Go back
        Pediatric Liver
        
            Helios Klinikum, Krefeld, Germany        
     
            
            
                
Patient information
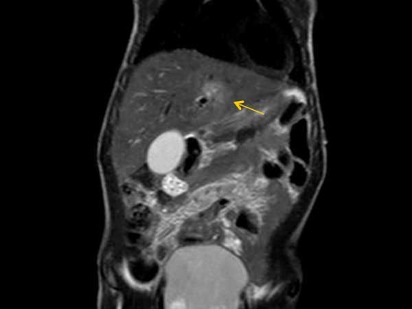
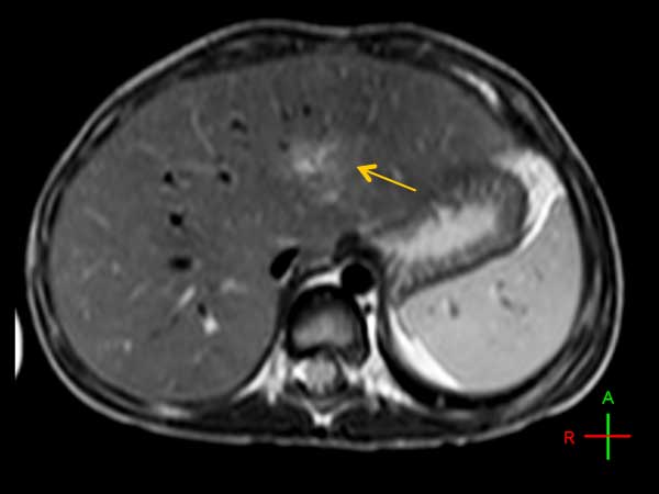
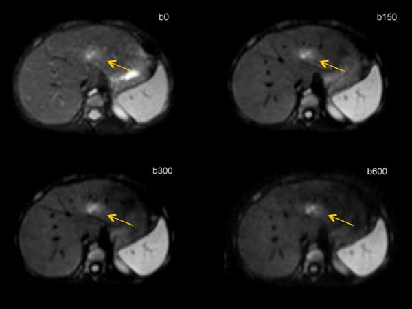
                3 year old boy. Small liver lesion detected. Child was sedated but not under anesthetics.            
        
    
    
    
        Gallery
        
    
        - 
      
         Coronal T2w TSE (with Resp. Navigator)
- 
      
         Axial T2w TSE (with Resp. Navigator)
- 
      
         Axial Diffusion (with Resp. Triggering)
- 
      
         Axial mDIXON (Free Breath)
Previous
    Next         
    
    Close
    
    
        
        Resolution
ScantimeObjective
    
     
             
    
        
            *Results from case studies are not predictive of results in other cases. Results in other cases may vary.