Go back
        Finger with giant cell tumor
        
            Technical University Munich,  Germany        
     
            
            
                
Patient information
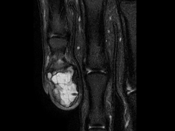
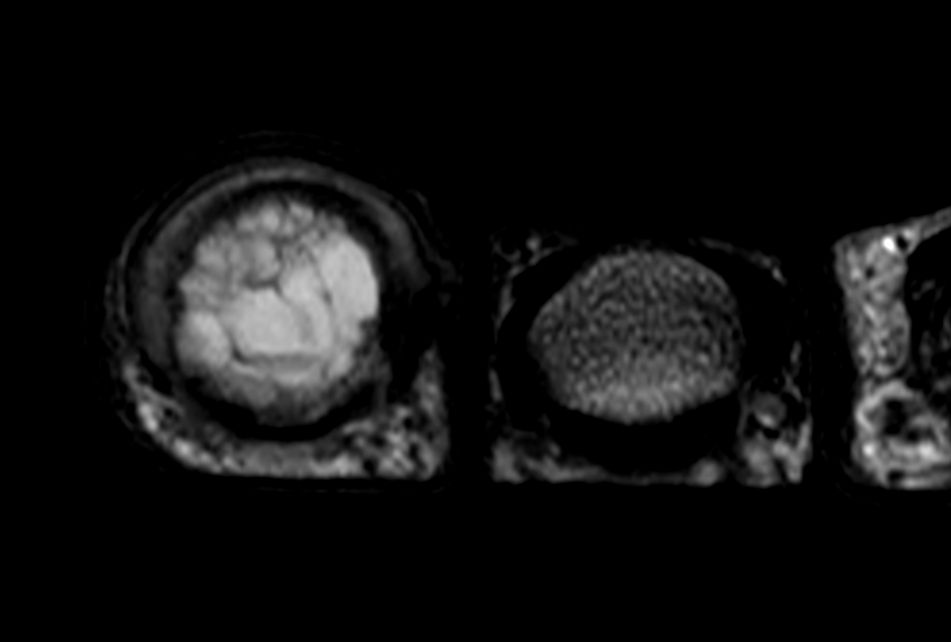
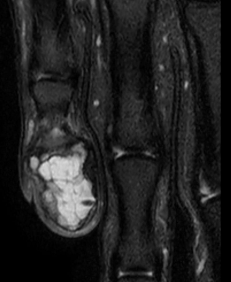
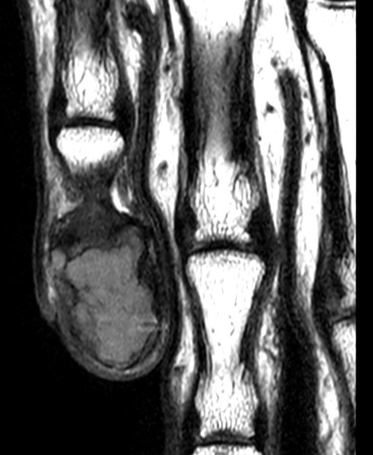
                Patient with giant cell tumor in his finger. ExamCard includes Compressed SENSE to shorten exam time and 4D-TRAK XD for fast, dynamic contrast-enhanced MR Angiography with high spatial and temporal resolution simultaneously.            
        
    
    
    
        Gallery
        
    
        - 
      
         PDw TSE FatSat Compressed SENSE
- 
      
         T1w TSE
- 
      
         T2w TSE Compressed SENSE
- 
      
         4D-TRAK XD Compressed SENSE
                    
             
- 
      
         T1w TSE +gado Compressed SENSE
- 
      
         T1w TSE FatSat +gado Compressed SENSE
Previous
    Next         
    
    Close
    
    
        
        Resolution
ScantimeObjective
    
     
             
    
        
            *Results from case studies are not predictive of results in other cases. Results in other cases may vary.