Patient information
                Unilateral hip imaging case, leveraging Philips SmartSpeed, our breakthrough new MRI application that delivers image and speed without compromise. Building on our proven technology and leveraging AI* to take fast MRI technology to the next level. Imaging speed is increased while providing greater resolution to deliver outstanding image quality.            
        
    
    
    
        Gallery
        
    
        - 
      
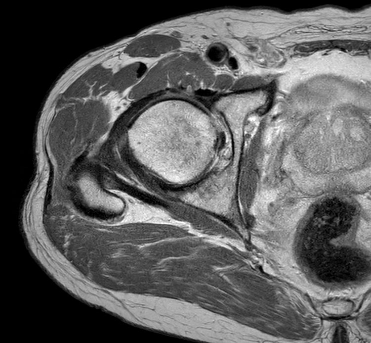
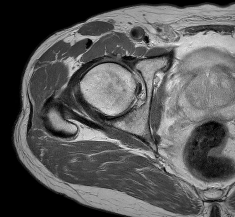
         Axial PDw TSE
- 
      
         Axial PDw TSESmartSpeed
- 
      
         Axial PDw TSESmartSpeed High Resolution
- 
      
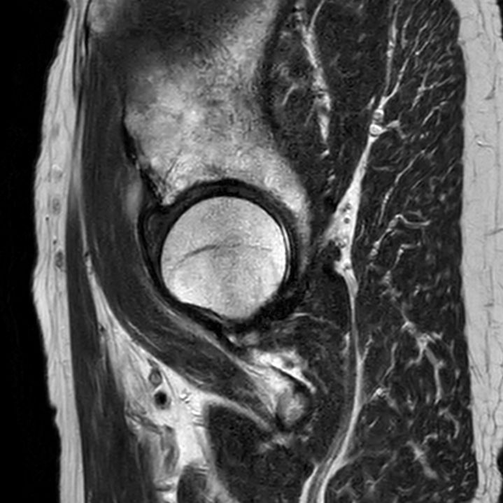
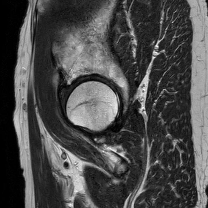
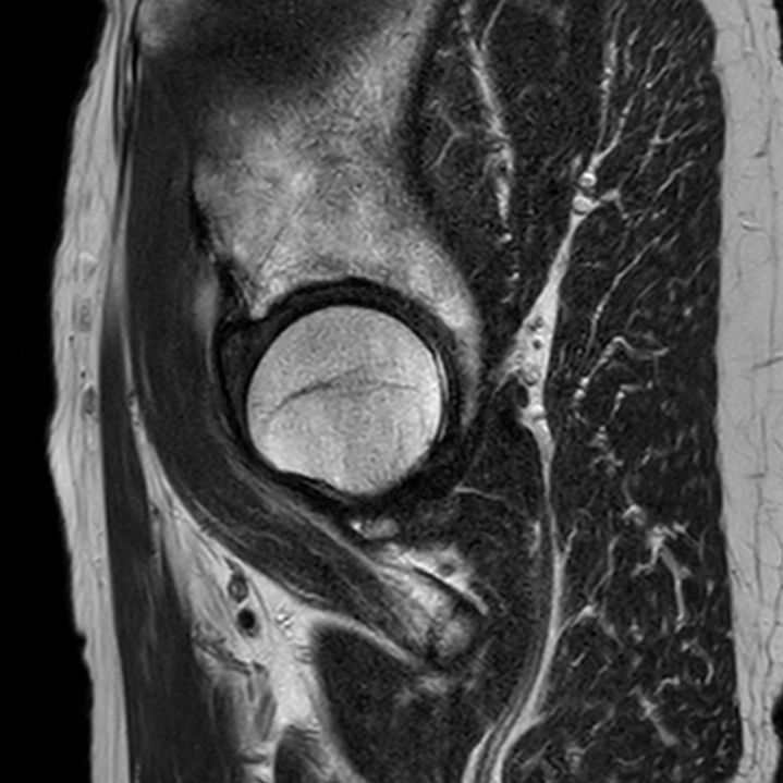
         Sagittal T2w TSE 
- 
      
         Sagittal T2w TSESmartSpeed
- 
      
         Sagittal T2w TSESmartSpeed Resolution
- 
      
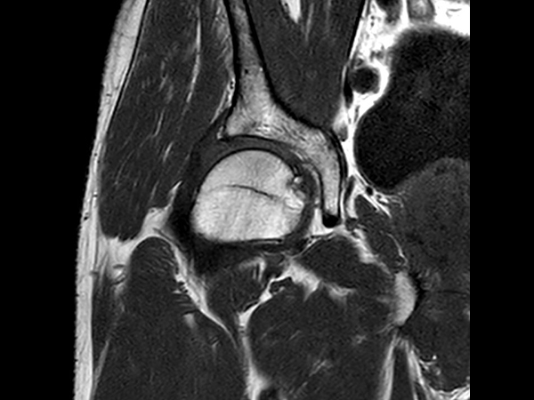
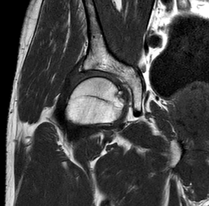
         Coronal T1w TSE
- 
      
         Coronal T1w TSESmartSpeed
- 
      
         Coronal T1w TSESmartSpeed Resolution
- 
      
         Coronal PDw TSE FatSat
- 
      
         Coronal PDw TSE FatSatSmartSpeed
- 
      
         Coronal PDw TSE FatSatSmartSpeed Resolution
Previous
    Next         
    
    Close
    
    
        
        Resolution
ScantimeObjective
    
     
             
    
        
            *According to the definition of AI from the EU High-Level Expert Group. Results from case studies are not predictive of results in other cases. Results in other cases may vary.