Go back
        Breast biopsy with dS Sentinelle Breast coil
        
            Hospital del Vinalopó, Alicante, Spain        
     
            
            
                
Patient information
                Interventional Breast ExamCard with the dS Sentinelle Breast 16ch coil, designed to deliver high performance in coverage, image resolution and imaging speed for interventional breast studies by enabling access to all 4 quadrants of the breast. The coil benefits from wide-open access and adaptive imaging elements, which can be adjusted to the patient’s breast size.            
        
    
    
    
        Gallery
        
    
        - 
      
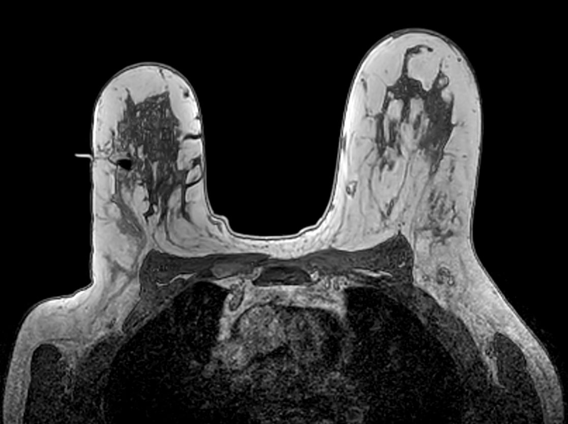
         Axial 3D T2w BreastVIEW
- 
      
         Axial dynamic 3D T1w FFE
- 
      
         Axial 3D T1w FFE - Subtraction
- 
      
         Axial 3D T1w FFE - Confirmation Fudicial marker positioning too high
- 
      
         Axial 3D T1w FFE - Confirmation Fiducial marker positioning correct
- 
      
         Axial 3D T1w FFE Needle positioning too deep
- 
      
         Axial 3D T1w FFE Needle positioning correct
- 
      
         Axial 3D T1w FFE Post-biopsy check, clip inserted
Previous
    Next         
    
    Close
    
    
        
        Resolution
ScantimeObjective
    
     
             
    
        
            *Results from case studies are not predictive of results in other cases. Results in other cases may vary.