Go back
        Brain imaging with MultiVane XD
        
            Hakodate Neurosurgical Hospital, Japan        
     
    
    
    
        Gallery
        
    
        - 
      
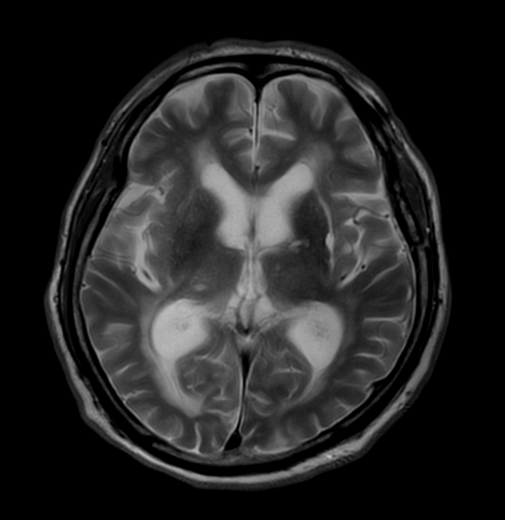
         T2w TSE - MultiVane XD
- 
      
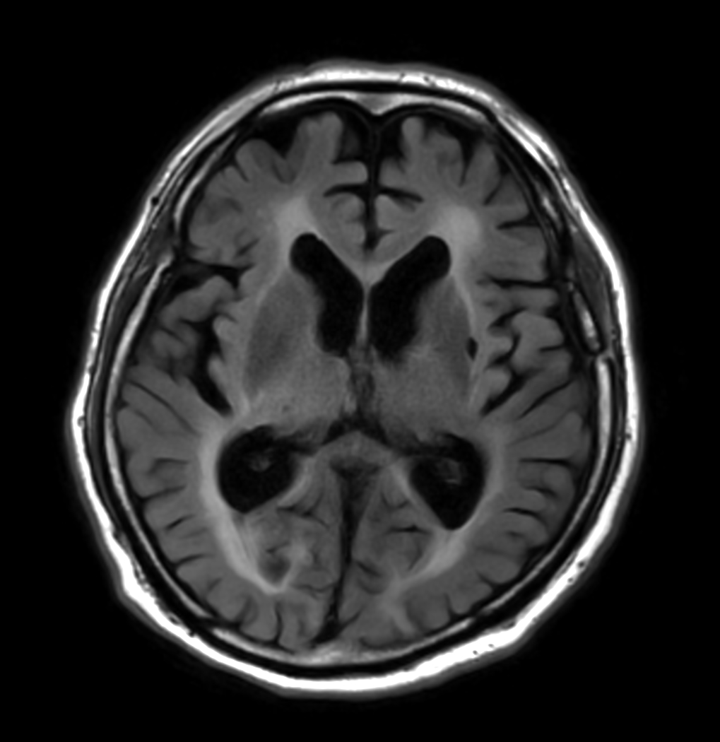
         T2w FLAIR - MultiVane XD
- 
      
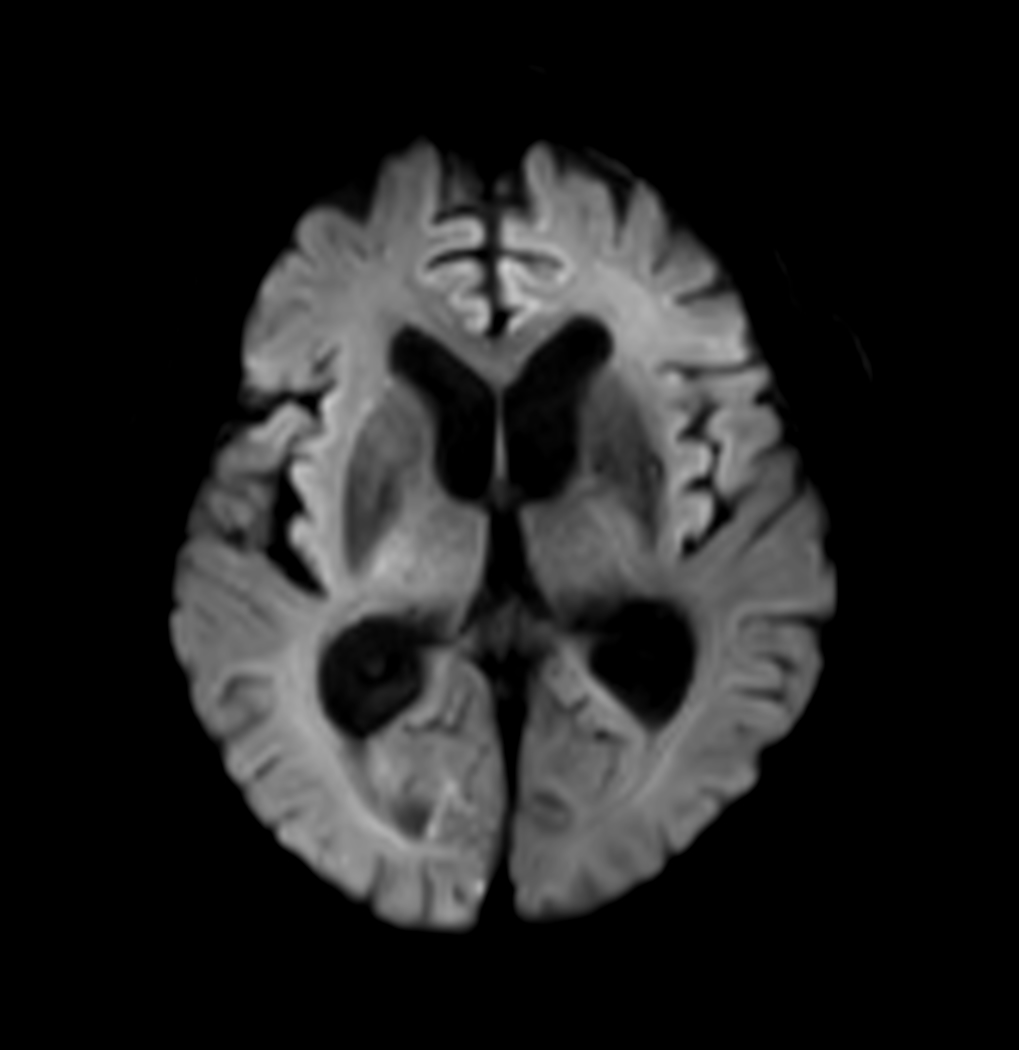
         DWI (b1000)
- 
      
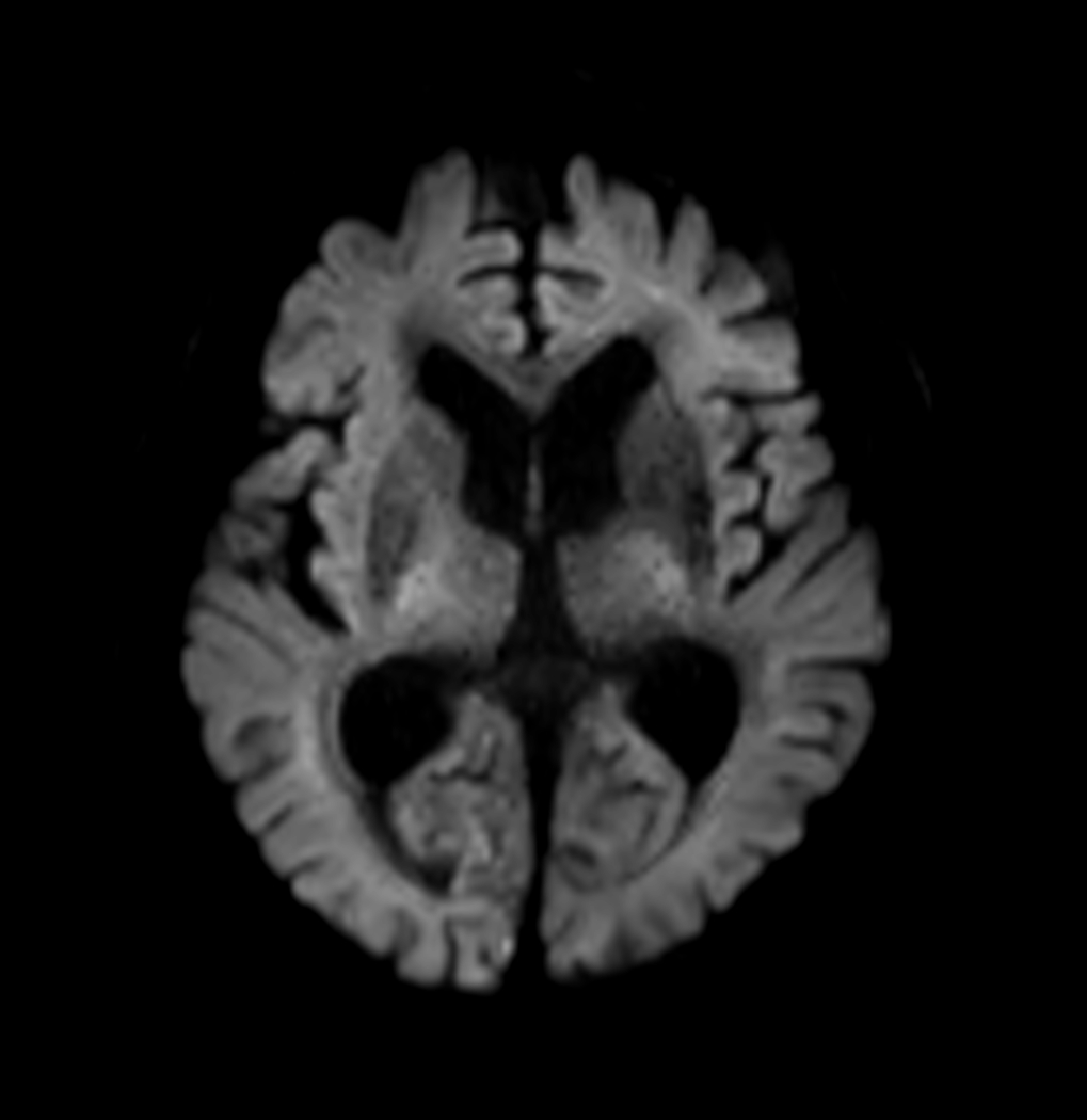
         DWI (b2000)
- 
      
         3D Inflow (MIP)
                    
             
- 
      
         4D-TRANCE
                    
             
Previous
    Next         
    
    Close
    
    
        
        Resolution
ScantimeObjective
    
     
             
    
        
            *Results from case studies are not predictive of results in other cases. Results in other cases may vary.