Go back
        dS SENSE in Liver imaging
        
            Radiologie am St Jozef Stift, Bremen, Germany        
     
    
    
    
        Gallery
        
    
        - 
      
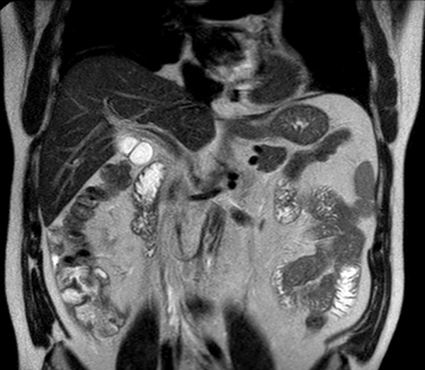
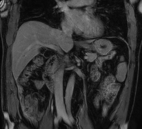
         Coronal T2w TSE dS SENSE 4
- 
      
         Axial T2w TSE dS SENSE 3
- 
      
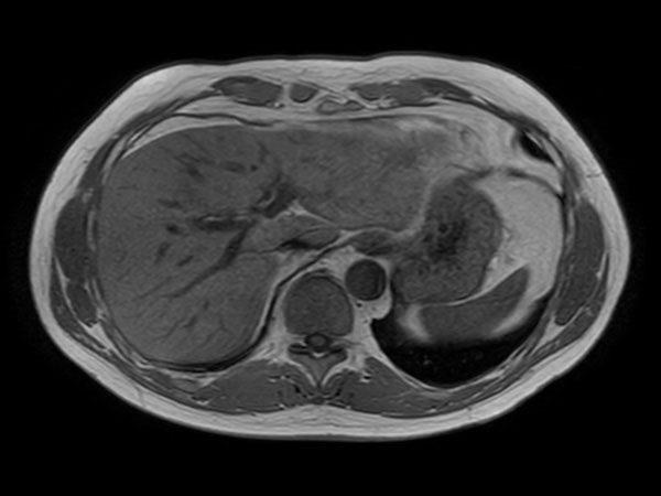
         Axial T1w FFE dS SENSE 3
- 
      
         Axial T2w SPAIR dS SENSE 3.5
- 
      
         Axial T2w MultiVane XD dS SENSE 2
- 
    .jpg)  
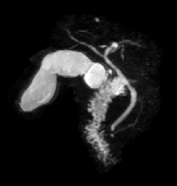
         3D MRCP (MIP) dS SENSE 2
- 
      
         Radial MRCP
- 
      
         Axial DWI (b0, b150, b400, b800) dS SENSE 3.5
- 
      
         Axial mDIXON (W, IP, OP, F) dS SENSE 6
- 
      
         Axial dynamic mDIXON (water only) dS SENSE 4.5
- 
      
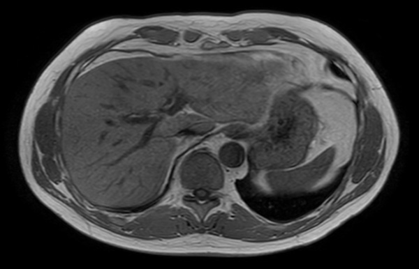
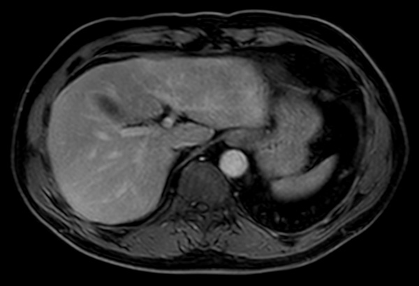
         Axial mDIXON (water only) dS SENSE 6
- 
      
         Coronal mDIXON (water only) dS SENSE 4
Previous
    Next         
    
    Close
    
    
        
        Resolution
ScantimeObjective
    
     
             
    
        
            *Results from case studies are not predictive of results in other cases. Results in other cases may vary.