Go back
        Pediatric pelvis with fistula
        
            Academic Medical Center, Amsterdam, The Netherlands        
     
            
            
                
Patient information
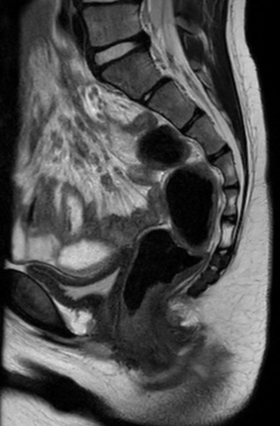
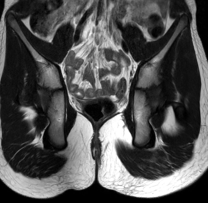
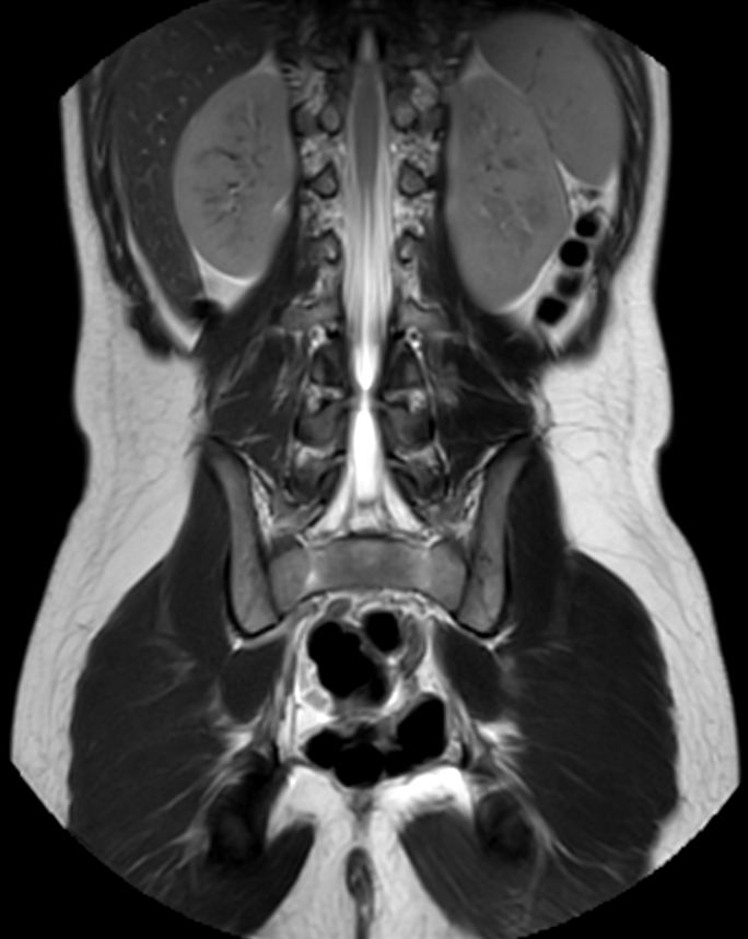
                8 years old pediatric patient with a fistula in the pelvis. MultiVane XD is used to achieve high resolution diagnostic images, even in the case of severe patient motion. Integration of Compressed SENSE acceleration technique enables speeding up of the entire exam.            
        
    
    
    
        Gallery
        
    
        - 
      
         Axial T2w TSE Compressed SENSE
- 
      
         Axial T2w FatSatCompressed SENSE
- 
      
         Coronal T2w TSECompressed SENSE
- 
      
         Coronal T2w TSE MultiVane XD
- 
      
         Sagittal T2w TSE
- 
      
         Axial T1w FatSat +gadoCompressed SENSE
Previous
    Next         
    
    Close
    
    
        
        Resolution
ScantimeObjective
    
     
             
    
        
            *Results from case studies are not predictive of results in other cases. Results in other cases may vary.