Go back
        Comprehensive Liver exam of focal liver lesions
        
            University Hospital Bonn, Germany        
     
            
            
                
Patient information
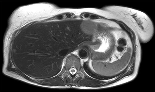
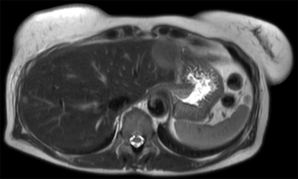
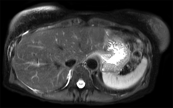
                Patient with multiple liver lesions showing up hyperintense on T2-weighted images. The high spatial resolution of MultiVane XD can be appreciated by comparing the images demonstrating the two hyperintense focal liver lesions. mDIXON Quant was performed for quantification of intralesional and hepatic parenchymal fat content. The fat content in the liver parenchyma was normal. The lesion has a fat fraction of 25-30%. Histopathologic diagnosis was hepatocellular adenoma.             
        
    
    
    
        Gallery
                
    
    Close
    
    
        
        Resolution
ScantimeObjective
    
     
             
    
        
            *Results from case studies are not predictive of results in other cases. Results in other cases may vary.