- 
      
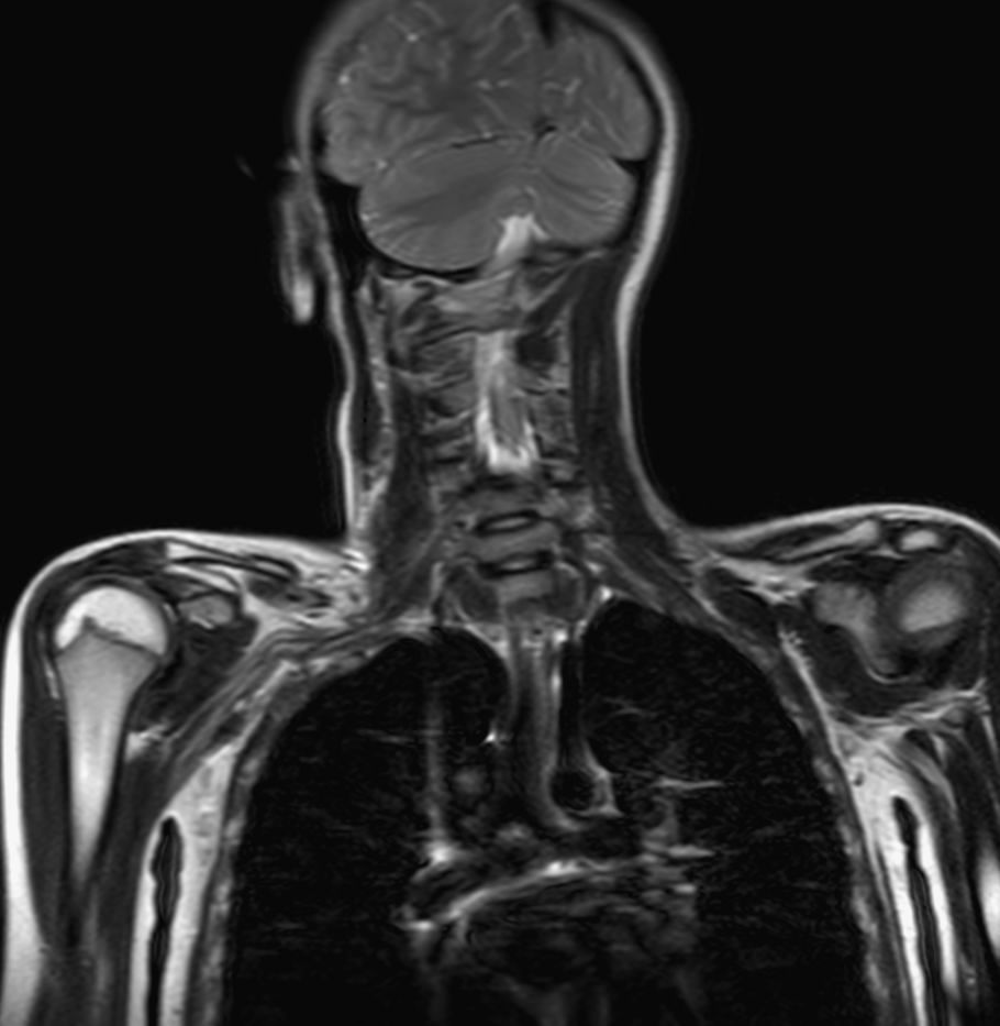
         Coronal SSh T2w TSE (upper station)
- 
      
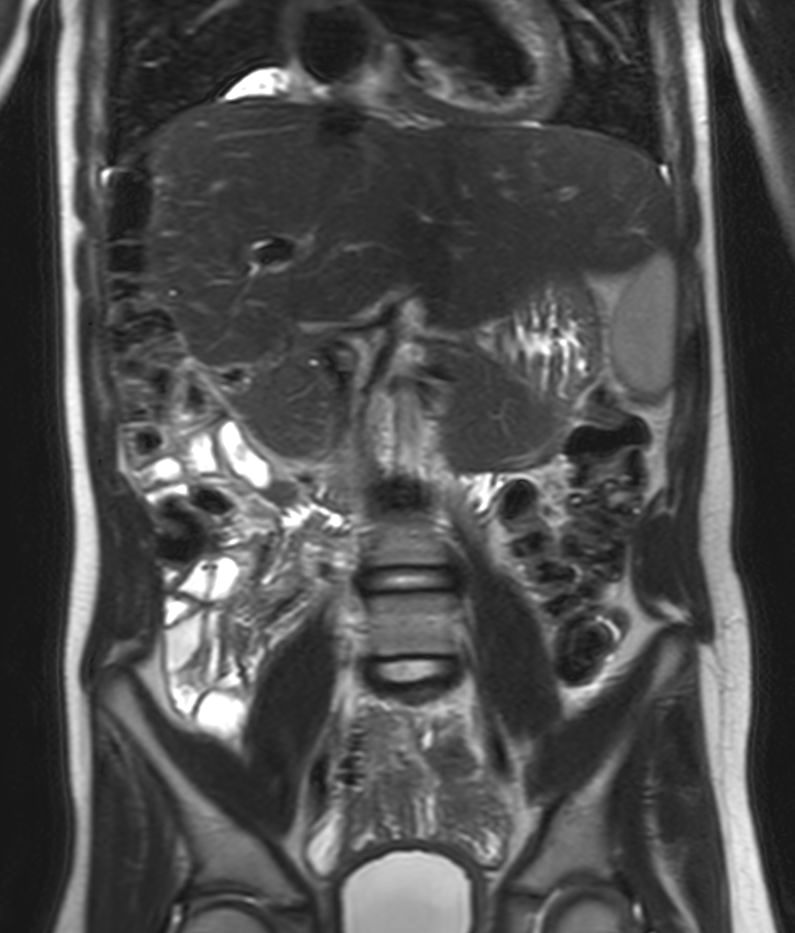
         Coronal SSh T2w TSE (middle station)
- 
      
         Coronal SSh T2w TSE (lower station)
- 
      
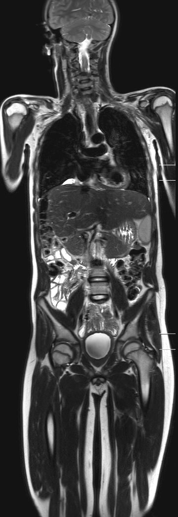
         Coronal SSh T2w TSE (MobiView)
- 
      
         Axial T2w TSE MultiVane XD (upper station)
                    
             
- 
      
         Axial T2w TSE MultiVane XD (lower station)
                    
             
- 
      
         Axial Free Breathing T1w FFE 3D VANE XD (Water only) (upper station)
- 
      
         Axial Free Breathing T1w FFE 3D VANE XD (In Phase) (upper station)
- 
      
         Axial Free Breathing T1w FFE 3D VANE XD (Out Phase) (upper station)
- 
      
         Axial Free Breathing T1w FFE 3D VANE XD (Water only) (lower station)
- 
      
         Axial Free Breathing T1w FFE 3D VANE XD (In Phase) (lower station)
- 
      
         Axial Free Breathing T1w FFE 3D VANE XD (Out Phase) (lower station)
- 
      
         Axial Free Breathing 3D T1w FFE mDIXON XD (Water only) (pre-gado)
- 
      
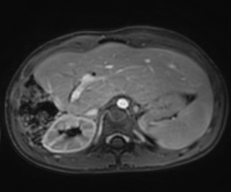
         Dynamic Free Breathing 3D T1w FFE mDIXON XD (Water only) (post-gado, early phase)
- 
      
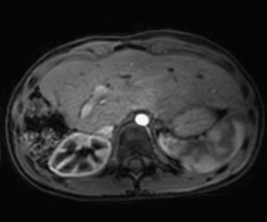
         Dynamic Free Breathing 3D T1w FFE mDIXON XD (Water only) (post-gado, late phase)
- 
      
         Axial Free Breathing 3D T1w FFE mDIXON XD (Water only) (post-gado) (upper station)
                    
             
- 
      
         Axial Free Breathing 3D T1w FFE mDIXON XD (Water only) (post-gado) (lower station)
                    
             
- 
      
         Coronal Free Breathing 3D T1w FFE mDIXON XD (Water only) (post-gado) (MobiView)
                    
             
- 
      
         Coronal DWIBS (MIP) (MobiVIEW)