Go back
        Diffusion TSE
        
            St. Jan Hospital, Brugge, Belgium        
     
    
    
    
        Gallery
        
    
        - 
      
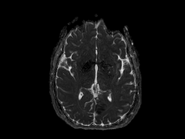
         Axial T2 FFE
- 
      
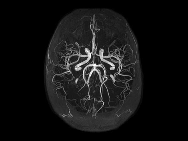
         Inflow Angiography
- 
      
         Inflow Angiography
                    
             
- 
      
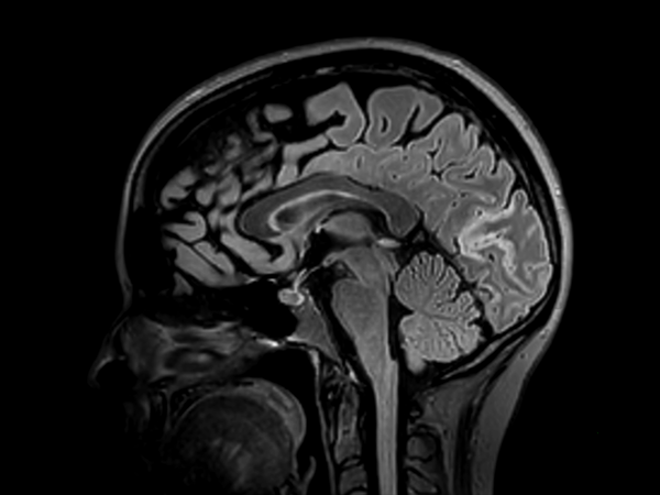
         Sagittal 3D T1w TFE
- 
      
         3D T1w TFE (axial reformat)
- 
      
         Sagittal 3D FLAIR
- 
      
         3D FLAIR (axial reformat)
- 
      
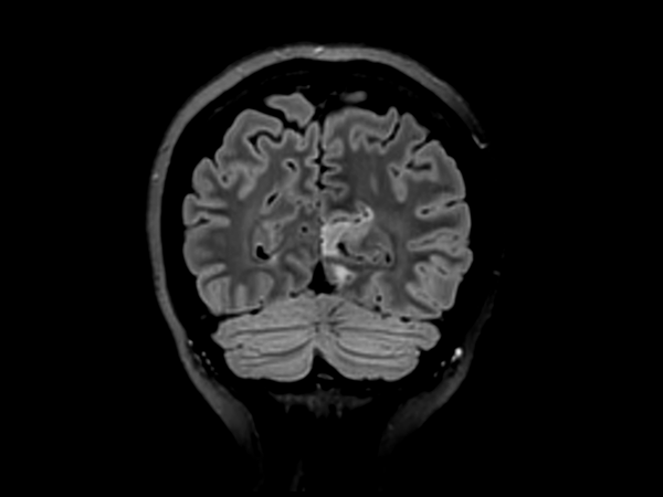
         3D FLAIR (coronal reformat)
- 
      
         Diffusion SSh
- 
      
         Diffusion SSh - ADC
- 
      
         Diffusion TSE
- 
      
         Diffusion TSE - ADC
Previous
    Next         
    
    Close
    
    
        
        Resolution
ScantimeObjective
    
     
             
    
        
            *Results from case studies are not predictive of results in other cases. Results in other cases may vary.