Go back
        Helium-free MR operations: 
Comprehensive shoulder on BlueSeal magnet
        
            Spital Uster, Switzerland        
     
    
    
    
        Gallery
        
    
        - 
      
         Axial PDw TSE
- 
      
         Axial T1w TSE
- 
      
         Coronal PDw TSE
- 
      
         Coronal T1w TSE
- 
      
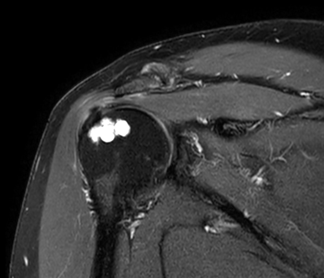
         Coronal T1w SPIR
- 
      
         Coronal T2w SPAIR
- 
      
         Coronal STIR TSE
- 
      
         Sagittal T2w TSE
- 
      
         Sagittal T1w TSE
Previous
    Next         
    
    Close
    
    
        
        Resolution
ScantimeObjective
    
     
             
    
        
            *Results from case studies are not predictive of results in other cases. Results in other cases may vary.