Go back
        MRI simulation for brain stereotactics treatment
        
            University Medical Center, Utrecht,  The Netherlands        
     
            
            
                
Patient information
                Young female referred for stereotactic treatment underwent MRI simulation.  Flex L Coils in combination with integrated FlexCoverage Posterior coil were used to image the patient in the stereotactic mask in Ingenia MR-RT 1.5T.            
        
    
    
    
        Gallery
        
    
        - 
      
         Axial 3D T1w TFE pre contrast
- 
      
         Axial 3D T2w TSE FLAIR
- 
      
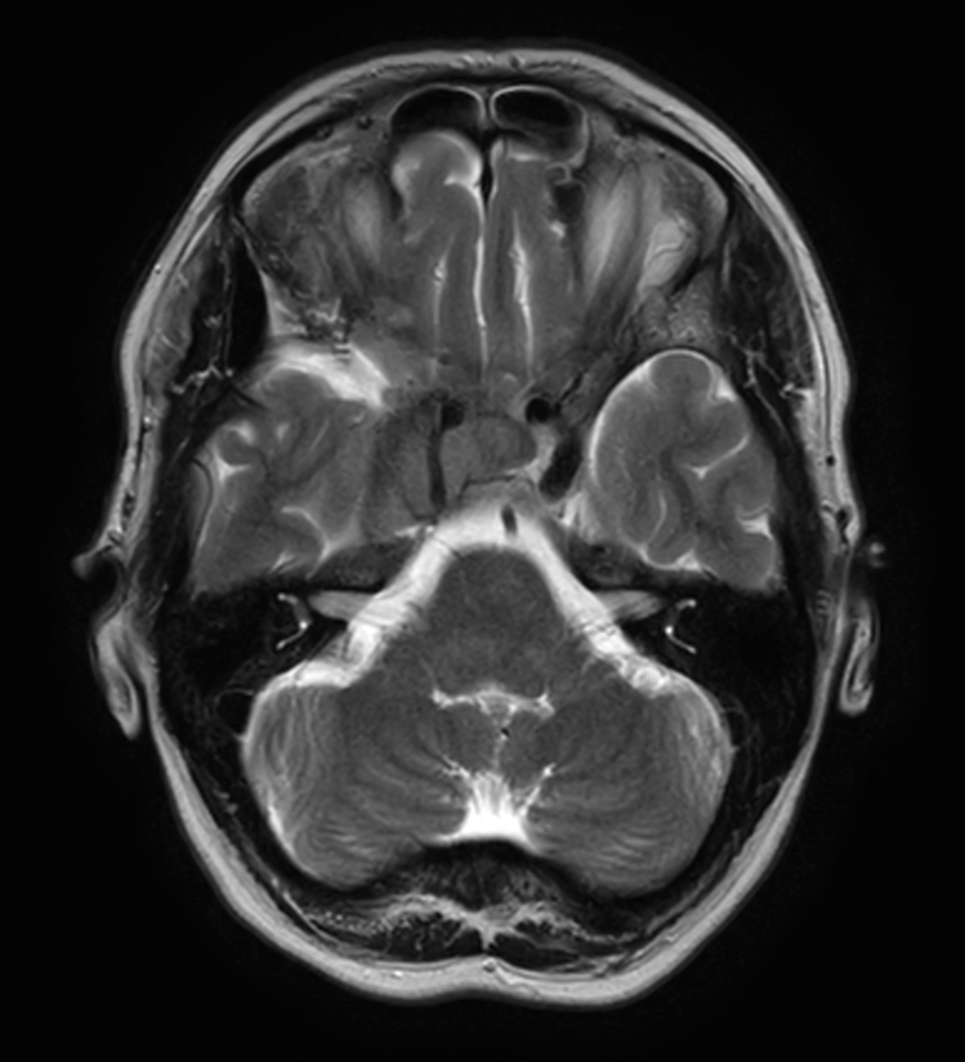
         Axial T2w TSE post contrast
- 
      
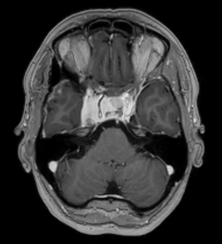
         Axial 3D T1w TFE post contrast
Previous
    Next         
    
    Close
    
    
        
        Resolution
ScantimeObjective
    
     
             
    
        
            *Results from case studies are not predictive of results in other cases. Results in other cases may vary.