Go back
Helium-free MR operations:
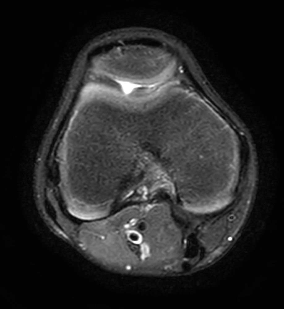
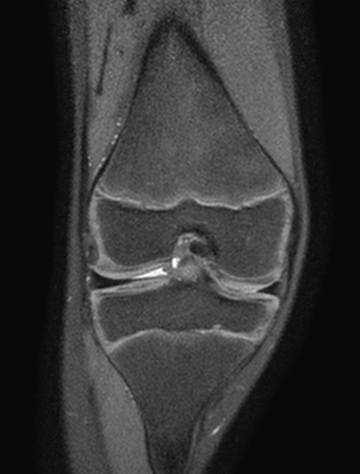
Pediatric knee (8 year old) on BlueSeal magnet
Spital Uster, Switzerland
Gallery
-
Coronal T1w TSE
-
Coronal PDw TSE
-
Sagittal PDw SPAIR
-
Sagittal 3D VIEW PDw SPAIR
-
3D VIEW PDw SPAIR - Coronal reformat
-
3D VIEW PDw SPAIR - Axial reformat
-
Axial T2w SPAIR
Previous
Next
Close
Resolution
ScantimeObjective
*Results from case studies are not predictive of results in other cases. Results in other cases may vary.