Go back
Orbit imaging with mDIXON XD
Sound Radiology, Adelaide, Australia
Gallery
-
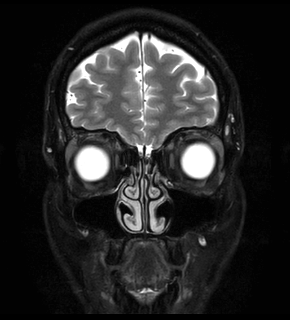
T2w TSE - MultiVane XD
-
T1w TSE
-
DWI (b1000)
-
T2w TSE - mDIXON XD (In Phase)
-
T2w TSE - mDIXON XD (Water only)
-
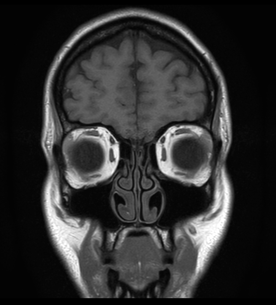
T1w TSE
-
T1w TSE - mDIXON XD (In Phase)
-
T1w TSE - mDIXON XD (Water only)
-
T2w TSE - mDIXON XD (In Phase)
-
T2w TSE - mDIXON XD (Water only)
Previous
Next
Close
Resolution
ScantimeObjective
*Results from case studies are not predictive of results in other cases. Results in other cases may vary.