Go back
Helium-free MR operations:
Cervical Spine on BlueSeal magnet
Spital Uster, Switzerland
Gallery
-
Sagittal T1w TSE
-
Sagittal T1w TSE mDIXON XD (In Phase)
-
Sagittal T1w TSE mDIXON XD (Water only)
-
Sagittal T2w TSE
-
Sagittal T2w TSE mDIXON XD (In Phase)
-
Sagittal T2w TSE mDIXON XD (Water only)
-
Sagittal STIR TSE
-
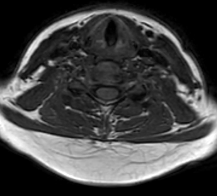
Axial T1w TSE (small FOV)
-
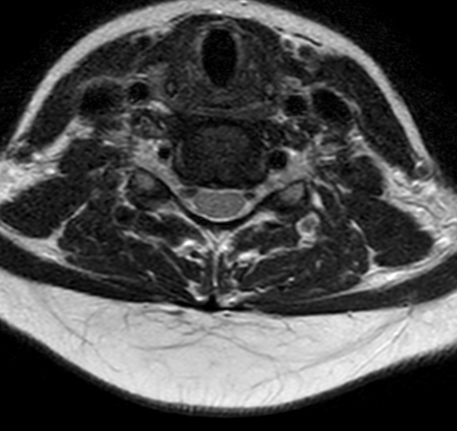
Axial T2w TSE (small FOV)
-
Axial mFFE (small FOV)
-
Axial 3D T1w TFE
Previous
Next
Close
Resolution
ScantimeObjective
*Results from case studies are not predictive of results in other cases. Results in other cases may vary.