Go back

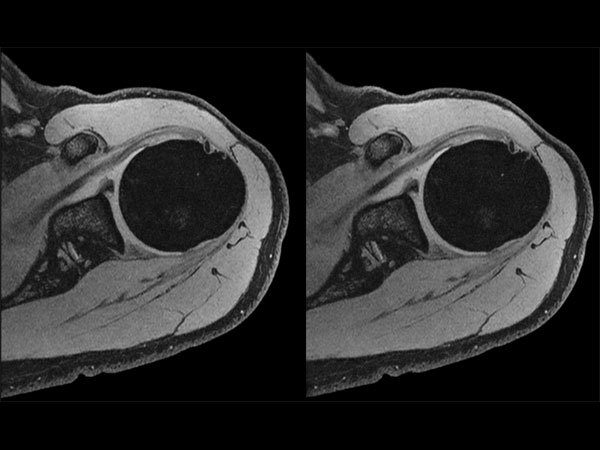
Shoulder imaging with dS Flex coil

Used Solution

  • System

  • Coil

*Results from case studies are not predictive of results in other cases. Results in other cases may vary.