Go back
        Total Torso imaging - High dS SENSE acceleration
        
            Radiologie Pruner Gang,  Kiel, Germany        
     
    
    
    
        Gallery
        
    
        - 
      
         Coronal T2w TSE dS SENSE = 5, FOV 480 mm
- 
      
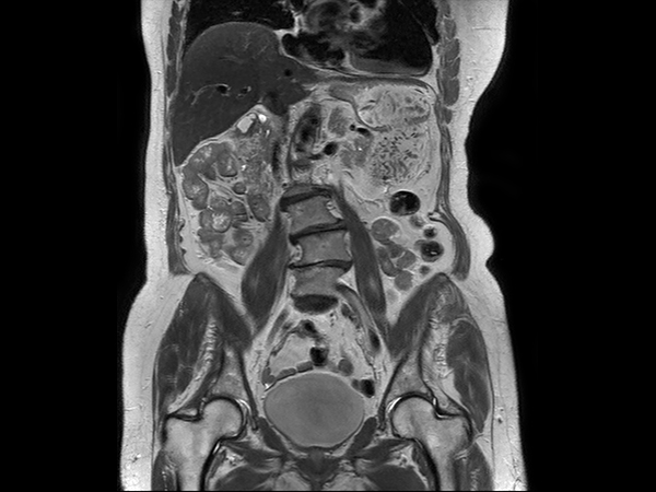
         Coronal T2w TSE dS SENSE = 5, MobiView
- 
      
         Coronal T2w SPAIR dS SENSE = 5, MobiView
- 
      
         Coronal DWIBS (MIP) dS SENSE = 4, MobiView
- 
      
         Axial T2w SPAIR dS SENSE = 4.5, MobiView
- 
      
         Axial mDIXON – Water (pre-gado) dS SENSE = 6.75, MobiView
- 
      
         Axial dynamic mDIXON - Water dS SENSE = 7.5
- 
      
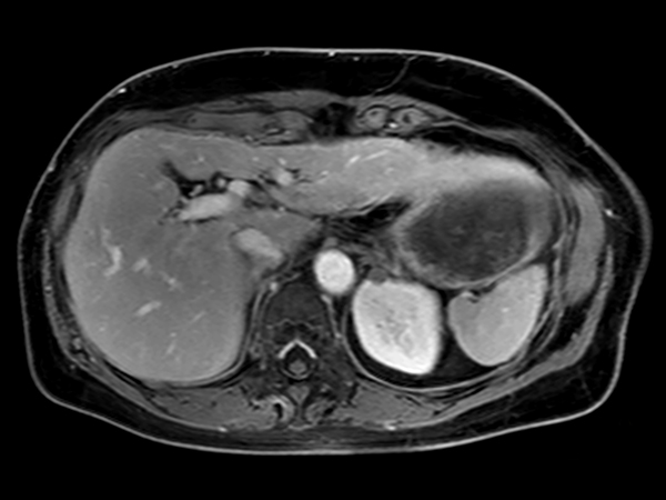
         Axial mDIXON – Water (post-gado) dS SENSE = 5.6, MobiView
- 
      
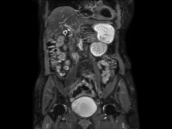
         Coronal mDIXON – Water (post-gado) dS SENSE = 6.75
Previous
    Next         
    
    Close
    
    
        
        Resolution
ScantimeObjective
    
     
             
    
        
            *Results from case studies are not predictive of results in other cases. Results in other cases may vary.