Go back
        Dynamic contrast-enhanced MR Angiography
        
            Spaarne Hospital, Hoofddorp, The Netherlands        
     
            
            
                
Patient information
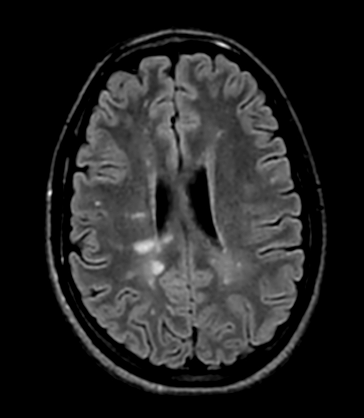
                Patient with multiple brain lesions. ExamCard includes Compressed SENSE to shorten the exam time, 3D scans to acquire high resolution data in multiple directions in only one single scan and 4D-TRAK for dynamic contrast-enhanced MR Angiography enabling high spatial and temporal resolution simultaneously.            
        
    
    
    
        Gallery
        
    
        - 
      
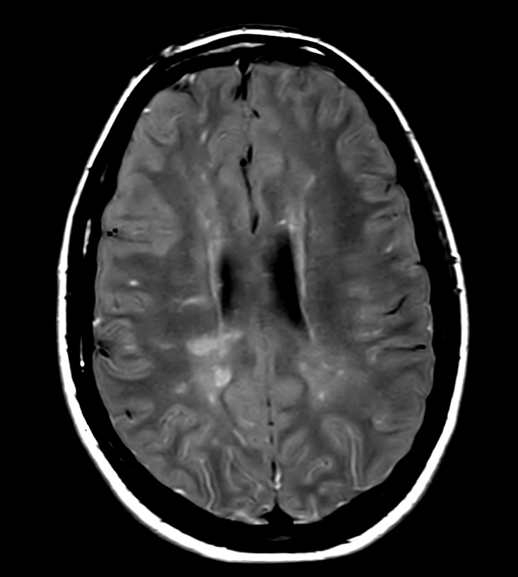
         T2w TSE Compressed SENSE
- 
      
         PDw TSE Compressed SENSE
- 
      
         3D Double IR Compressed SENSE
- 
      
         3D T2w FLAIR Compressed SENSE
- 
      
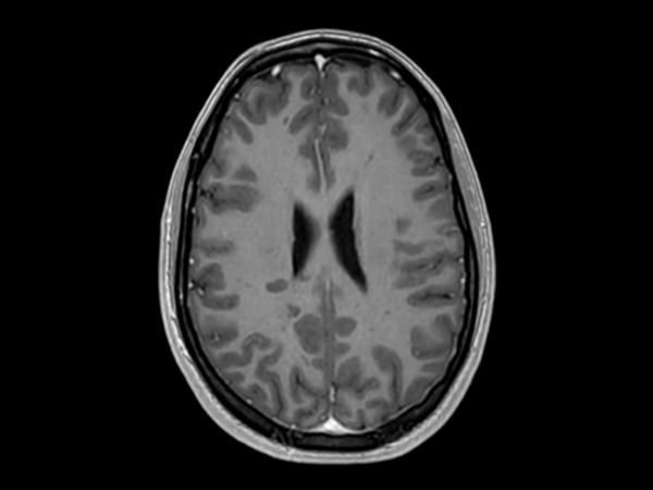
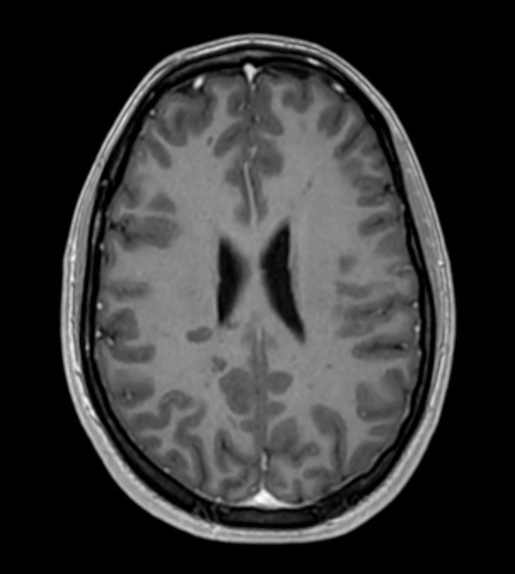
         3D T1w FFE with gado Compressed SENSE
- 
      
         3D Double IR (Reformat) Compressed SENSE
- 
      
         3D T2w FLAIR (Reformat) Compressed SENSE
- 
      
         3D T1w FFE with gado (Reformat) Compressed SENSE
- 
      
         3D Double IR (Reformat) Compressed SENSE
- 
      
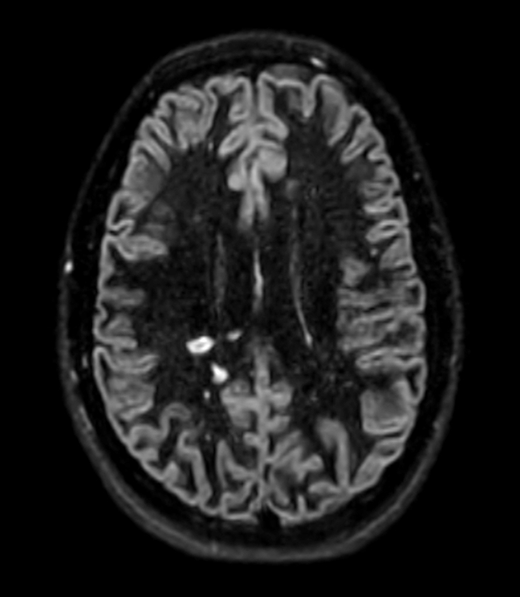
         DWI (b1000)
- 
      
         DWI (ADC)
- 
      
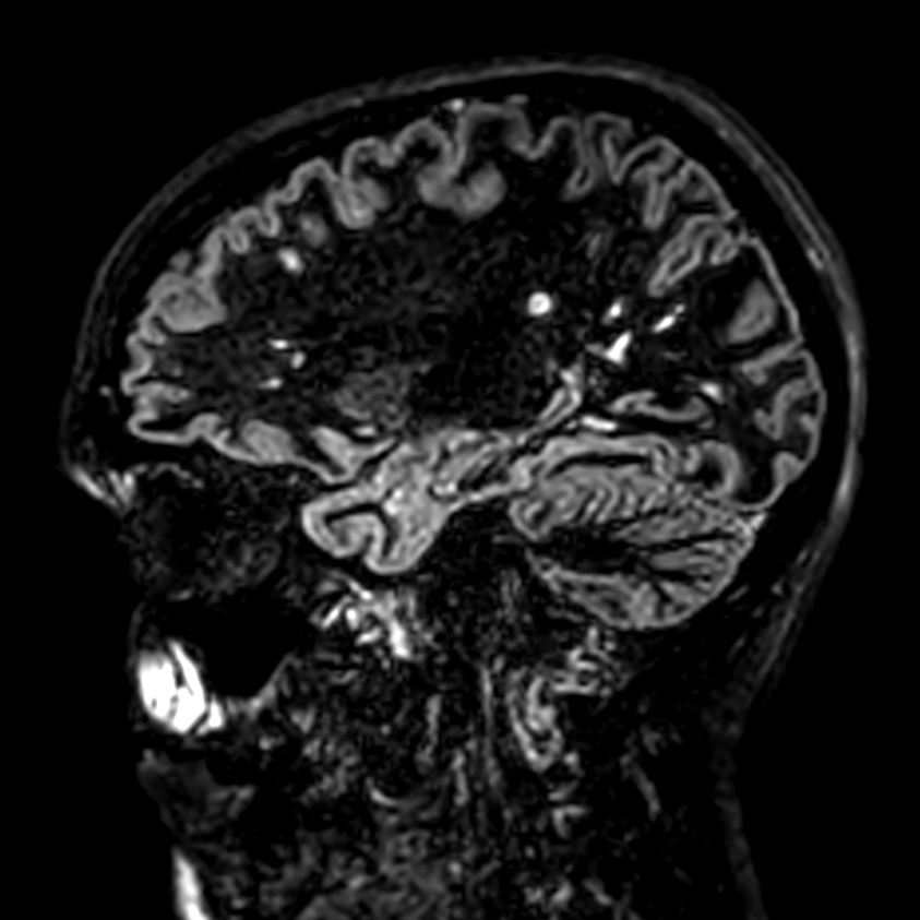
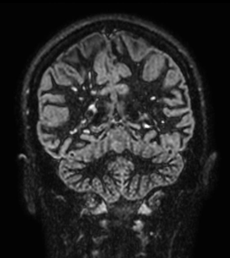
         Coronal 4D-TRAK XD
                    
             
- 
      
         Sagittal 4D-TRAK XD
                    
             
Previous
    Next         
    
    Close
    
    
        
        Resolution
ScantimeObjective
    
     
             
    
        
            *Results from case studies are not predictive of results in other cases. Results in other cases may vary.