Go back
        Pediatric Head/Neck tumor
        
            Woman's Children Hospital, Adelaide, Australia        
     
    
    
    
        Gallery
        
    
        - 
      
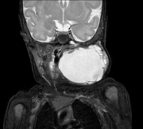
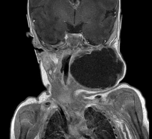
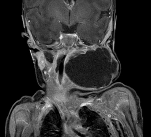
         Coronal mDIXON XD - T2w TSE (Water only)
- 
      
         Coronal mDIXON XD - T2w TSE (In Phase)
- 
      
         Coronal mDIXON XD - T1w TSE (Water only)
- 
      
         Coronal mDIXON XD - T1w TSE (In Phase)
- 
      
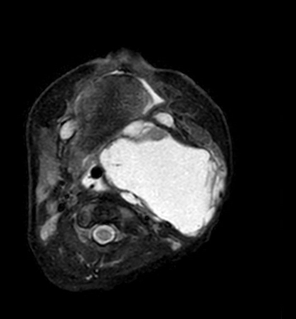
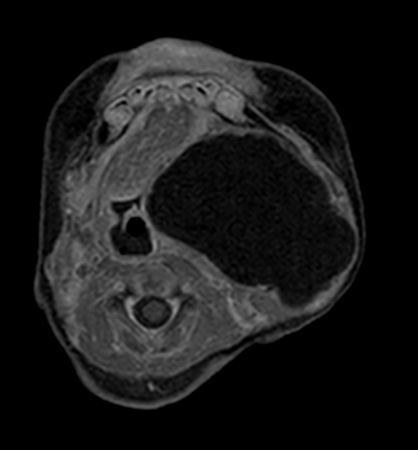
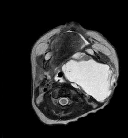
         Axial mDIXON XD - T2w TSE (Water only)
- 
      
         Axial mDIXON XD - T2w TSE (In Phase)
- 
      
         Axial mDIXON XD - T1w TSE (Water only)
- 
      
         Axial mDIXON XD - T1w TSE (In Phase)
Previous
    Next         
    
    Close
    
    
        
        Resolution
ScantimeObjective
    
     
             
    
        
            *Results from case studies are not predictive of results in other cases. Results in other cases may vary.