Go back
        Cervical Spine with acoustic noise reduction
        
            Lahey Health, Danvers, Massachusetts, USA        
     
    
    
    
        Gallery
        
    
        - 
      
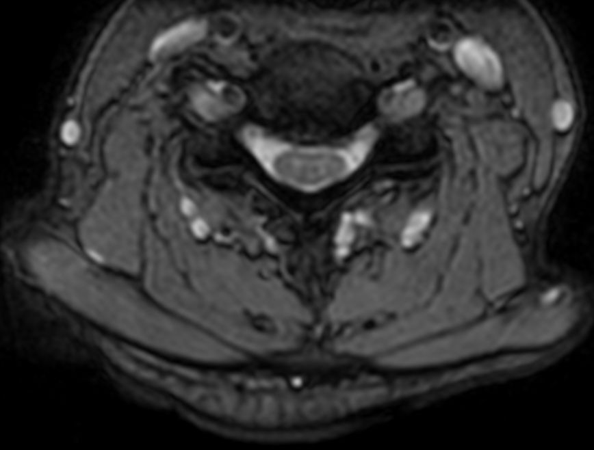
         T1w TSE with ComforTone
- 
      
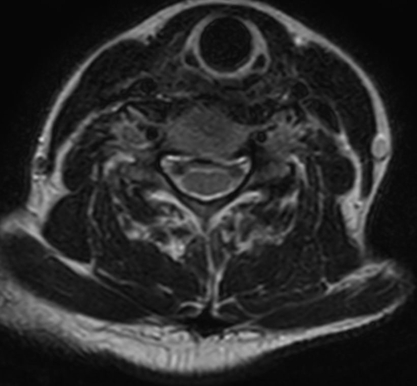
         T2w TSE with ComforTone
- 
      
         T2w TSE with ComforTone
- 
      
         mFFE
Previous
    Next         
    
    Close
    
    
        
        Resolution
ScantimeObjective
    
     
             
    
        
            *Results from case studies are not predictive of results in other cases. Results in other cases may vary.