Go back
        3D imaging with susceptibility contrast
        
            Phoenix Childrens Hospital, USA        
     
    
    
    
        Gallery
        
    
        - 
      
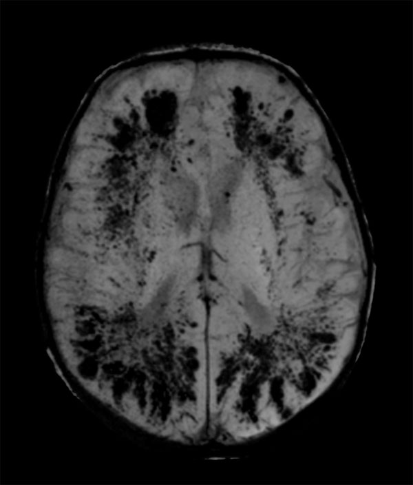
         Standard SWI
- 
      
         SWIp
- 
      
         Axial SWIp
                    
             
- 
      
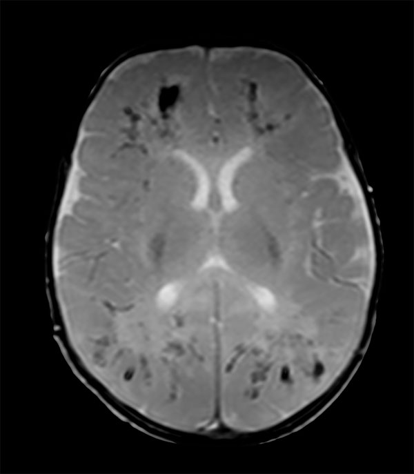
         Axial 2D T2* FFE
- 
      
         Axial 3D SWIp
- 
      
         Axial SWIp (phase)
- 
      
         Axial SWIp (phase)
Previous
    Next         
    
    Close
    
    
        
        Resolution
ScantimeObjective
    
     
             
    
        
            *Results from case studies are not predictive of results in other cases. Results in other cases may vary.