Go back
        Prostate with Vega HP gradients
        
            Barnabas Health ACC, Livingston, NJ, USA        
     
            
            
                
Patient information
                Compressed SENSE is used in 2D and 3D sequences to reduce the overall examination time without losing image quality, compared to Philips scans without Compressed SENSE.
Comparisons of DWI sequences are included with maximum gradient strength versus enhanced gradient strength (45 mT/m, 220 T/m/s). Higher gradient specifications means more signal-to-noise in higher b values.            
        
    
    
    
        Gallery
        
    
        - 
      
         Axial T2w TSE
- 
      
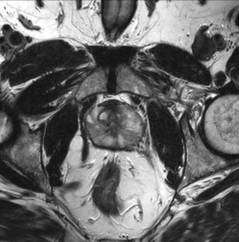
         Axial 3D T2w TSE (PelvisVIEW)
                    
             
- 
      
         Axial T1w TSE
- 
      
         Coronal T2w TSE
- 
      
         Sagittal T2w TSE
- 
      
         Sagittal T2w TSE MultiVane XD
- 
      
         Axial DWI b100Gradient strength: Maximum
- 
      
         Axial DWI b1500Gradient strength: Maximum
- 
      
         Axial DWI b2000Gradient strength: Maximum
- 
      
         Axial DWI b100Gradient strength: Enhanced
- 
      
         Axial DWI b1000Gradient strength: Enhanced
- 
      
         Axial DWI b2000Gradient strength: Enhanced
- 
      
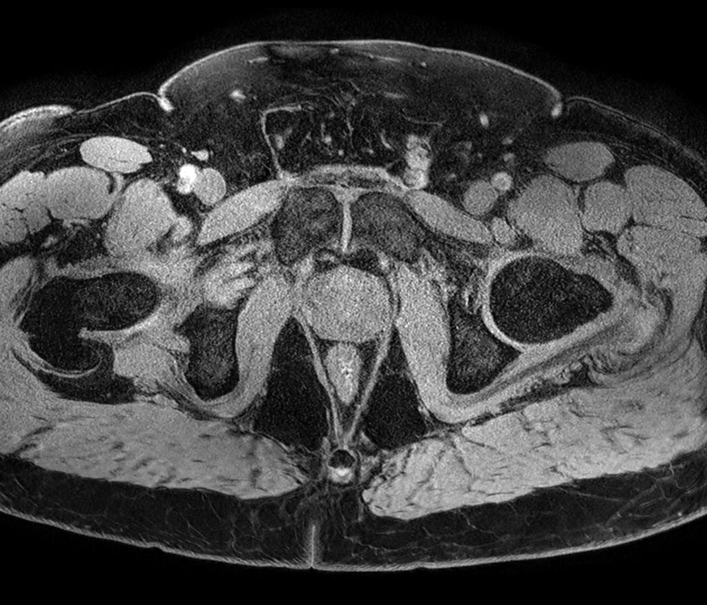
         Axial dynamic T1w FFE
                    
             
- 
      
         Axial eTHRIVE (high res)
Previous
    Next         
    
    Close
    
    
        
        Resolution
ScantimeObjective
    
     
             
    
        
            *Results from case studies are not predictive of results in other cases. Results in other cases may vary.
 1Compared to scans without Compressed SENSE
Results from case studies are not predictive of results in other cases. Results in other cases may vary.