Go back
        Compressed SENSE Prostate imaging
        
            Technical University Munich, Germany        
     
    
    
    
        Gallery
        
    
        - 
      
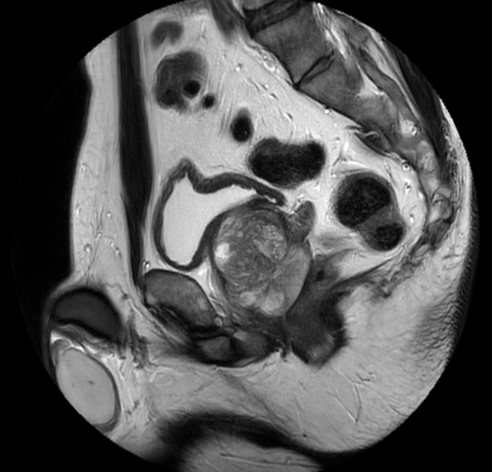
         Sagittal T2w TSE - MultiVane XD
- 
      
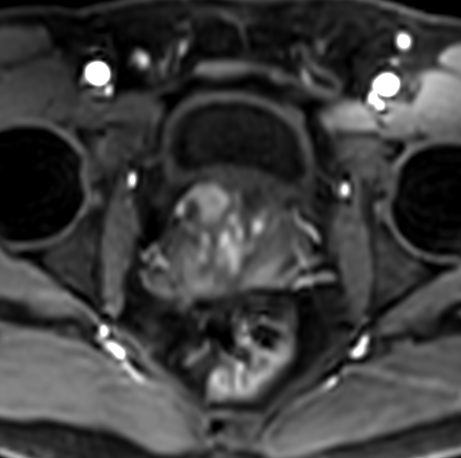
         Axial T2w TSE
- 
      
         Axial T2w TSE with Compressed SENSE
- 
      
         Coronal T2w TSE with Compressed SENSE
- 
      
         Axial T1w TSE with Compressed SENSE
- 
      
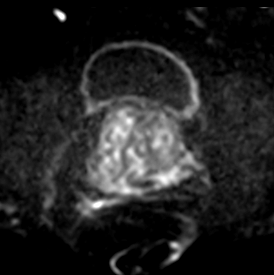
         Axial DWI (b1000)
- 
      
         Axial DWI (b1400)
- 
      
         Axial DWI (ADC)
- 
      
         Axial DWI (eADC)
- 
      
         Axial dynamic T1w mDIXON XD - Permeability 34 sec
- 
      
         Axial dynamic T1w mDIXON XD - Permeability 53 sec
- 
      
         Axial dynamic T1w mDIXON XD - Permeability
                    
             
- 
      
         Axial dynamic T1w mDIXON XD with Compressed SENSE
Previous
    Next         
    
    Close
    
    
        
        Resolution
ScantimeObjective
    
     
             
    
        
            *Results from case studies are not predictive of results in other cases. Results in other cases may vary.
 1Compared to scans without Compressed SENSE
Results from case studies are not predictive of results in other cases. Results in other cases may vary.