Go back
        Female Pelvis overview
        
            Seirei Mikatahara General Hospital, Japan        
     
    
    
    
        Gallery
        
    
        - 
      
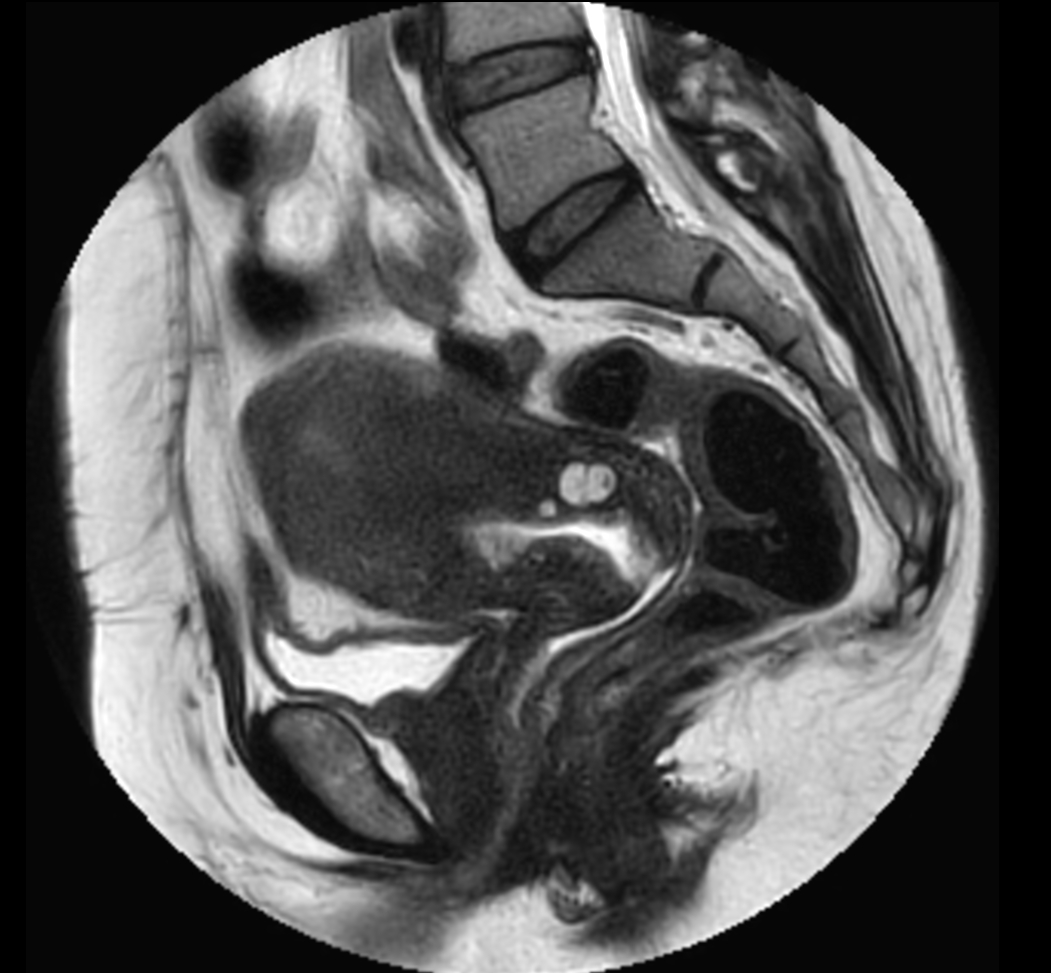
         Sagittal MultiVane XD - T2w TSE
- 
      
         Sagittal DWI (b800)
- 
      
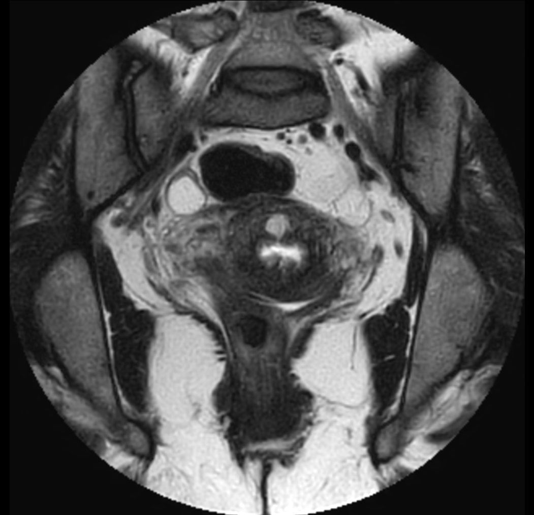
         Coronal MultiVane XD - T2w TSE
- 
      
         Axial MultiVane XD - T2w TSE
- 
      
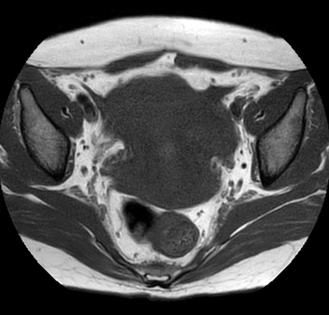
         Axial MultiVane XD - T1w TSE
- 
      
         Axial DWI (b800)
- 
      
         Axial mDIXON XD - T1w FFE (Water only)
- 
      
         Axial mDIXON XD - T1w FFE (In Phase)
- 
      
         Axial mDIXON XD - T1w FFE (Out Phase)
- 
      
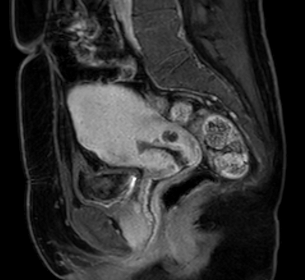
         Sagittal mDIXON XD - T1w FFE plus gado (Water only)
- 
      
         Coronal mDIXON XD - T1w FFE plus gado (Water only)
- 
      
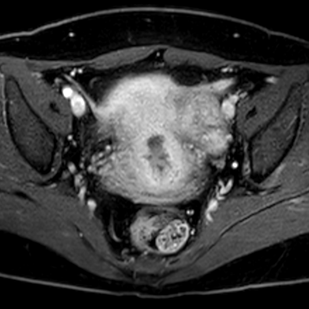
         Axial mDIXON XD - T1w FFE plus gado (Water only)
Previous
    Next         
    
    Close
    
    
        
        Resolution
ScantimeObjective
    
     
             
    
        
            *Results from case studies are not predictive of results in other cases. Results in other cases may vary.
Ingenia Prodiva is not available for sale in the USA.