Go back
        FLAIR* protocol for Multiple Sclerosis
        
            ULB Erasme Hospital, Brussels, Belgium        
     
            
            
                
Patient information
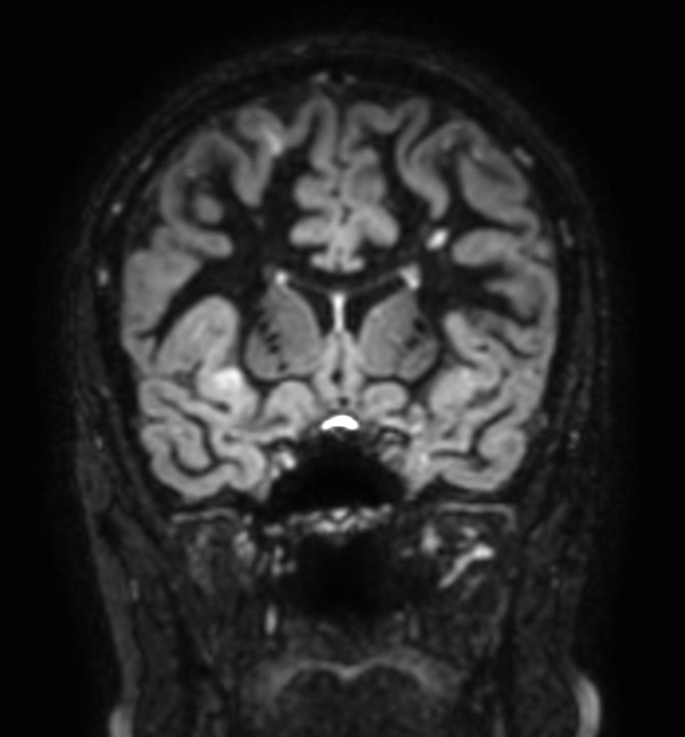
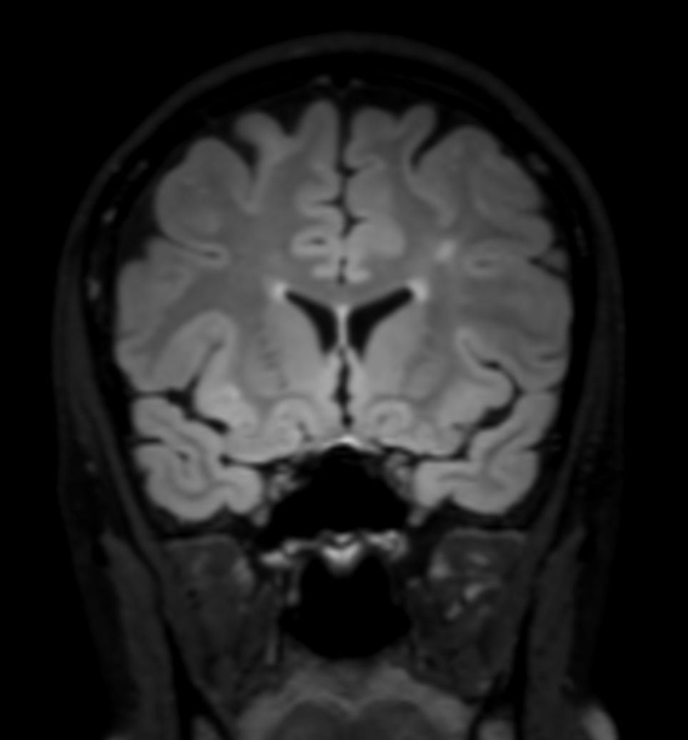
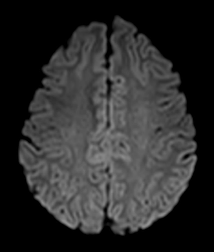
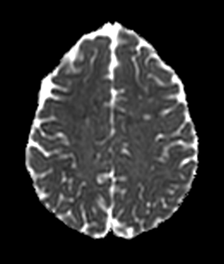
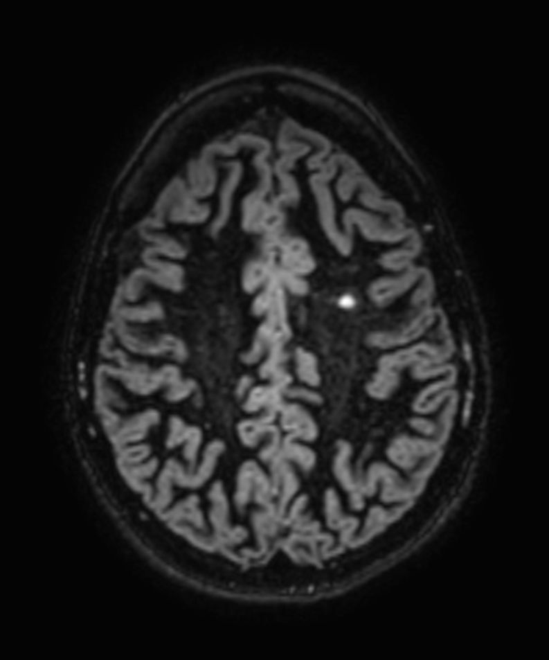
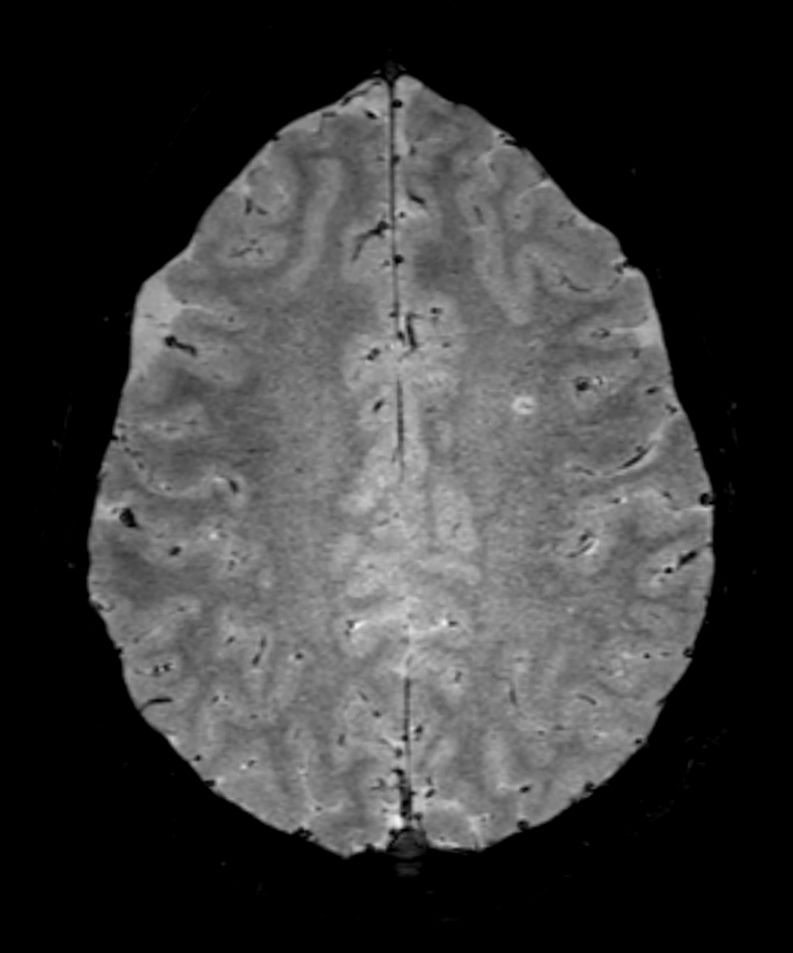
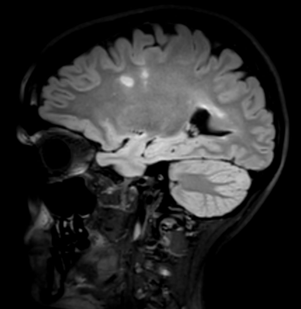
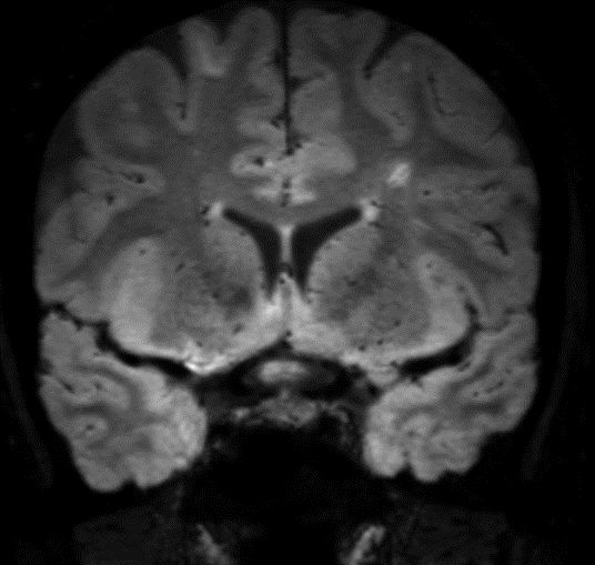
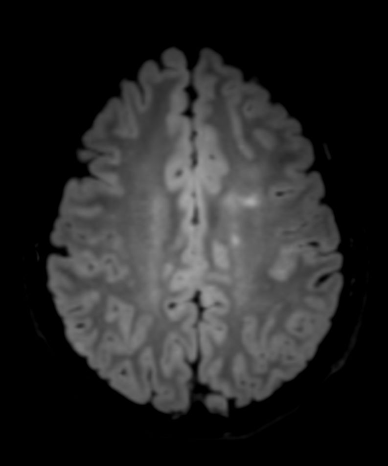
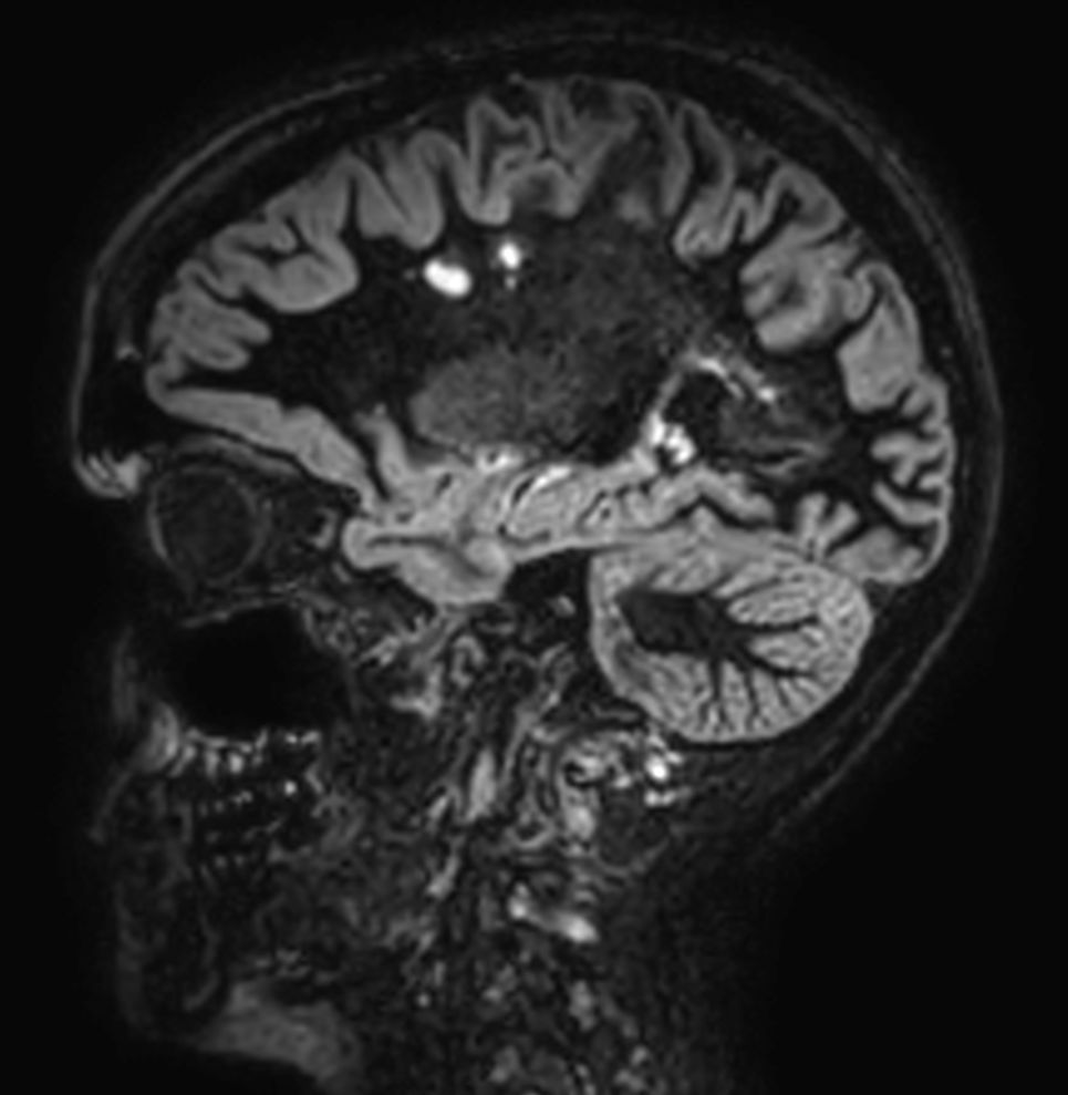
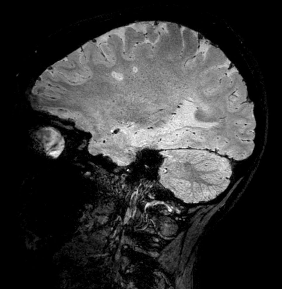
                SWI sequence has a high sensitivity to enhance contrast for deoxygenated (venous) blood or calcium deposits. This may help, when used in combination with other clinical information, in the diagnosis of various neurological pathologies. 3D imaging lets you acquire high resolution data in multiple directions in one scan. Isotropic voxel size enables reformats in any plane without loss of resolution. FLAIR* requires offline post processing combining the contrast of 3D FLAIR and 3D SWI EPI into a single image. This enables the visualization of Central Vein Sign, mapping subcortical veins onto 3D FLAIR contrast images.            
        
    
    
    
        Gallery
                
    
    Close
    
    
        
        Resolution
ScantimeObjective
    
     
             
    
        
            *Results from case studies are not predictive of results in other cases. Results in other cases may vary.