Go back
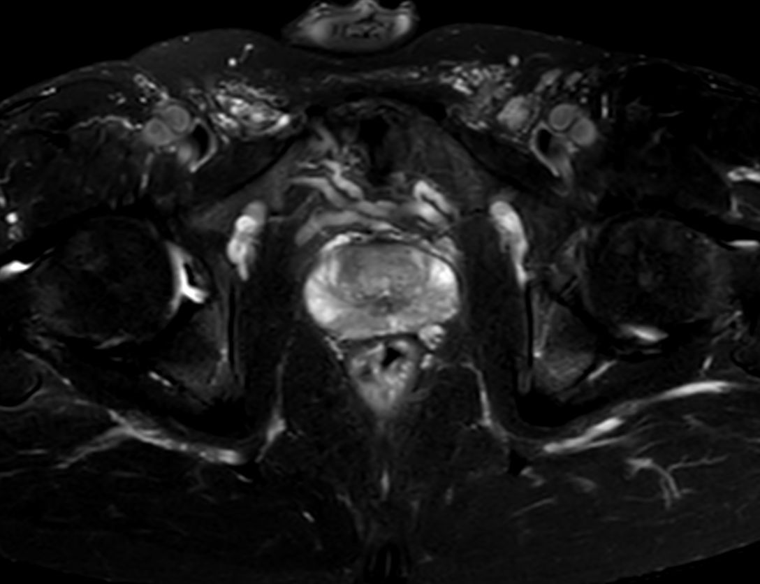
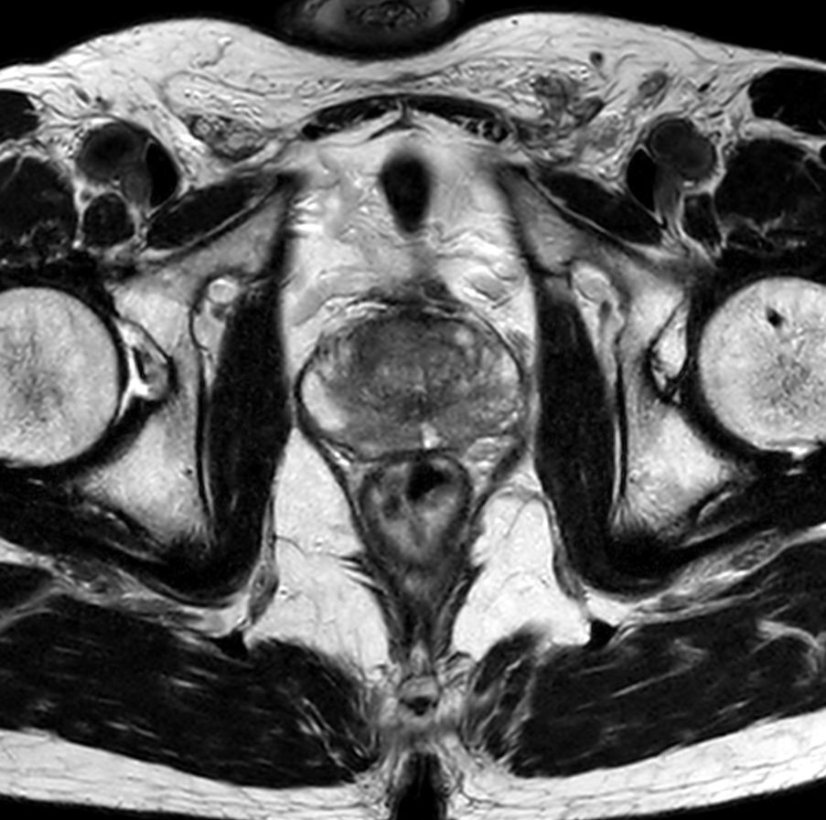
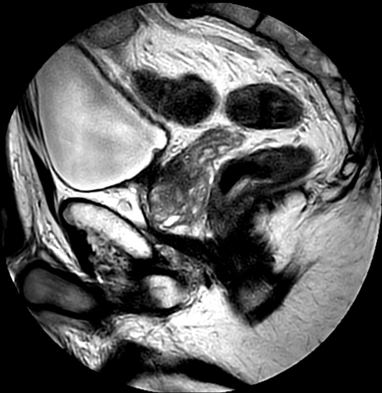
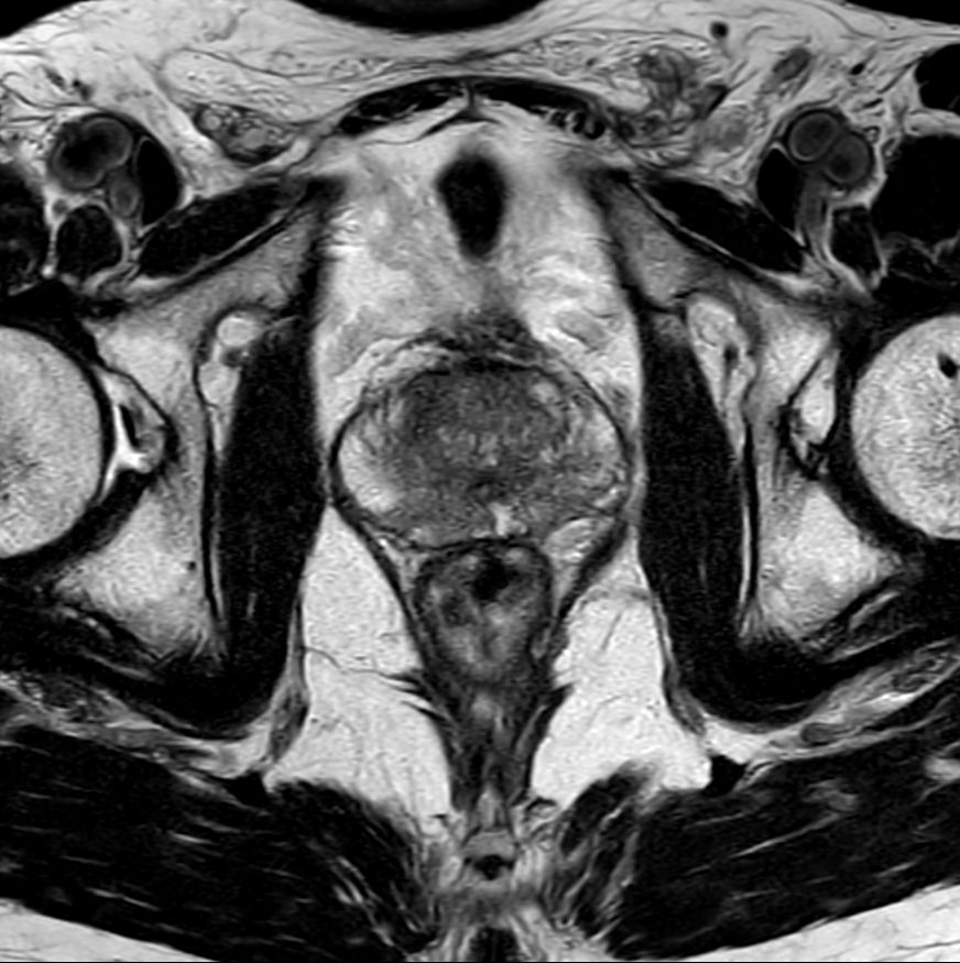
        Prostate with dual coil set-up
        
                    
     
            
            
                
Patient information
                Deliver a comfortable patient experience with light Breeze coils and connectors.
Although the coils are more than 75% lighter than conventional Philips MR coils, they are rigid enough to hold their shape during patient breathing or movement.
For prostate exams, the MSK M coil can be used in combination with the posterior coil, delivering exceptional quality MR images and high patient satisfaction.
Premium signal-to-noise ratio is achieved via dStream, providing outstanding image resolution.
Powered with SmartSelect technology, allowing automatic detection of the right coil combinations and selecting the right coil elements to provide highest SNR for the region of interest.
Our solution supports feet first exams, enhancing patient comfort.            
        
    
    
    
        Gallery
                
    
    Close
    
    
        
        Resolution
ScantimeObjective
    
     
             
    
        
            *Results from case studies are not predictive of results in other cases. Results in other cases may vary.