Go back
        Brachial plexus tumor
        
            Kurashiki Central Hospital, Okayama, Japan        
     
            
            
                
Patient information
                Patient with a brachial plexus tumor            
        
    
    
    
        Gallery
        
    
        - 
      
         Coronal T1w TSE
- 
      
         Coronal T2w TSE FatSat
- 
      
         Coronal 3D NerveVIEW (MIP)
- 
      
         Axial 3D T1w TFE
- 
      
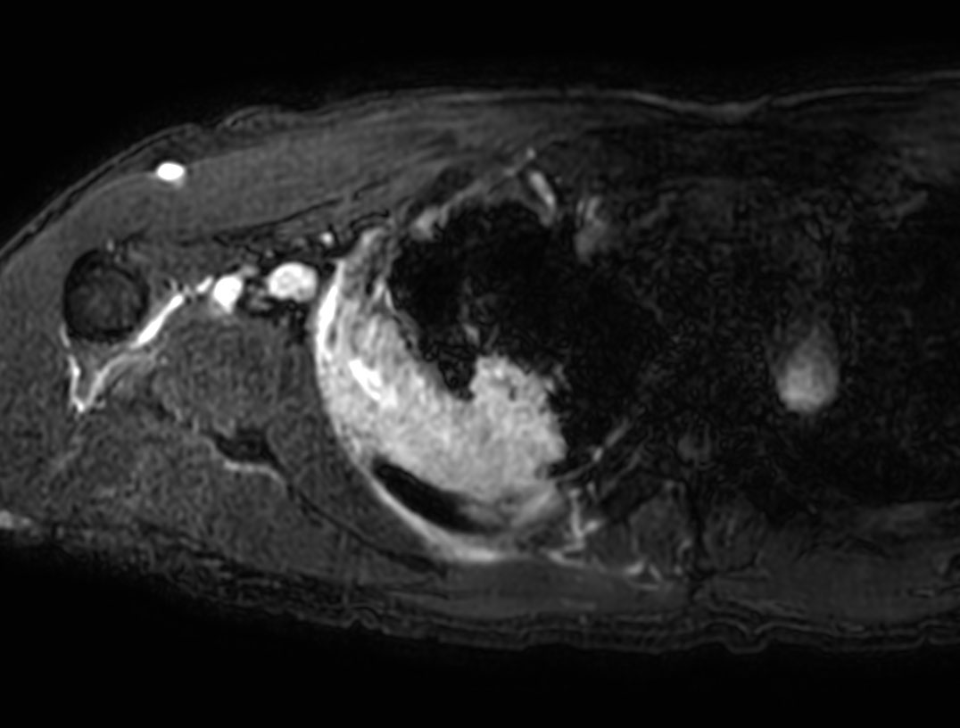
         Axial T2w mDIXON XD TSE (In Phase)
- 
      
         Axial T2w mDIXON XD TSE (Water only)
- 
      
         Axial T1w TSE
- 
      
         Axial DWI (b800)
- 
      
         Axial DWI (ADC)
Previous
    Next         
    
    Close
    
    
        
        Resolution
ScantimeObjective
    
     
             
    
        
            *Results from case studies are not predictive of results in other cases. Results in other cases may vary.