Go back
        Fetal Cardiac with smart-sync
        
            Northh Medical, Hamburg, Germany        
     
            
            
                
Patient information
                Pregnant patient, referred to MRI for fetal cardiac imaging. Smart-sync device is used to send a gating signal to the scanner, allowing for the synchronization of MR data acquisition with the fetal heartbeat, resulting in fetal cardiac MR images of diagnostic quality. Standard cardiac sequences can be used such that acquired images instantly appear on the screen, allowing for immediate evaluation of slice positioning and quality – an important feature that allows for adjustments should the fetus change position.            
        
    
    
    
        Gallery
        
    
        - 
      
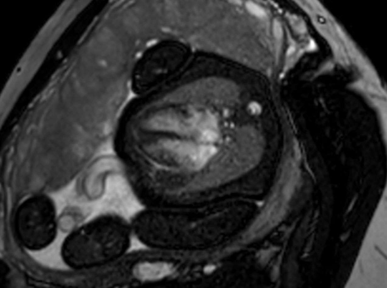
         Morphology - bFFE short axis
- 
      
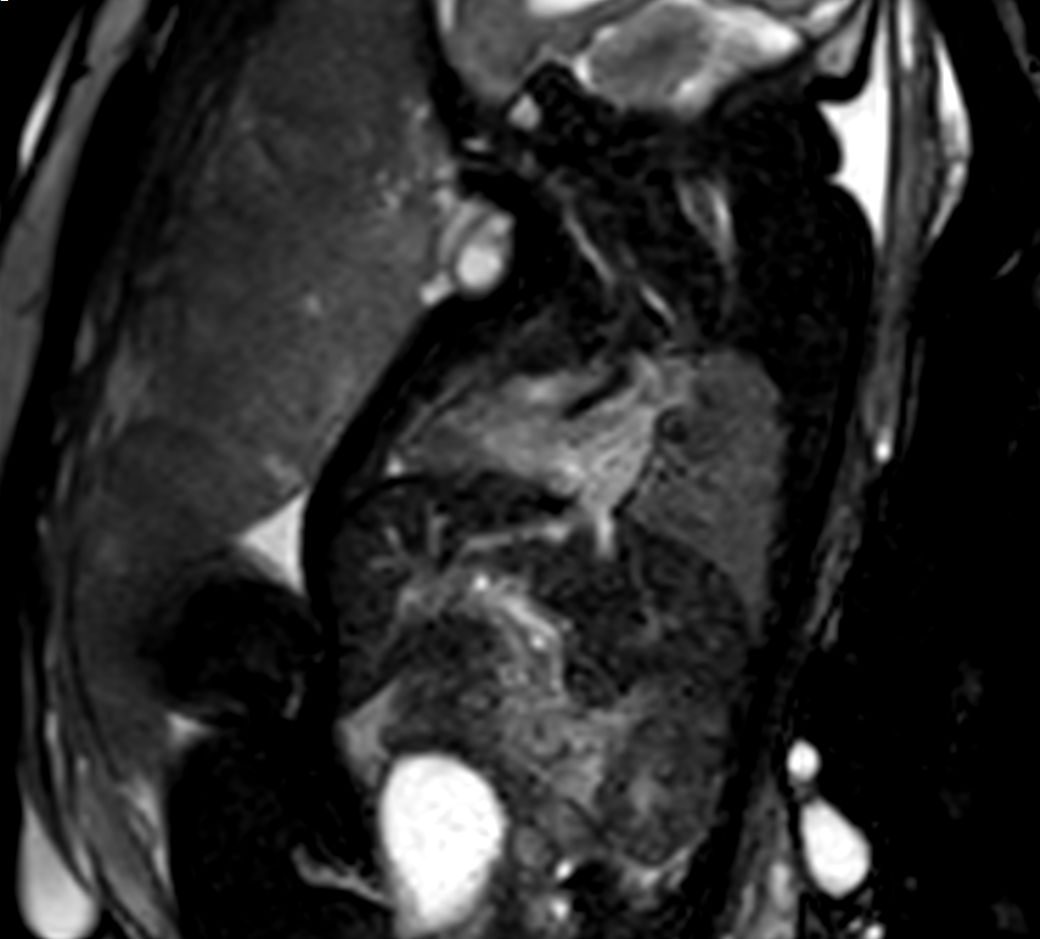
         Morphology - bFFE vertical long axis
- 
      
         Morphology - bFFE 4 chamber
- 
      
         Cine bTFE 4ch
                    
             
- 
      
         Cine bTFE 4ch - High resolution
                    
             
- 
      
         Cine bTFE 4ch
                    
             
- 
      
         Cine bTFE 4ch - High resolution
                    
             
- 
      
         QFlow
                    
             
- 
      
         Qflow analysis
- 
      
         T1 Map
- 
      
         T2 Map
- 
      
         T2* Map
Previous
    Next         
    
    Close
    
    
        
        Resolution
ScantimeObjective
    
     
             
    
        
            *Results from case studies are not predictive of results in other cases. Results in other cases may vary.
Smart-sync is not for sale in USA