Go back
        Wrist Fracture (2D vs 3D)
        
            Radiologie am St Josef Stift, Bremen, Germany        
     
            
            
                
Patient information
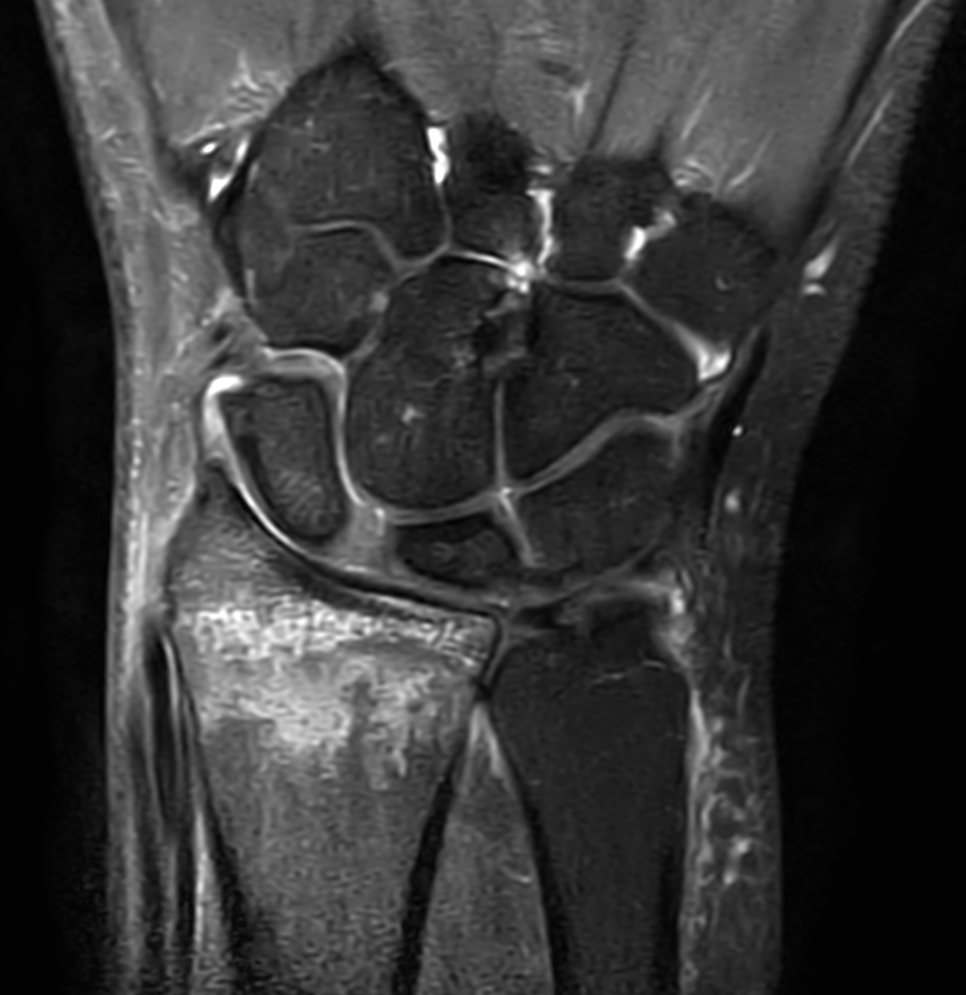
                Patient with a wrist fracture. Compressed SENSE is used in all sequences, reducing the scan time while maintain equal image quality compared to scans without Compressed SENSE. 3D sequences have been added to this ExamCard with a comparable in-plane resolution but much thinner slices. Due to the shorter scan times that can be achieved thanks to Compressed SENSE, these 3D sequences could potentially replace the 2D sequences providing more confidence in making the diagnosis.            
        
    
    
    
        Gallery
        
    
        - 
      
         2D Coronal PDw SPAIR
- 
      
         3D Coronal PDw SPAIR
                    
             
- 
      
         2D Coronal T1w TSE
- 
      
         2D Coronal T1w SPIR
- 
      
         2D Axial PDw SPAIR
- 
      
         3D Axial PDw SPAIR
- 
      
         2D Sagittal PDw SPAIR
- 
      
         3D Sagittal PDw SPAIR
- 
      
         2D Axial T1w SPIR +gado
Previous
    Next         
    
    Close
    
    
        
        Resolution
ScantimeObjective
    
     
             
    
        
            *Results from case studies are not predictive of results in other cases. Results in other cases may vary.
 1Compared to scans without Compressed SENSE
Results from case studies are not predictive of results in other cases. Results in other cases may vary.