Go back
        Contrast-free renal imaging
        
            Nepean Blue Mountains Hospital, Australia        
     
            
            
                
Patient information
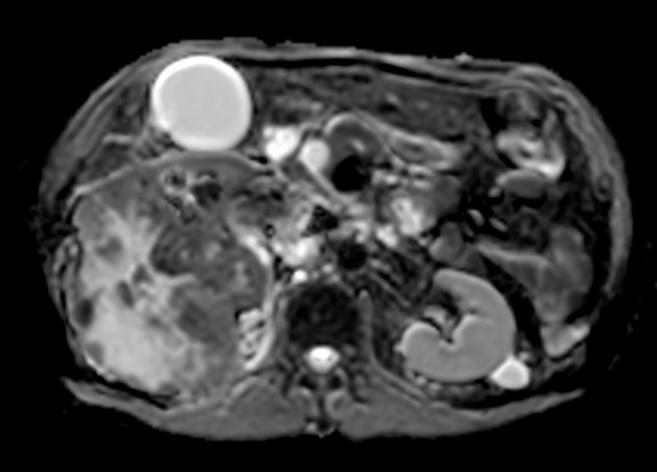
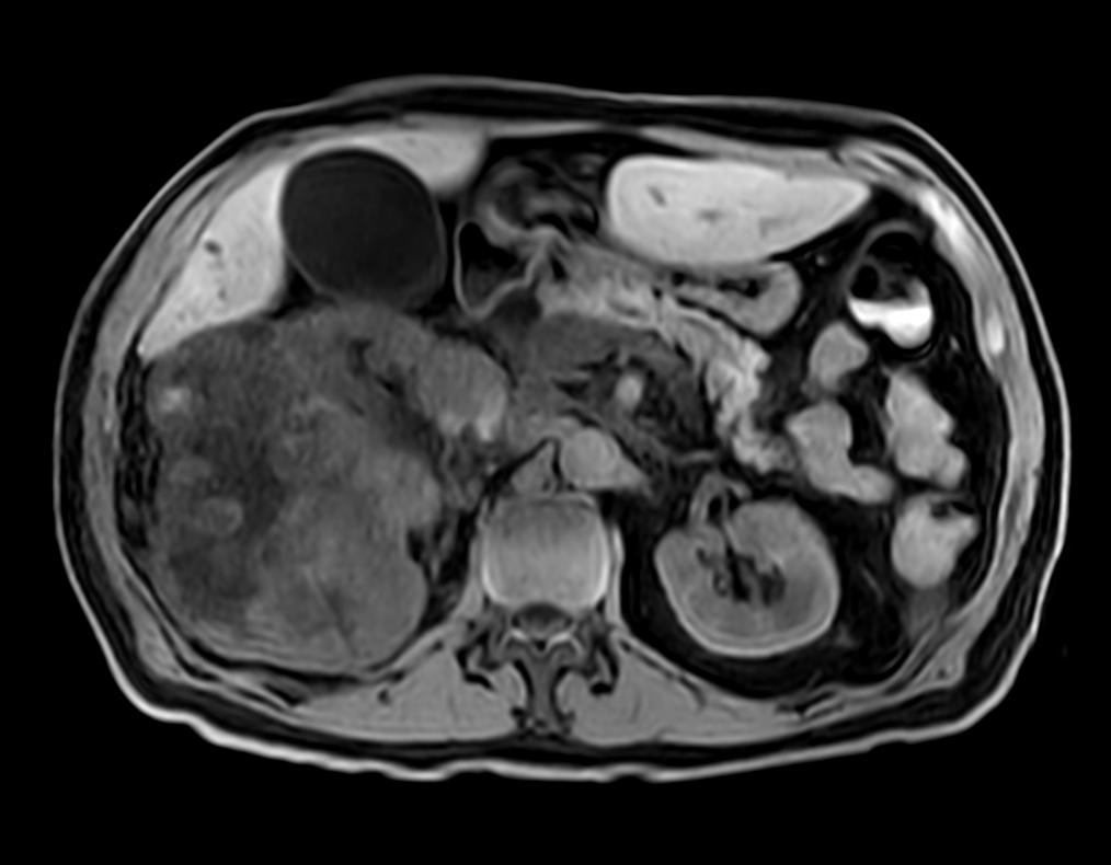
                Patient with kidney tumor. ExamCard includes Compressed SENSE to shorten the breath hold time, VitalEye for touchless respiratory sensing, mDIXON XD FFE to acquire up to four image types in one single scan, DWIBS to achieve high contrast between background and lesions and bTRANCE for non-contrast time-resolved imaging.            
        
    
    
    
        Gallery
        
    
        - 
      
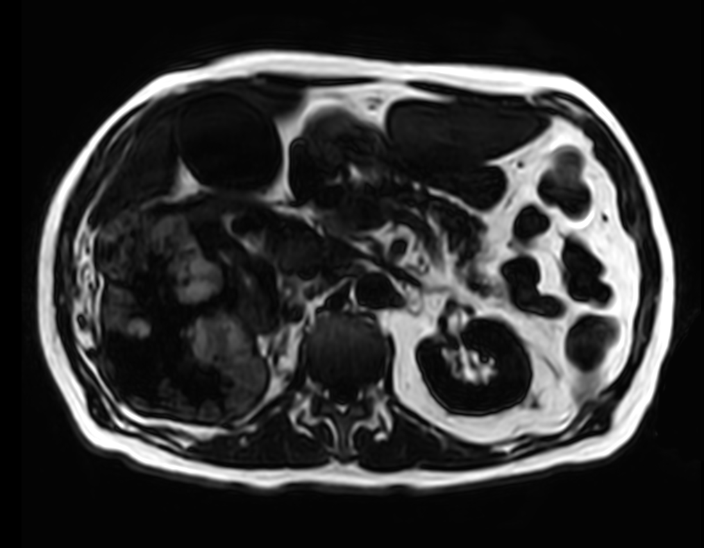
         bTFE - VitalEye Compressed SENSE
- 
      
         T2w SPAIR - VitalEye Compressed SENSE
- 
      
         bTFE - VitalEye Compressed SENSE
- 
      
         T2w SPAIR - VitalEye Compressed SENSE
- 
      
         T2w TSE - VitalEye Compressed SENSE
- 
      
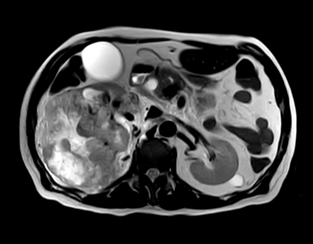
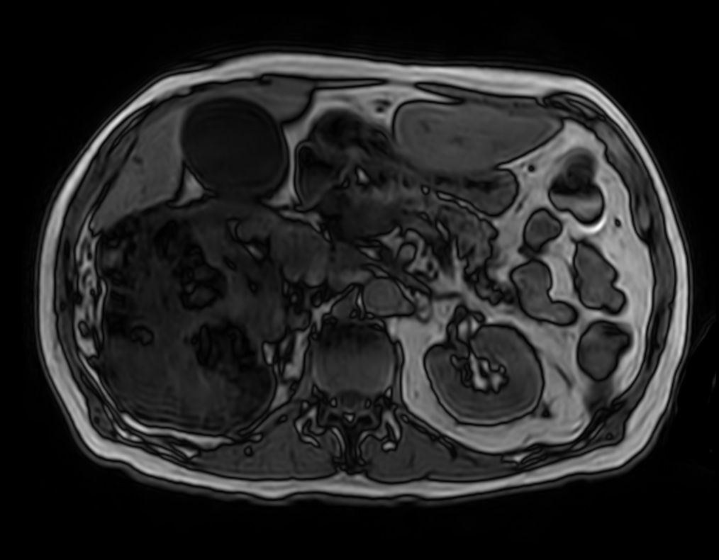
         T1w FFE mDIXON XD (In Phase) Compressed SENSE
- 
      
         T1w FFE mDIXON XD (Out Phase) Compressed SENSE
- 
      
         T1w FFE mDIXON XD (Water only) Compressed SENSE
- 
      
         T1w FFE mDIXON XD (Fat only) Compressed SENSE
- 
      
         DWI (b50)
- 
      
         DWI (b400)
- 
      
         DWI (b800)
- 
      
         DWI (ADC)
- 
      
         DWIBS
                    
             
- 
      
         3D CE-MRA Compressed SENSE
                    
             
- 
      
         3D Non CE-MRA
                    
             
- 
      
         3D Non CE bTRANCE - VitalEye Compressed SENSE
                    
             
Previous
    Next         
    
    Close
    
    
        
        Resolution
ScantimeObjective
    
     
             
    
        
            *Results from case studies are not predictive of results in other cases. Results in other cases may vary.