Go back

Imaging with the dS 16ch FootAnkle coil

General Hospital Sint Blasius, Dendermonde, Belgium

Patient information

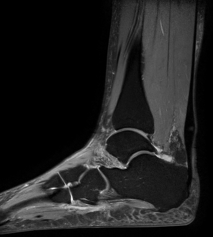
Patient who was referred for imaging of the achilles tendon

Used Solution

  • System

  • Coil

  • Clinical Application

*Results from case studies are not predictive of results in other cases. Results in other cases may vary.