Go back
Brain lesion with MultiBand SENSE
Centre Hospitalier de Université, Lyon-Sud, France
Patient information
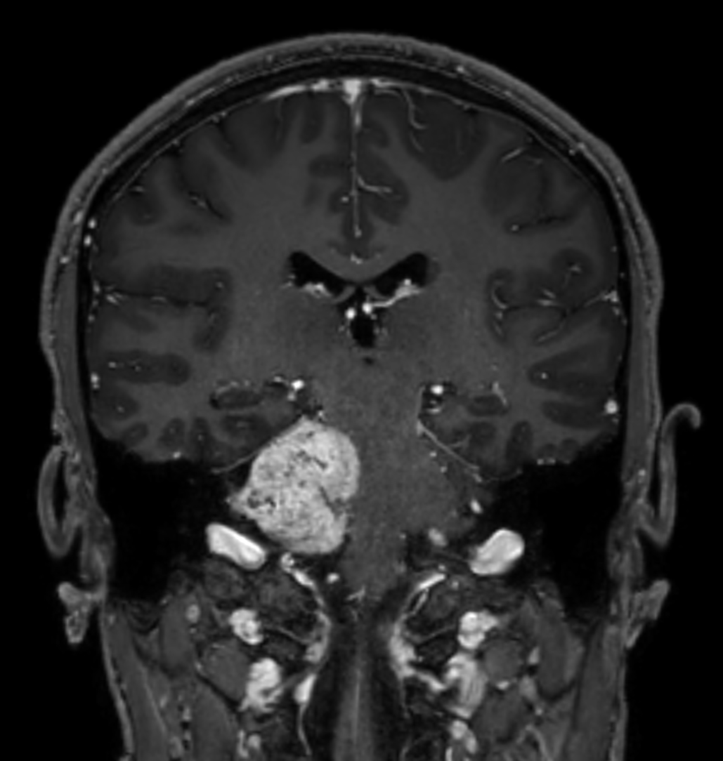
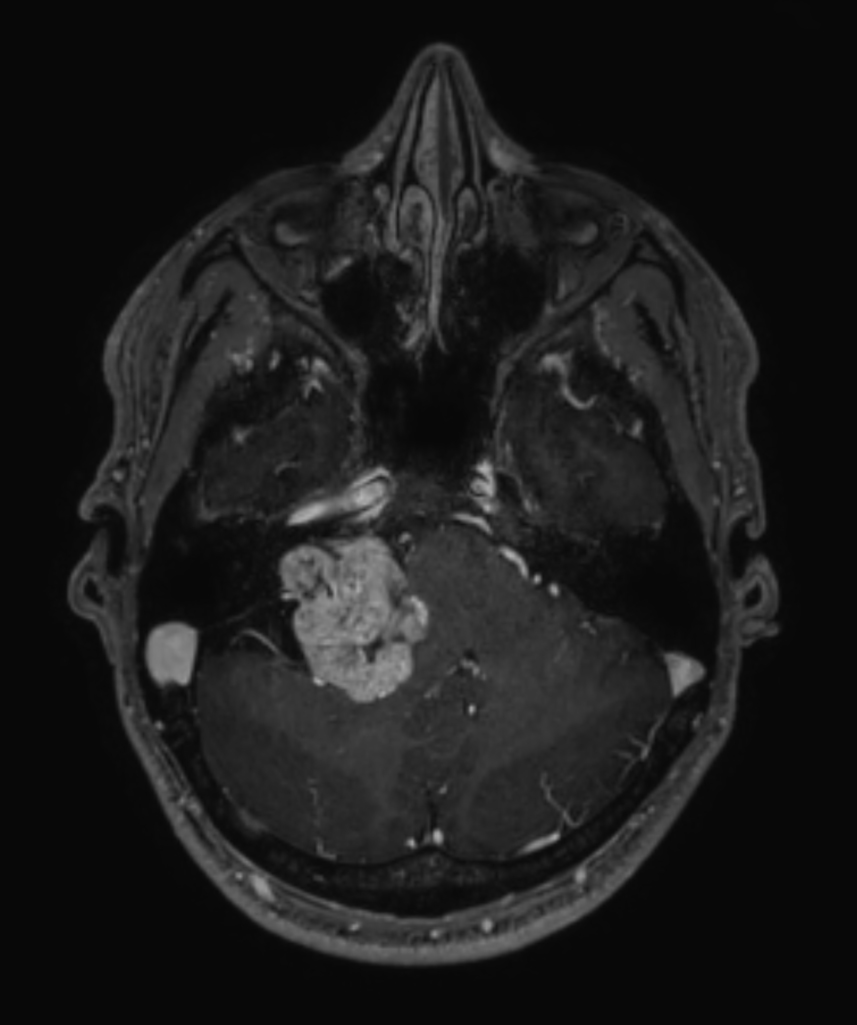
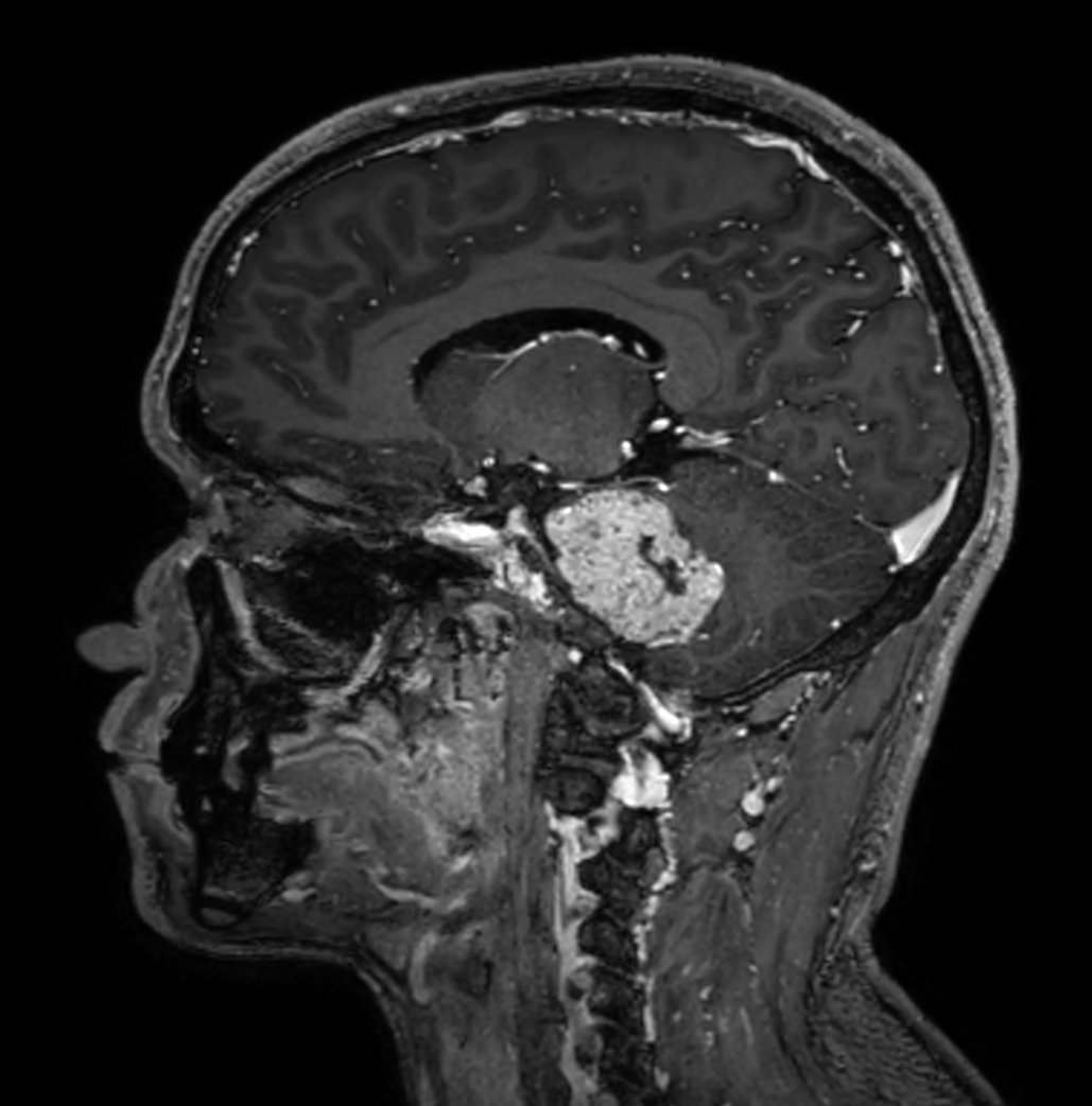
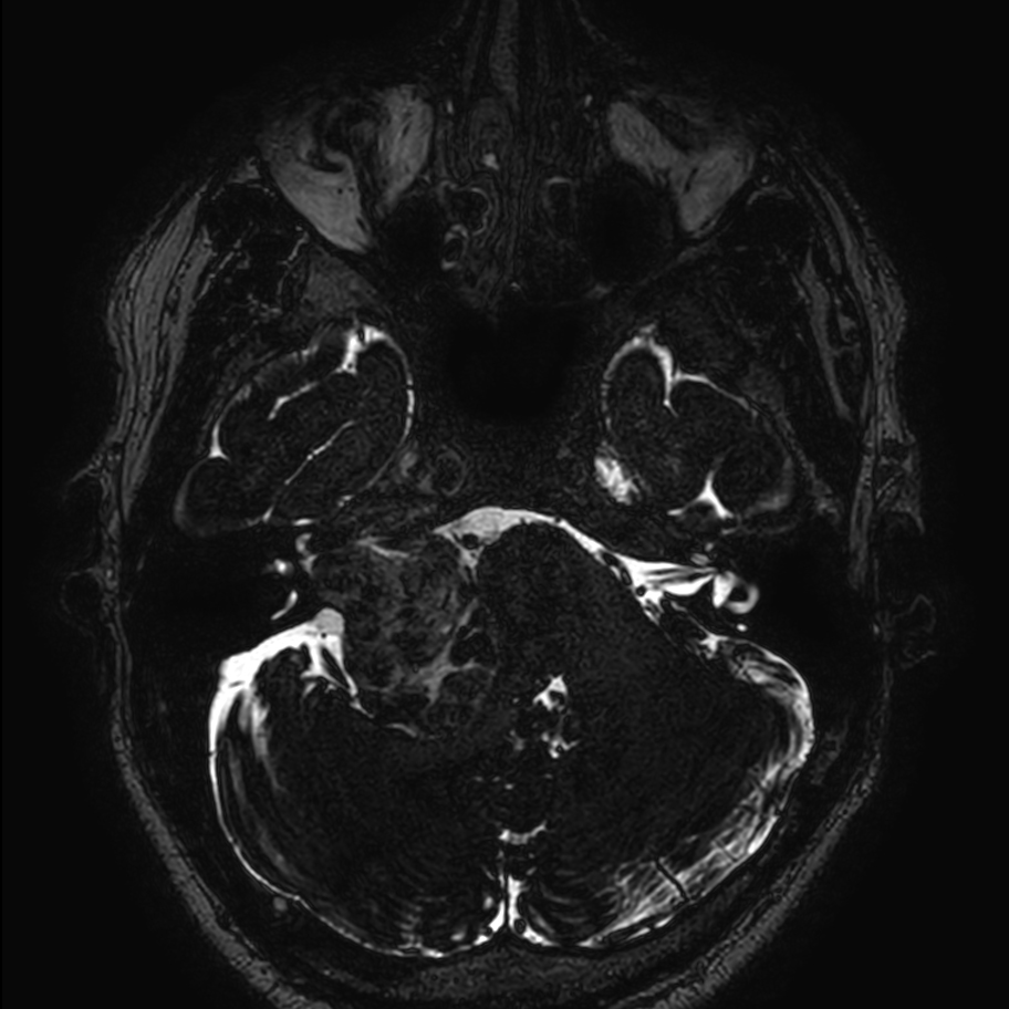
Patient with a brain (IAC) lesion. Compressed SENSE is used to shorten the scan time of the high resolution clinical scans, whilst MultiBand SENSE is used to reduce the scan time of the functional (DTI) scan.
Gallery
-
Axial 3D T2w TSE DRIVE
-
MRA COW (MIP, tumble)
-
MRA COW (MIP, spin)
-
Sagittal 3D T1w TFE BrainVIEW with gado
-
Coronal 3D T1w TFE BrainVIEW with gado (reformat)
-
Axial 3D T1w TFE BrainVIEW with gado (reformat)
-
Axial DTI (b1000, 64 directions)
Previous
Next
Close
Resolution
ScantimeObjective
*Results from case studies are not predictive of results in other cases. Results in other cases may vary.