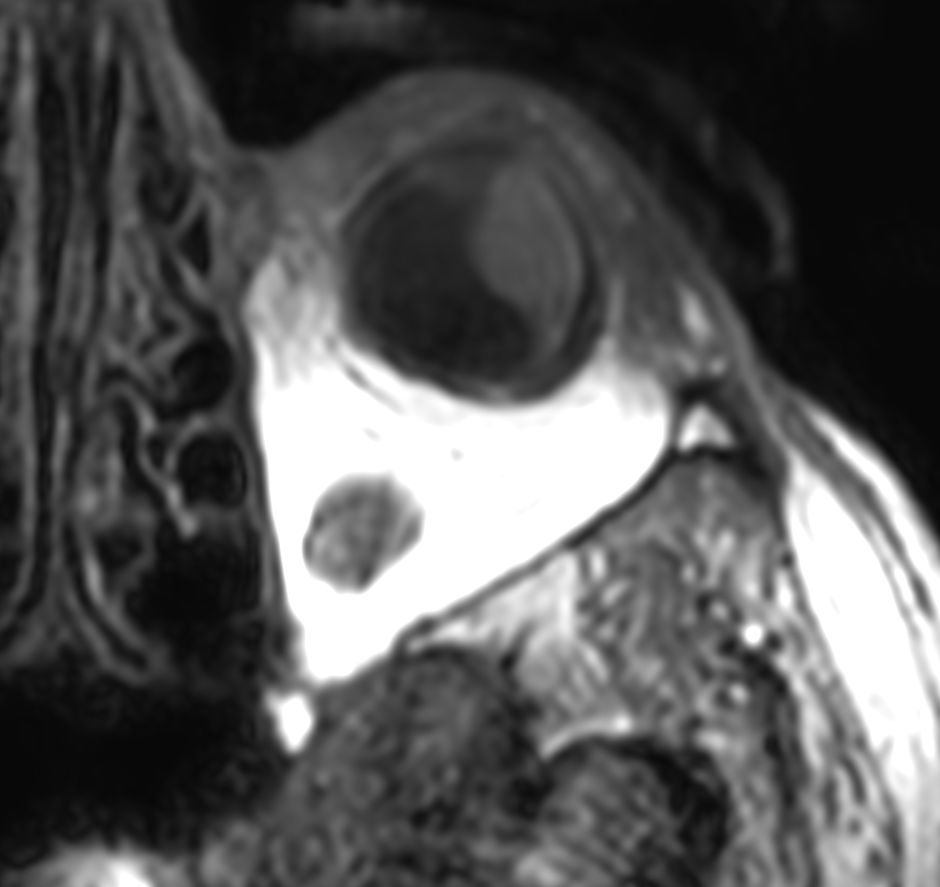
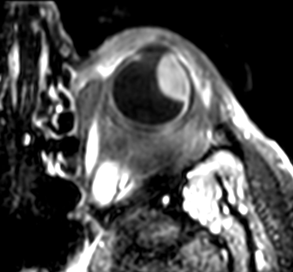
4 different 3D isotropic sequences, T1W with and without fat saturation, T2W and T1W fat saturation post-contrast are used to evaluate the tumor prior to treatment. Isotropic sequences are used to allow for good quality multiplanar reconstruction corresponding to the location of the tumor; as the tumor can be located anywhere in the eye, optimal visualization often requires an assessment of different oblique planes, which is facilitated by the 3D isotropic sequences. The pre-contrast sequences help evaluate the tumor size and location and the post-contrast sequence provides additional information such as identifying tumor that has seeped through the sclera behind the eye and differentiating tumor vs associated retinal detachment.
Higher in-plane resolution 2D sequences are used to better evaluate the tumor and screen for infiltration to the adjacent structures, which can have direct therapeutic consequences.
Perfusion and diffusion scans are used for differential diagnosis. The diffusion sequence can help a radiologist confirm whether a tumor is malignant or not and the perfusion results can show the effects of treatment. Using ultrasound to evaluate the effects of treatment takes longer due to post-treatment inflammation.
 
    Note: Goggles illustrated are not Philips product.
 
     
     
     
     
     
     
     
     
     
     
     
     
     
     
     
     
     
     
     
     
     
    *Results from case studies are not predictive of results in other cases. Results in other cases may vary.
 
             
             
             
             
             
             
             
             
             
             
             
             
             
             
             
             
             
             
             
             
            