Go back
        Routine Elbow
        
            Auckland Radiology Group, New Zealand        
     
            
            
                
Patient information
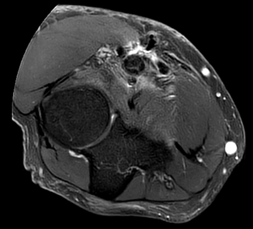
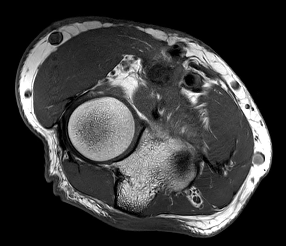
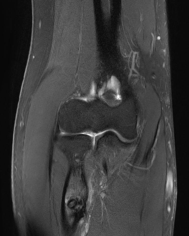
                Routine imaging of the Elbow with the dS Small Extremity 8ch coil. MultiVane XD is used to deliver high resolution diagnostic images even in the case of patient motion. Compressed is used to speed up the entire exam with virtually equal image quality1.            
        
    
    
    
        Gallery
        
    
        - 
      
         PDw TSE FatSat Compressed SENSE
- 
      
         T1w TSE Compressed SENSE
- 
      
         PDw TSE FatSat Compressed SENSE
- 
      
         T1w TSE Compressed SENSE
- 
      
         T2w TSE MultiVane XD FatSat
- 
      
         T1w TSE Compressed SENSE
Previous
    Next         
    
    Close
    
    
        
        Resolution
ScantimeObjective
    
     
             
    
        
            *Results from case studies are not predictive of results in other cases. Results in other cases may vary.
1 Compared to scans without Philips Compressed SENSE.