution
ScantimeObjective
    
     
             
    
        
            *Results from case studies are not predictive of results in other cases. Results in other cases may vary.