Go back
        Subtraction-less mDIXON MRA
        
            Technical University Munich, Germany        
     
            
            
                
Patient information
                Patient with a known stent in the abdominal veins. Subtraction-less mDIXON MRA run-off is performed using a combination of Compressed SENSE and enhanced gradient strength to increase both in-plane and through-plane spatial resolution. The station covering the feet has been rescanned with a Compressed SENSE factor of 14, resulting in a time resolved scan with a dynamic time of only 4 seconds.            
        
    
    
    
        Gallery
        
    
        - 
      
         mDIXON MRA (MIP) - Abdomen
- 
      
         mDIXON MRA (MIP) - Upper leg
- 
      
         mDIXON MRA (MIP) - Lower leg
- 
      
         mDIXON MRA (MIP) - Feet
- 
      
         mDIXON MRA (MIP)
- 
      
         4D mDIXON MRA (MIP) - Feet
                    
             
- 
      
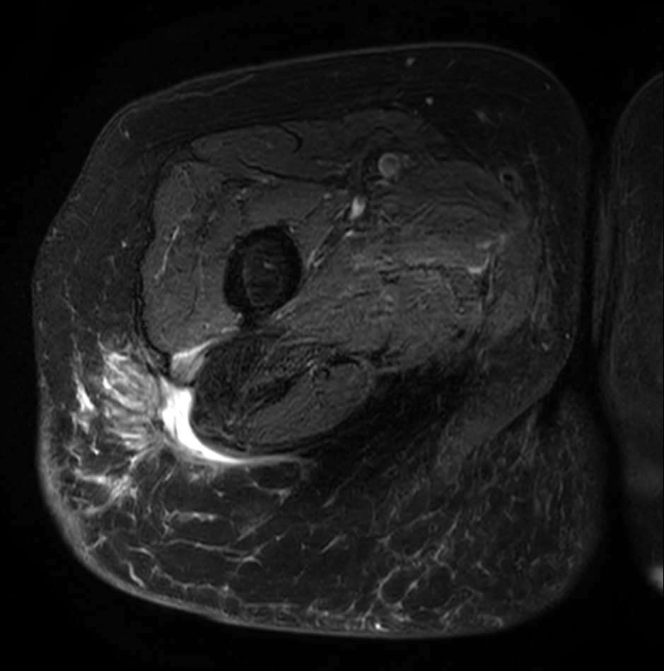
         Axial T2w mDIXON XD TSE (Water only)
- 
      
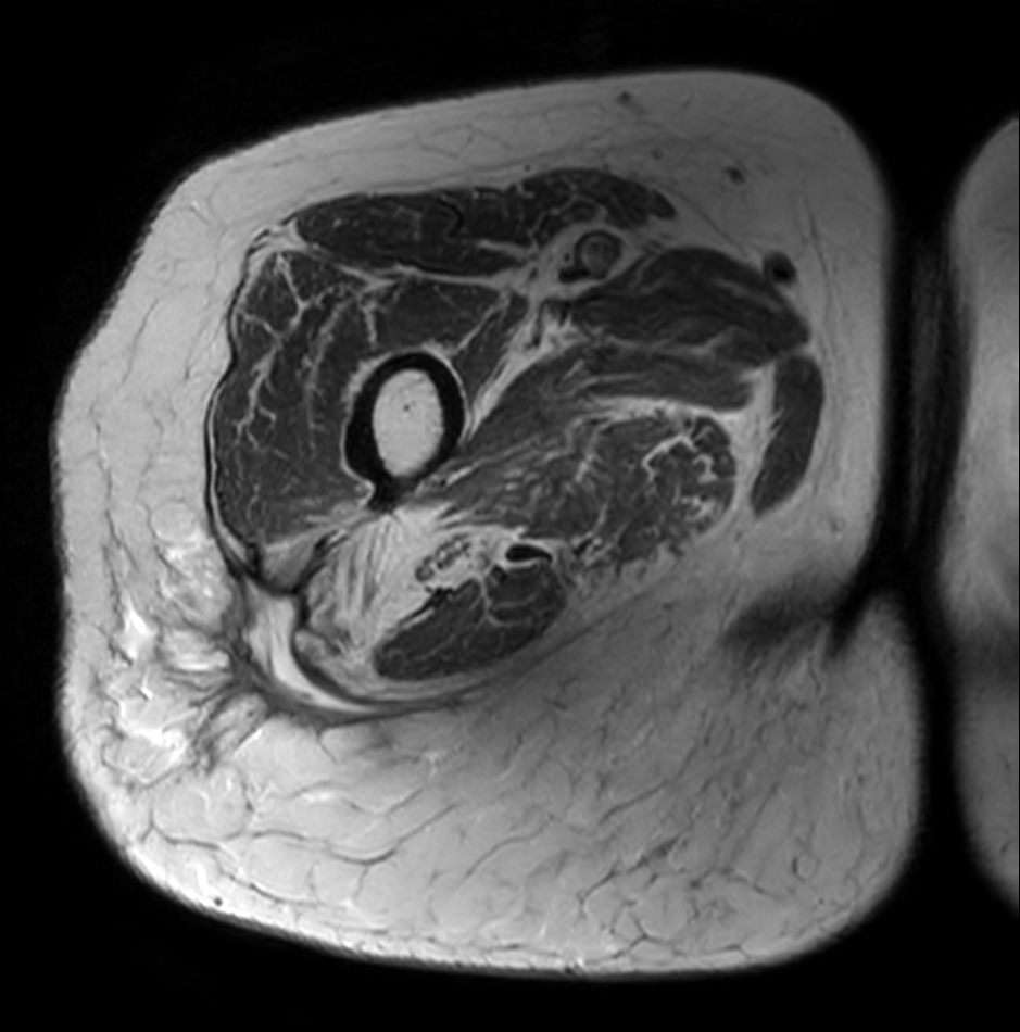
         Axial T2w mDIXON XD TSE (In Phase)
- 
      
         Coronal STIR
- 
      
         Coronal T1w TSE
- 
      
         Axial T1w SPIR +gado
- 
      
         Coronal T1w TSE +gado
Previous
    Next         
    
    Close
    
    
        
        Resolution
ScantimeObjective
    
     
             
    
        
            *Results from case studies are not predictive of results in other cases. Results in other cases may vary.
 1Compared to scans without Compressed SENSE
Results from case studies are not predictive of results in other cases. Results in other cases may vary.