Go back
        Knee exam with/without Compressed SENSE
        
            University of Vermont Medical Center, Burlington, USA        
     
            
            
                
Patient information
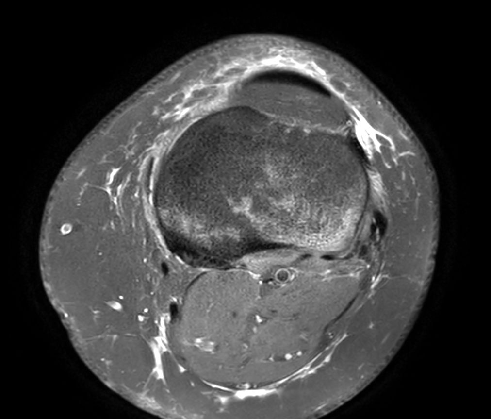
                Compressed SENSE is used in 2D sequences to reduce the overall examination time without losing image quality, compared to Philips scans without Compressed SENSE.
Comparisons are included of all sequences showing virtually no compromise in image quality when using Compressed SENSE to shorten the scan time of 2D Knee sequences.            
        
    
    
    
        Gallery
        
    
        - 
      
         Sagittal PDw aTSENo Compressed SENSE
- 
      
         Sagittal PDw aTSECompressed SENSE
- 
      
         Sagittal T2w SPAIRNo Compressed SENSE
- 
      
         Sagittal T2w SPAIRCompressed SENSE
- 
      
         Coronal PDw aTSENo Compressed SENSE
- 
      
         Coronal PDw aTSECompressed SENSE
- 
      
         Coronal PDw SPAIRNo Compressed SENSE
- 
      
         Coronal PDw SPAIRCompressed SENSE
- 
      
         Axial T1w TSENo Compressed SENSE
- 
      
         Axial T1w TSECompressed SENSE
- 
      
         Axial PDw SPAIRNo Compressed SENSE
- 
      
         Axial PDw SPAIRCompressed SENSE
Previous
    Next         
    
    Close
    
    
        
        Resolution
ScantimeObjective
    
     
             
    
        
            *Results from case studies are not predictive of results in other cases. Results in other cases may vary.
 1Compared to scans without Compressed SENSE
Results from case studies are not predictive of results in other cases. Results in other cases may vary.