Go back
        HeadNeck soft tissue lesion
        
            Meander Medical Center, Amersfoort, The Netherlands        
     
            
            
                
Patient information
                Patient with a soft tissue lesion in the HeadNeck region.            
        
    
    
    
        Gallery
        
    
        - 
      
         Coronal T1w TSE
- 
      
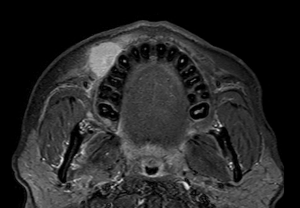
         Axial T1w TSE
- 
      
         Axial STIR TSE
- 
      
         Coronal T2w TSE FatSat
- 
      
         DWI TSE (b1000)
- 
      
         DWI TSE (ADC)
- 
      
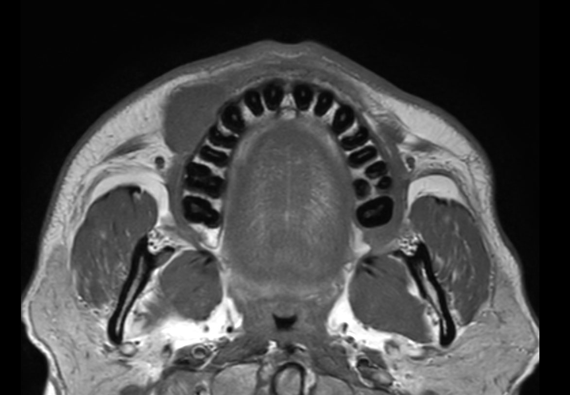
         Axial eTHRIVE (blanco)
- 
      
         Axial eTHRIVE (1st dynamic)
- 
      
         Axial dynamic eTHRIVE
                    
             
- 
      
         Axial eTHRIVE (area under the curve)
- 
      
         Axial eTHRIVE (max enhancement)
- 
      
         Axial eTHRIVE (wash-in)
- 
      
         Coronal T1w TSE FatSat (post gado)
- 
      
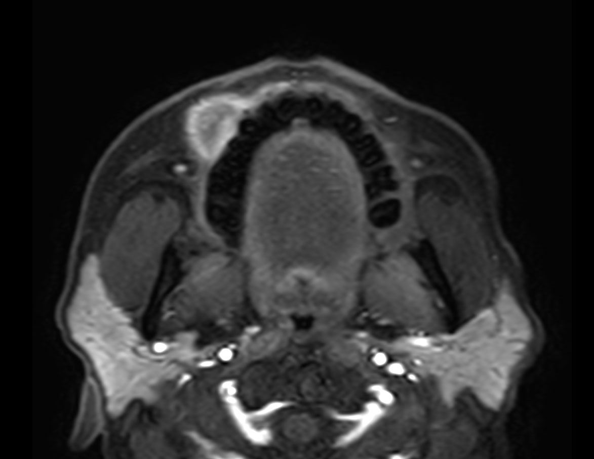
         Axial T1w TSE FatSat (post gado)
- 
      
         Sagittal T2w TSE FatSat
                    
             
Previous
    Next         
    
    Close
    
    
        
        Resolution
ScantimeObjective
    
     
             
    
        
            *Results from case studies are not predictive of results in other cases. Results in other cases may vary.